Fransa’da yaşayan bir adam, yaşadığı rahatsızlıktan ötürü zamanla beyninin %90’ını kaybetmiş olmasına rağmen herhangi bir zihinsel engeli olmadan yaşamaya devam ediyor.
Fransa’da yaşayan bir adam, yaşadığı rahatsızlık sonucu beyninin %90’lık bölümünü kaybetmiş olmasına rağmen 75 IQ seviyesiyle ve zihinsel bir engeli olmadan yaşamaya devam ediyor.
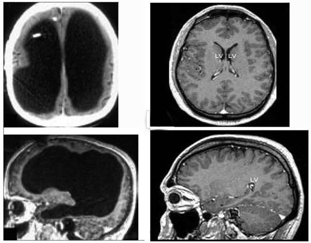
Webtekno sitesinde yer alan habere göre ülkesinde devlet memuru olarak çalışmaya devam eden adamın yaşadığı rahatsızlık ise halk arasında ‘beyinde su toplanması’ olarak bilinen hidrosefali. Beynin solunum merkezi gibi hayati bölgelerini içeren kısmının basıncın etkisiyle omuriliğe doğru kaymasıyla birlikte oluşan bu sorun, ani müdahale yapılmadığı taktirde maalesef ölümle sonuçlanıyor. Fransa’da yaşayan adam ise çocukken yaşadığı bu soruna zamanında müdahale edilmesinin ardından hayatta kalmayı başarmış.
