• İSTANBUL
  • İMSAK
    00:00
    GÜNEŞ
    00:00
    ÖĞLE
    00:00
    İKİNDİ
    00:00
    AKŞAM
    00:00
    YATSI
    00:00
  • 0.0
  • 0.0
  • 0.0

7 yıl migren ağrısı çekti! Beyninden çıkanlar şoke etti

Yeniakit Publisher
2020-10-07 13:54:00 -
7 yıl migren ağrısı çekti! Beyninden çıkanlar şoke etti

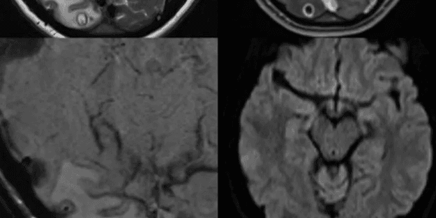
Avustralya'nın Melbourne kentinde bir kafede çalışan 25 yaşındaki barista, baş ağrısının yanında bulanık görmeye başlayınca hastaneye sevk edildi.

Doktorların yaptığı MR taramasının ardından kadının başının arkasındaki oksipital lobda 8 mm uzunluğunda bir lezyon bulundu.

Cerrahlar, herhangi bir komplikasyon yaşanmadan kiste benzeyen şeyi çıkarmayı başardı; ne var ki çıkardıkları parçanın insan dokusu olmadığını gördü.

DNA testi, insanlara genelde az pişmiş domuz etinin yenmesiyle bulaştığı için domuz tenyası olarak da bilinen Taenia Solium'la bir eşleşme buldu.

Geçen ay The American Journal of Tropical Medicine and Hygiene adlı bilimsel dergide yayımlanan vaka çalışmasının yazarları, "Vakanın Avustralya'da görülen ilk yerli nörosistiserkoz (merkezi sinir sisteminin tenya larvasıyla enfekte olması sonucu ortaya çıkan hastalık) vakası olduğuna inanılıyor. Avustralya'da daha önce görülen vakalarda hasta ya göçmendi, ya da endemik bölgelere gidip geri gelen sakinlerdi" ifadelerini kullandı.

Söz konusu kadın, yurtdışına çıkıp tenya enfeksiyonunun yaygın olarak görüldüğü ülkelere, mesela bazı Asya ve Latin Amerika bölgelerine hiç gitmemişti. Fakat kadının Melbourne'da yaşadığı bölgedeki sakinlerin yüzde 10'dan fazlası Asya doğumlu.

Bilim insanları kadının, hastalıktan etkilenen bir ülkeden gelmiş başka bir tenya taşıyıcısının saldığı T. soldum yumurtalarını yanlışlıkla yutmuş olabileceğini düşünüyor.

Uzmanlar "Bu olayı daha fazla vakanın izlemesi muhtemel" diye ekliyor. "Klinik tedavi uzmanlarının, dünya çapında seyahat etmenin kolaylaşması ve sıklaşmasıyla birlikte dünyanın birçok bölgesinde büyük ölçüde endemik olan hastalıkların, endemisitesi düşük ülkelerin sakinleri için de risk teşkil ettiğini unutmaması gerek."

Geçen yıl Hindistan'da beynine ve testislerine tenya yerleşen bir genç hayatını kaybetmişti.

Çin'de bir inşaat işçisi de domuz eti içeren Çin güveci yemiş ve bunun ardından işçinin beyninde yüzlerce tenya bulunmuştu.

Haberle ilgili yorum yapmak için tıklayın.
x

WhatsApp İhbar Hattı

+90 (553) 313 94 23