• İSTANBUL
  • İMSAK
    00:00
    GÜNEŞ
    00:00
    ÖĞLE
    00:00
    İKİNDİ
    00:00
    AKŞAM
    00:00
    YATSI
    00:00
  • 0.0
  • 0.0
  • 0.0
8
Yeniakit Publisher
Profesörden kadınlara uyarı: 10 yıl içinde hızla artacak
Haber Merkezi Giriş Tarihi:

Profesörden kadınlara uyarı: 10 yıl içinde hızla artacak

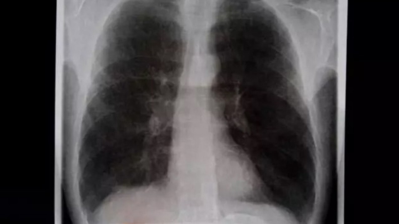
Türkiye'deki sigara kullanımında kadınların erkekleri geçmesi sonrası Ülkemizde kadınların sigara kullanımının erkekleri geçmesinin ardından Prof. Dr. Toker Ergüder, akciğer sağlığı açısından kadınları uyardı. Kadınlarda sigara kullanımının 15-24 yaş arası kadınlarda yüzde 90’a ulaşması üzerine Ergüder, önümüzdeki 10 yıl içinde kadınlar arasında akciğer kanseri salgınının ortaya çıkabileceğini söyledi.

#1
Foto - Profesörden kadınlara uyarı: 10 yıl içinde hızla artacak

Muş Alparslan Üniversitesi, kanserin erken teşhis ve tedavi yöntemleri, yeni teknolojik gelişmeler ve hasta deneyimlerini paylaşmak üzere çok sayıda bilim insanının katıldığı 12. Uluslararası Onkoloji Günleri'ne ev sahipliği yaptı.

#2
Foto - Profesörden kadınlara uyarı: 10 yıl içinde hızla artacak

Cumhurbaşkanlığı Sağlık Politikaları Kurulu Üyesi ve Sağlık Bilimleri Üniversitesi Gülhane Tıp Fakültesi Halk Sağlığı Ana Bilim Dalı Öğretim Üyesi Prof. Dr. Toker Ergüder, kanserin başlıca nedenlerinden biri olan sigara tiryakiliğinin ciddi tehlikesine dikkat çekti.

#3
Foto - Profesörden kadınlara uyarı: 10 yıl içinde hızla artacak

CUMHURBAŞKANIMIZ BUNA İZİN VERMİYOR Türkiye'nin tütünle mücadelede çok iyi örnek olan ülkelerden biri olduğunun altını çizen Prof. Dr. Ergüder, "Cumhurbaşkanımız Recep Tayyip Erdoğan, tütünle ve elektronik sigarayla mücadelede örnek isimlerden biri. 2018-2023'te tütün endüstrisi elektronik sigarayı ülkemizde serbestleştirmek için elinden geleni yaptı ama Cumhurbaşkanımız buna izin vermiyor. Endüstrinin her türlü kirli ve ahlaksız teklifine karşı duruyor. Çocuklarımızı ve gençlerimizi korumaya devam ediyor" dedi.

#4
Foto - Profesörden kadınlara uyarı: 10 yıl içinde hızla artacak

Sabah'ta yer alan habere göre; 2008 ile 2013 yılları arasında çok sıkı bir tütün kontrol politikaları uygulandığını belirten Prof. Dr. Ergüder, "Bir yandan sigara fiyatları artırıldı. Bir yandan kapalı alanda sigara içilmesi yasaklandı. Sigara içme oranlarını bu yıllarda yüzde 14'e kadar düşürdük. Ama 2013 yılından sonra tütün endüstrisi Türkiye'de bu piyasayı kaybetmeye başlayınca yeni taktiklere başvurdu. Türkiye'de ürün çeşitliliğini çok artırdı. Özellikle kadınları hedef aldı" dedi.

#5
Foto - Profesörden kadınlara uyarı: 10 yıl içinde hızla artacak

Prof. Dr. Ergüder, sigara tiryakiliğinin kadınlarda eğitim ve statü yükseldikçe arttığına dikkat çekerek, "Erkeklerde ise tam tersi. Eğitim ve statü yükseldikçe sigara içme oranları düşüyor. Sigara endüstrisi 'kadınlara özgürlük, kadın hakları' diyerek birçok kampanya başlattı. Bunun sonucunda özellikle 2013 yılından sonra Türkiye'de kadınlarda sigara içme oranı çok artmaya başladı" dedi.

#6
Foto - Profesörden kadınlara uyarı: 10 yıl içinde hızla artacak

5-24 YAŞTA YÜZDE 90 ARTTI Son 10 yılda kadınlarda sigara içme oranındaki artışın yüzde 40 olduğunun altını çizen Prof. Dr. Ergüder, "Erkeklerde çok artmıyor ama kadınlarda çok artıyor. Ama bizi asıl endişeye düşüren 15-24 yaş grubu kadınlarda sigara içme artış oranının yüzde 90'a ulaşması" dedi.

#7
Foto - Profesörden kadınlara uyarı: 10 yıl içinde hızla artacak

"10 YIL İÇİNDE KADINLAR ARASINDA AKCİĞER SALGINI ÇIKACAK" Bir yandan Türkiye'de sigara içme oranları artarken, bir yandan da endüstrinin yeni bir ürünü piyasaya sokmaya çalıştığını belirten Prof. Dr. Ergüder, "Bu da elektronik ve sıvı sigaralar. Bu ürünlerin Türkiye'deki satışları yasak. Bununla ilgili çok sıkı kanunlarımız var ama kaçak yollarla giriyorlar piyasaya. Zaten Türkiye'de genç kadınlarda sigara içme oranları artıyor. Ne yazık ki üzülerek söylüyorum önümüzdeki 10 yıl içinde kadınlar arasında da bir akciğer kanseri salgını ortaya çıkacaktır" dedi./ kaynak: haber7

Haberle ilgili yorum yapmak için tıklayın.
x

WhatsApp İhbar Hattı

+90 (553) 313 94 23