• İSTANBUL
  • İMSAK
    00:00
    GÜNEŞ
    00:00
    ÖĞLE
    00:00
    İKİNDİ
    00:00
    AKŞAM
    00:00
    YATSI
    00:00
  • 0.0
  • 0.0
  • 0.0
21
Yeniakit Publisher
Dikkat! Bu belirtiler varsa dişinize diş kurdu girmiş olabilir
2020-10-01 19:53:11

Dikkat! Bu belirtiler varsa dişinize diş kurdu girmiş olabilir

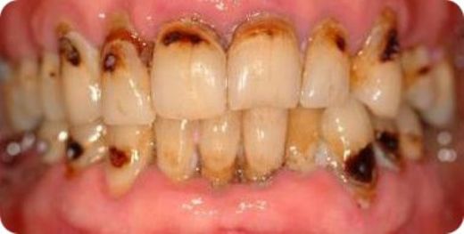
Düzenli fırçalanmayan dişlerde oluşan plaklar diş kurdu oluşumuna neden olabilir.

#1
Foto - Dikkat! Bu belirtiler varsa dişinize diş kurdu girmiş olabilir

Diş bakımı yapılmadığı takdirde çeşitli hastalıklara yol açabilir. Diş eti hastalıkları, plak oluşumu ve çürükler nedeniyle diş kaybı gibi sağlık sorunları ortaya çıkabilir.

#2
Foto - Dikkat! Bu belirtiler varsa dişinize diş kurdu girmiş olabilir

Düzenli fırçalanmayan dişlerde oluşan plak, zararlı organizmalar için elverişli bir yaşam alanı oluşturur. Bu zararlı organizmalar arasından diş kurdu da bulunur.

#3
Foto - Dikkat! Bu belirtiler varsa dişinize diş kurdu girmiş olabilir

Diş kurtları plaklara yerleşerek kendileri için uygun bir ortam ararlar. Genellikle dişlerin içinde yaşarlar ve dişleri yiyerek beslenirler.

#4
Foto - Dikkat! Bu belirtiler varsa dişinize diş kurdu girmiş olabilir

Çürük ve diş iltihabı gibi sağlık sorunları ilerlediğinde önlenemez sonuçlara yol açar.

#5
Foto - Dikkat! Bu belirtiler varsa dişinize diş kurdu girmiş olabilir

Düzenli fırçalama, diş ipi ve ağız gargarası kullanımı gibi önlemler diş plaklarını ve çürükleri engeller.

#6
Foto - Dikkat! Bu belirtiler varsa dişinize diş kurdu girmiş olabilir

Peki diş kurtlarının belirtileri nelerdir?

#7
Foto - Dikkat! Bu belirtiler varsa dişinize diş kurdu girmiş olabilir

Damak ve diş etlerinde şişkinlik

#8
Foto - Dikkat! Bu belirtiler varsa dişinize diş kurdu girmiş olabilir

Diş etinde meydana gelen kanamalar

#9
Foto - Dikkat! Bu belirtiler varsa dişinize diş kurdu girmiş olabilir

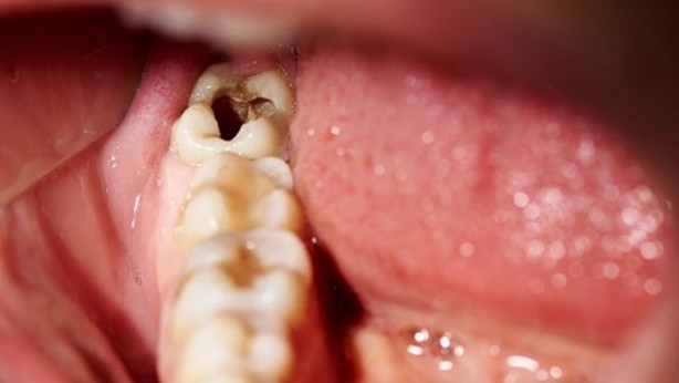
Diş minesinde oluşan oluklar

#10
Foto - Dikkat! Bu belirtiler varsa dişinize diş kurdu girmiş olabilir

Dişlerde görülen çukurlar

#11
Foto - Dikkat! Bu belirtiler varsa dişinize diş kurdu girmiş olabilir

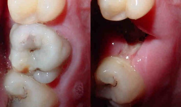
DİŞ BAKIMI NEDEN ÖNEMLİ? - Diş kurtlarının oluşmasının en önemli sebebi düzenli yapılmayan diş bakımıdır.

#12
Foto - Dikkat! Bu belirtiler varsa dişinize diş kurdu girmiş olabilir

Diş ve ağzın tam olarak temizlenmemesi bakteri ve mikropların üremeye devam etmesine sebep olur. Bu durum dilin üzerinde bir tabakanın oluşmasına sebep olur.Bu tabakanın altında yaşayan bu mikroplar ve bakteriler bu şekilde dişleri ve diş etlerini sardıkları gibi, diş eti dokusuyla dişleri tutan kemiğe de bulaşırlar.

#13
Foto - Dikkat! Bu belirtiler varsa dişinize diş kurdu girmiş olabilir

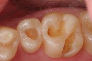
Burada dişin koruyucu tabakası olan diş minesi üzerinde küçük delikler oluşturur. Bu delikler zamanla genişler ve küçük oyuklar haline gelmeye başlar. Diş minesi üzerinde ciddi zararlara yol açan kurtlar dişlerin çürümesine, zayıflayıp düşmesine sebep olur. Tam da bu sebeple rutin olarak yapılan diş bakımı oldukça önemli bir rol oynar ve kalıcı kayıpların önüne geçer.

#14
Foto - Dikkat! Bu belirtiler varsa dişinize diş kurdu girmiş olabilir

DİŞ KURTLARININ TEDAVİSİ NASIL YAPILIR? - Hastanın müdahaleyi hissetmemesi içn öncelkle anestezi ugulanır. Daha sonra ise dişte meydana gelen çürükler temizlenir.

#15
Foto - Dikkat! Bu belirtiler varsa dişinize diş kurdu girmiş olabilir

Dişteki hastalıklı bölgede bulunan yumuşak doku çıkarılır. Bu doku içindeki sinir ve dok atıkları temizlenir.

#16
Foto - Dikkat! Bu belirtiler varsa dişinize diş kurdu girmiş olabilir

Tedavi boyunca işlem gören diş iyileşene kadar korumak için dolgu maddeleriyle kaplanır. Kök ucundan iltihap gelmesi ve iltihabın üremesi durduğu anda diş özel bir dolgu maddesiyle kök ucuna kadar doldurulur. Kuron kaplama yapılarak tekrar kırılmaması ve çürümemesi sağlanır.

#17
Foto - Dikkat! Bu belirtiler varsa dişinize diş kurdu girmiş olabilir

DİŞ KURTLARINI ÖNLEMEK İÇİN NE YAPILMASI GEREKİR? - Beslenme oldukça önemlidir. Hem ağız hem de dişler için yararlı besinler tercih edilmeli asitli, kafeinli içeçeklerden en çok şekerli besinlerden uzak durulmalıdır.

#18
Foto - Dikkat! Bu belirtiler varsa dişinize diş kurdu girmiş olabilir

Tükürük sindirimi kolaylaştırır. Ağız içinde meydana gelen birçok bakteriyi yok eder. Ağızda kalan ve yapışan tartarların parçalanmasınına yardımcı olur.

#19
Foto - Dikkat! Bu belirtiler varsa dişinize diş kurdu girmiş olabilir

Diş plağını oluşmasını engelleyen en önemli silah diş fırçasıdır. Düzenli olarak fırçalanan diş mekanik olarak diş plağını uzaklaştırır.

#20
Foto - Dikkat! Bu belirtiler varsa dişinize diş kurdu girmiş olabilir

Diş fırçasın en önemli yardımcısı diş macunu seçmi çok önemlidir. Birçok diş macunu içeriği florür ile dişin inorganik yapısını aistlere karşı dayanıklı hale getirir.

x

WhatsApp İhbar Hattı

+90 (553) 313 94 23