• İSTANBUL
  • İMSAK
    00:00
    GÜNEŞ
    00:00
    ÖĞLE
    00:00
    İKİNDİ
    00:00
    AKŞAM
    00:00
    YATSI
    00:00
  • 0.0
  • 0.0
  • 0.0
6
Yeniakit Publisher
Milyonda bir görünüyor, doktorlar bile donup kaldı! Böyle bir şey nasıl olur?

2022-11-26 09:27:25
Milyonda bir görünüyor, doktorlar bile donup kaldı! Böyle bir şey nasıl olur?

Meksika’da ismi açıklanmayan bir kız bebek 6 cm uzunluğunda bir kuyrukla dünyaya geldi.

#1
Foto - Milyonda bir görünüyor, doktorlar bile donup kaldı! Böyle bir şey nasıl olur?

Tamamen saç ve deriden kaplı bir yapıyla dünyaya gelen kız çocuğu milyonda bir kez görülebilecek tıbbi bir vakaya imza atmayı başardı. Doktorlar tüm incelemelerin sonunda ise kuyruğu bedeninden cerrahi işlemle kesti.

#2
Foto - Milyonda bir görünüyor, doktorlar bile donup kaldı! Böyle bir şey nasıl olur?

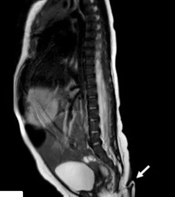
Meksika’nın kuzeydoğusundaki bir kırsal hastanede sezaryenle dünyaya gelen bir bebek tüylü kuyruğu nedeniyle manşetlere çıktı. Journal of Pediatric Surget’ye göre, çocuğun daha önce radyasyona maruz kalma öyküsü veya hamilelik sırsında enfeksiyon öyküsü bulunmuyordu. 20’li yaşlarında sağlıklı iki ebeveynin kızı olarak dünyaya gelen bebeğin kuyruğu yaklaşık 6 cm uzunluğunda ve 3 ila 5 mm arasında değişen bir yarı çapa sahipti.

#3
Foto - Milyonda bir görünüyor, doktorlar bile donup kaldı! Böyle bir şey nasıl olur?

Kuyruğa benzeyen yapının saç ve deriyle kaplı olduğu fark edildikten sonra röntgen çektiler. Kuyrukta herhangi bir anormallik veya kemik yapısı bulgusu bulamadılar. Bu, kuyruğun zamanla vücuttaki tüm kullanımlarını yitirmiş bir apendiks anlamında işlevsiz bir kuyruk değil, “gerçek bir kuyruk” olduğu belirlendi. Doktorlar vakayı "Son derece nadirdir" şeklinde tanımladı.

#4
Foto - Milyonda bir görünüyor, doktorlar bile donup kaldı! Böyle bir şey nasıl olur?

Doktorlar omurga sorunlarını eledikten sonra, kız bebek iki aylık olduğunda bir pediatri ve genel cerrahi ekibi tarafından yeniden değerlendirildi. Doktorlar yaşa göre yeterli kilo alımı ve büyüme olduğuna ikna olduklarında kuyruk yapısının uzunluğu 0,8 cm arttı. Deri lezyonlarına dair hiçbir kanıt olmadan, kuyruğun çıkarılmasına ve bölgenin Limberg plastisiyle yeniden yapılandırılmasına karar verildi.

#5
Foto - Milyonda bir görünüyor, doktorlar bile donup kaldı! Böyle bir şey nasıl olur?

Çocuk daha sonra taburcu edildi ve o zamandan beri herhangi bir komplikasyon bildirilmedi.

x

WhatsApp İhbar Hattı

+90 (553) 313 94 23