• İSTANBUL
  • İMSAK
    00:00
    GÜNEŞ
    00:00
    ÖĞLE
    00:00
    İKİNDİ
    00:00
    AKŞAM
    00:00
    YATSI
    00:00
  • 0.0
  • 0.0
  • 0.0

Diş taşlarını kıran inanılmaz etkili kür!

Yeniakit Publisher
2019-09-21 17:39:00 -
Diş taşlarını kıran inanılmaz etkili kür!

Diş taşları oldukça can sıkıcı bir durum. Birçok kişinin problemi haline gelen bu durumdan kısa süre içerisinde kurtulmak mümkün. Peki ama diş taşları nasıl temizlenir? Diş taşı nasıl yok edilir? İşte detaylar...

Diş taşları oldukça can sıkıcı bir durum. Birçok kişinin problemi haline gelen bu durumdan kısa süre içerisinde kurtulmak mümkün. Peki ama diş taşları nasıl temizlenir? Diş taşı nasıl yok edilir? İşte detaylar...

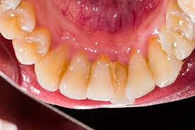
Dişlerdeki taş oluşumu, yemek kalıntıları ve gazlı içeceklerin fazla tüketimi sonrasında meydana gelir. Bazı durumlarda ağrı yapabileceği gibi, kanamalara da sebebiyet verir. Aynı zamanda kötü görüntülü dişlere de sahip olabilirsiniz.

Bu sorunun istesinden gelmek için öncelikle sık sık diş fırçalamak, atıştırmalardan sonra ağız çalkalamak ve her fırçalama sonrasında diş ipi kullanmak gerekir. Bol su içmek ve dil temizliğini de eksik etmemek önemlidir. Bu sayede ağızda bakteri üreyemediği için taşlarında tutunması azalacaktır.

Diş taşlarını kıran inanılmaz etkili kür!

Diş taşlarının kırılması için mutlaka misvak kullanmalısınız. Misvak kullanırken, her bir dişinizin yüzeyini tek tek ovun. Bu zahmetli bir işlem değildir. Oturduğunuz yerden bile rahatlıkla yapabilirsiniz.

Yarım çay kaşığı karbonat, 1 tatlı kaşığı hindistan cevizi yağını karıştırarak dişlerinizi her gün fırçalayın.

Diş ipi kullanın ve ağzınızı çalkalayın.

En son maden suyu içerek ağzınızı ferahlatıp rahatlatın.

Bu uygulamaları her gün yaptığınız takdirde bir hafta içerisinde etkisini göreceksiniz.

Haberle ilgili yorum yapmak için tıklayın.
x

WhatsApp İhbar Hattı

+90 (553) 313 94 23