• İSTANBUL
  • İMSAK
    00:00
    GÜNEŞ
    00:00
    ÖĞLE
    00:00
    İKİNDİ
    00:00
    AKŞAM
    00:00
    YATSI
    00:00
  • 0.0
  • 0.0
  • 0.0

Diş eti çekilmesini önleyen, iltihap kurutan kür

Yeniakit Publisher
Selma Savcı Giriş Tarihi: Güncelleme Tarihi:
Diş eti çekilmesini önleyen, iltihap kurutan kür

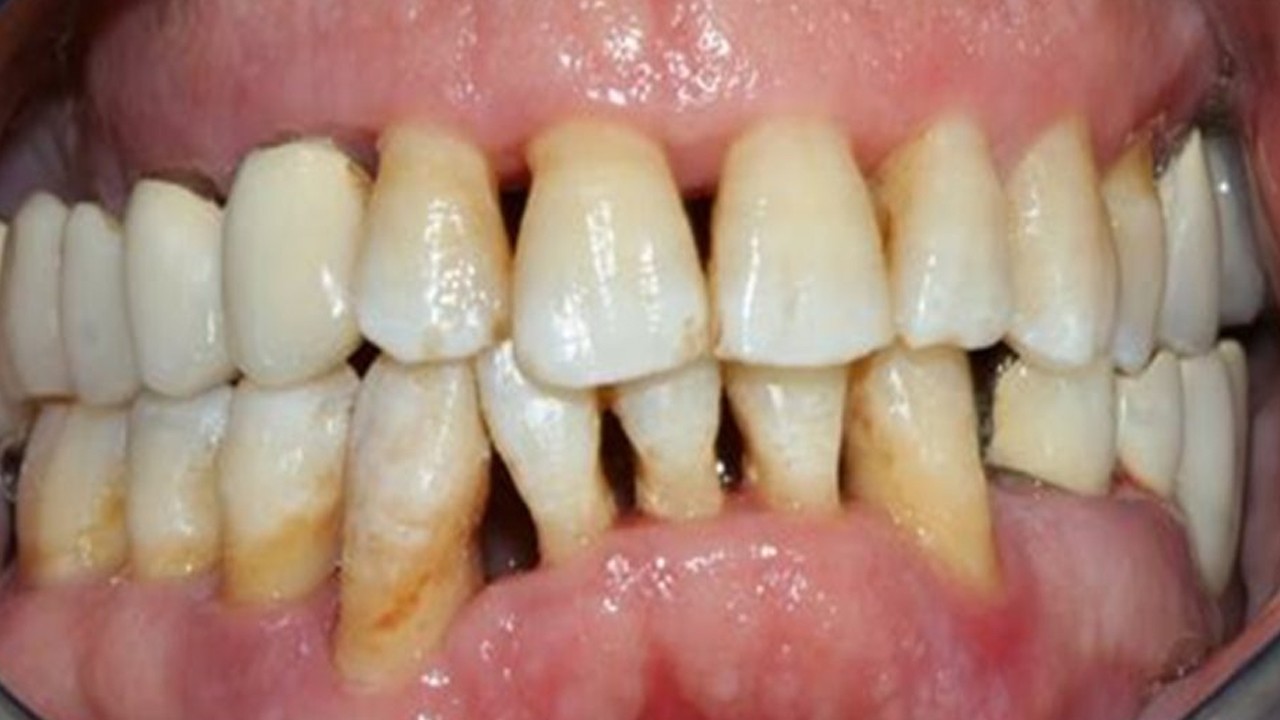
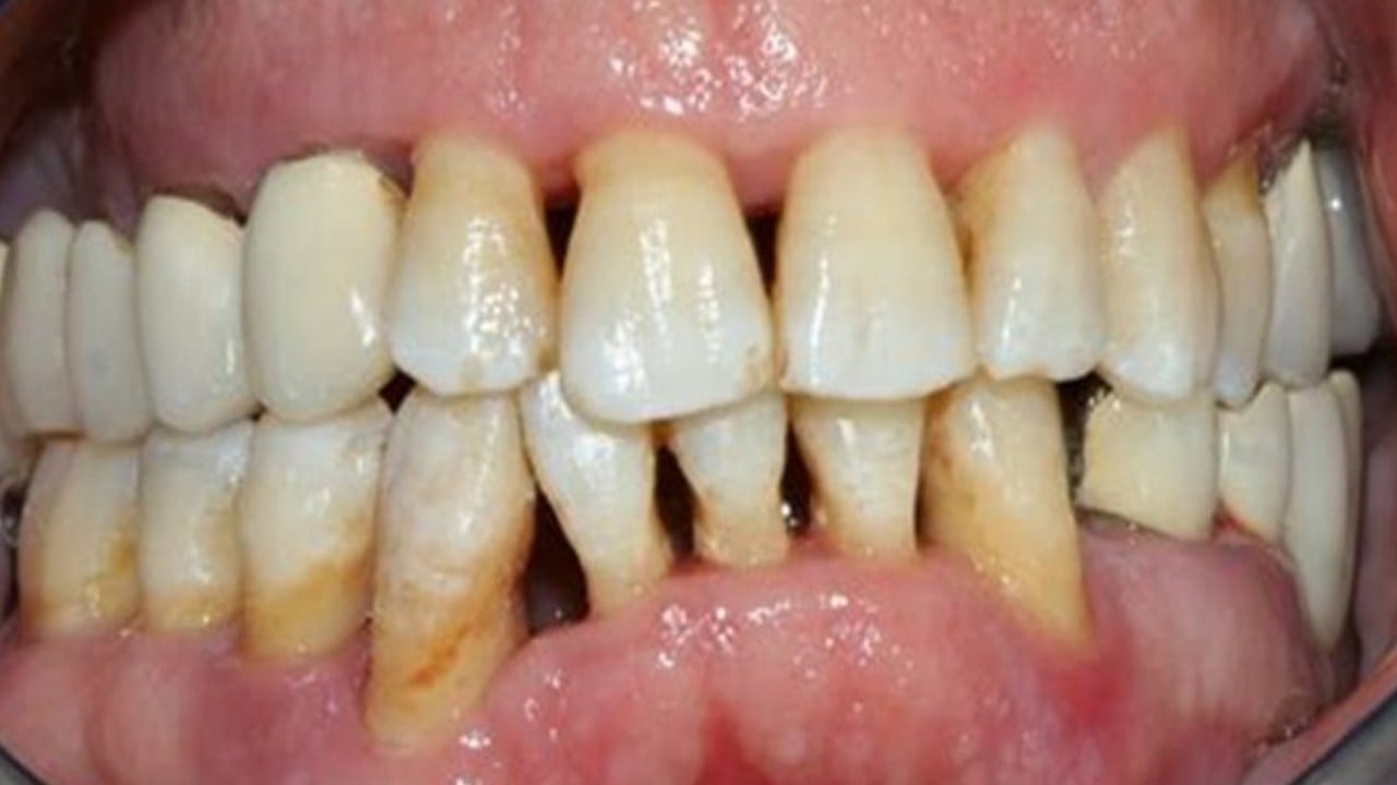
Ağız ve diş bakımına yeterli özenin gösterilmemesi, yetersiz beslenme ve bazı hastalıklar nedeniyle diş etlerinde ortaya çıkan enfeksiyonlar, diş etlerinde iltihaplanmaya neden olabilir. Genellikle bakteriyel enfeksiyonlara bağlı olarak oluşan diş eti iltihabı gingivitis olarak da adlandırılır. İbrahim Saraçoğlu, diş sağlığımız için en doğal çare diyor.

Diş eti çekilmesi (periodontitis) dişlerin gevşemesine veya diş kaybına neden olabilir. Diş eti çekilmesi (periodontitis) yaygın olarak görülen, ancak büyük ölçüde önlenebilir bir durumdur. Genellikle ağız temizliği ve bakımının kötü yapılmasından kaynaklanır.

Dağ kekiği diğer kullanımları haricinde alternatif tıp alanında doğal tedavileri olarak da çok ön plana açık kan bir baharat türüdür. Dağ kekiği özellikle diş ve diş eti hastalıklarına karşı tavsiye edilir. Bu konuda Prof. Dr. İbrahim Saraçoğlu diş eti çekilmesi, diş etleri iltihabına, ve dişteki kanamalara karşı dağ kekiği kürü öneriyor.

Diş eti çekilmesine dağ kekiği kürü nasıl yapılır?

Cezveye koyduğunuz 1 bardak suyun üzerine ortalama bir tutam yani 1 tatlı kaşı dağ kekiği koyarak 5 -10 dakika kaynatın . Daha sonra ocağı kapatarak ılınmasını bekleyin. Daha sonra süzerek kullanabilirsiniz. Bu doğal kekik suyu ile gün içerisinde gargara ve diş fırçalama yaparak diş eti iltihaplarına diş eti çekilmesine ve diş kanamalarına engel olabilirsiniz.

Dağ Kekiğinin Faydaları:

Vücuda güç verir, yorgunluğu alır.
Dağ kekiğinin idrar söktürücü özelliği vardır.
Bağırsak iltihabı için faydalı olduğu söylenir ve bağırsak solucanlarını düşürür.
Kalp hastalıklarına karşı önerilir.
Bronşit, astım ve grip gibi hastalıklara faydaları vardır.
Romatizma için daha keki suyu ile masaj yapılırsa çok iyi gelir.

Haberle ilgili yorum yapmak için tıklayın.
x

WhatsApp İhbar Hattı

+90 (553) 313 94 23