Diş etinden girip tüm vücuda yayılıyor! Görürseniz hemen..
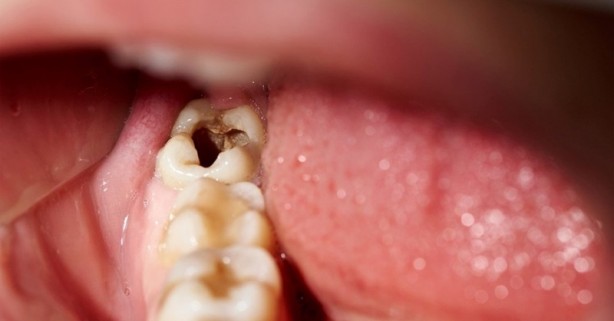
Ağız sağlığının iyi ya da kötü olması vücuttaki tüm organları ilgilendiriyor. "Ağzımız hastalıklara neden olan bakterilere açılan en önemli giriş kapısıdır" diyen Diş Hekimi Pertev Kökdemir "Diş eti iltihabı veya derin çürükleri olan kişilerde bu bakterilerin kana karışması ve organlarımıza hızla ulaşması çok kolay olacaktır. Bu nedenle sağlıklı bir beden, sağlıklı bir ağızdan geçer" diyerek ağız sağlığı ile genel sağlık ilişkisini madde madde açıkladı. Bazı araştırmalar, diş eti hastalığı olan kişilerin sağlıklı diş etlerine sahip olanlara göre daha fazla kalp hastalığı olduğunu göstermektedir.