• İSTANBUL
  • İMSAK
    00:00
    GÜNEŞ
    00:00
    ÖĞLE
    00:00
    İKİNDİ
    00:00
    AKŞAM
    00:00
    YATSI
    00:00
  • 0.0
  • 0.0
  • 0.0

Akciğer sönmesi ne demek? Akciğer sönmesi nasıl bir hastalık belirtileri neler?

Yeniakit Publisher
2020-04-28 21:03:00 -
Akciğer sönmesi ne demek? Akciğer sönmesi nasıl bir hastalık belirtileri neler?

Akciğer sönmesinin nedenleri keskin ve belli nedenlerdir. Birçok kişi akciğer sönmesi belirtilerisi yaşamadanda bu hastalığı geçirebilir. Peki ama akciğer sönmesi nedir? Akciğer sönmesi belirtileri nelerdir? Akciğer sönmesi kimlerde görülür? Son zamanlarda sıklıkla görülen akciğer sönmesine ilişkin detaylar...

Akciğer zarları arasında hava dolması durumuna akciğer sönmesi denir. Tek başına bir hastalık olmamak ile birlikte birçok sebebe bağlı olarak görülmektedir. Göğüs kafesinin içerisinde üstü hava geçirmeyen ince zarla kaplanmış ve içi hava dolu solunum organlarımızdır.

Akciğer sönmesi belirtileri nelerdir?

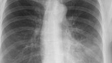
Çöken akciğerin alanına göre solunum dakika sayısında artma, dudak ve dilde morarma ve taşikardi görülebilmektedir. Kesin tanı akciğer grafisinde akciğerin söndüğü ve o bölgenin şeffaflaştığı görülerek tanı netleşebilmektedir.

Akciğer sönmesi görülen hastaların birçoğunda iki ayrı belirti görülmektedir. Göğüs ağrısı ve nefes darlığı bu belirtilerdir. Çoğunlukla hastalarda göğüs ağrısı şikayeti görülmektedir. Bu şikayeti olan hastalar tarafından sönme gösteren akciğerde çok fazla hissedilmektedir. Akciğerin boyutuna göre nefes darlığı değişmektedir. Sırt ağrısı ve karın ağrısı belirtiler arasındadır. Bazı durumlarda hiç şikayeti olmayan hastalarda olabilmektedir.

Haberle ilgili yorum yapmak için tıklayın.
x

WhatsApp İhbar Hattı

+90 (553) 313 94 23