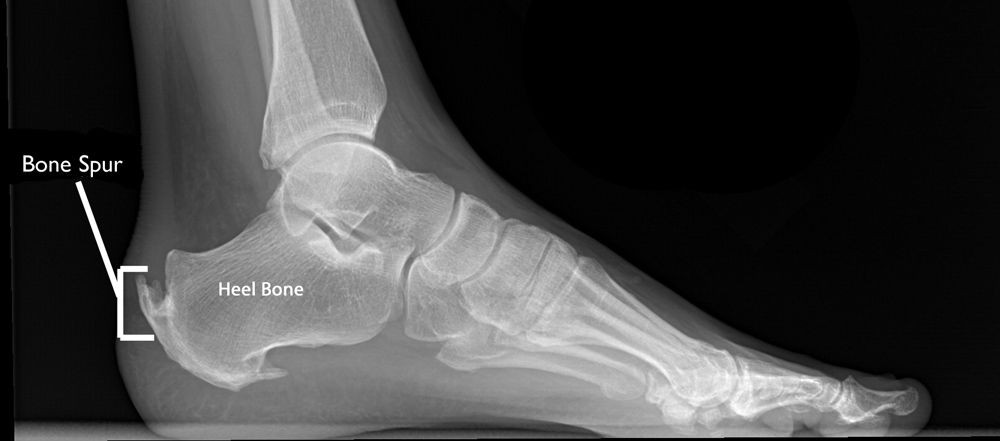
Ayakta durmayı eziyette çeviren topuk dikeni ağrılarından doğal yöntemlerle kurtulmak mümkün…
Ayakta durmayı güçleştiren, topuktaki şiddetli ağrıya sebep olan rahatsızlığa topu dikeni denir. Kalkaneal spurs olarak bilinen topuk dikeni, topuktaki kalsiyum birikmesinin bir sonucudur. Kimi zaman ayakta durmayı bile güçleştiren bu rahatsızlıktan cerrahi yöntemle kurtulmak mümkün.
İşte, topuk dikeni ağrılarından kurtulmanın 7 yolu:
1. Soğuk kompres
Topuk ağrısı bazen adım atmanızı bile engelleyebilir. Böyle bir sorunla karşı karşıyaysanız; ağrıyı hafifletmek için soğuk kompres yapabilirsiniz. Bir adet buz küpünü topuğunuzda gezdirin; ağrı yavaş yavaş ortadan kaybolacaktır.
2. Elma sirkesi
Elma sirkesiyle ıslattığınız bir bezi ayağınıza yerleştirin. Ardından sargı beziyle ayağınızı sarın. Bu uygulamayı her akşam tekrarlayabilirsiniz.
3. Tabanlık kullanın
Topuk dikeni olan kişiler için üretilen ayakkabı tabanlıklarından edinmeniz ağrılarınızı bir hayli azaltacaktır.
4. Epsom tuzlu masaj
Epsom tuzu ile hazırlayacağınız ılık suyun içerisine ayaklarınızı yerleştirin. Yaklaşık 20 dakikanın sonunda ayaklarınız bir hayli rahatlayacaktır.
5. Keten tohumu yağı
Keten tohumu yağı ile topuğunuza masaj yapın. Ardından ayağınızı sargı beziyle sarın ve gece bu şekilde uyuyun. Topuğunuzdaki şiddetli ağrı bir hayli hafifleyecektir.
6. Karbonat macunu
Bir miktar karbonat ve su ile macun hazırlayıp bunu gönül rahatlığıyla topuğunuza uygulayabilirsiniz.
7. Fizik tedavi
Ağrılar yaşam kalitenizi düşürmeye başladığında mutlaka bir fizik tedavi uzmanından yardım alın. Fizik tedavi yöntemi çoğu zaman cerrahi yönteme ihtiyaç kalmadan sorunu ortada kaldırabilir.
- Topuğunuzda yaşadığınız şiddetli bir ağrı var ise vakit kaybetmeden bir doktora görünmekte yarar var. Çünkü topuklarda yaşanan her ağrı topuk dikeni nedeniyle olmaz. Bazen bu durum bel fıtığından da kaynaklanabilir. O nedenle tam bir teşhis konulmadan bitkisel yollarla çözüm aramaya çalışmamak gerekli.

