Karnı ağrıyordu, gerçek doktora gidince ortaya çıktı
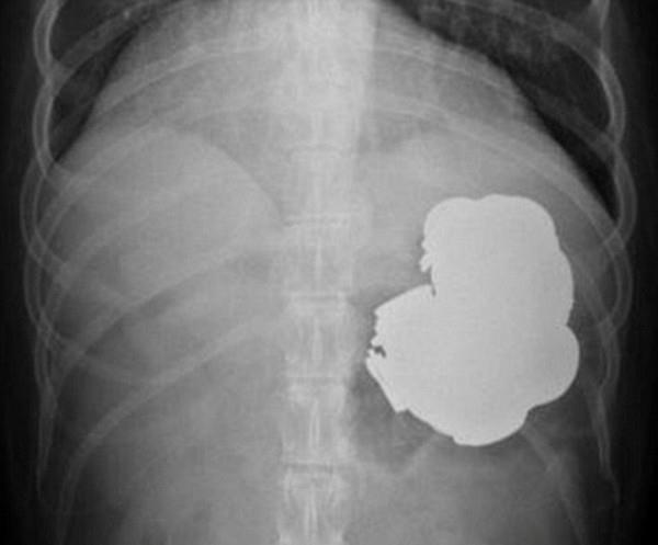
34 yaşındaki Hintli Rajpal Singh isimli adam, depresyona girdikten sonra metal cisimler yutmaya başladı. 3 yıl boyunca yaklaşık 140 metal para ve 150 çivi yuttuğu tahmin edilen adam, karın ağrısı şikayetiyle doktora gidince korkunç gerçek ortaya çıktı.
34 yaşındaki Hintli Rajpal Singh isimli adam, depresyona girdikten sonra metal cisimler yutmaya başladı. 3 yıl boyunca yaklaşık 140 metal para ve 150 çivi yuttuğu tahmin edilen adam, karın ağrısı şikayetiyle doktora gidince korkunç gerçek ortaya çıktı.
Depresyona girdiği için bu şekilde rahatladığını belirten adamın midesinde çekilen görüntüler ise şaşkınlık oluşturdu.
Karın ağrısının nedeninin bu alışkanlığı olduğunu düşünmediğini söyleyen adam bu sözleriyle doktorları da şaşırttı.
Doktorlar tam 240 işlem sonrasında metal objelerin bir kısmını çıkarmayı başardı. 34 yaşındaki adamın midesinden çivi, para, vida, pil ve mıknatıs gibi pek çok çeşitli metal çıkarıldı.


