• İSTANBUL
  • İMSAK
    00:00
    GÜNEŞ
    00:00
    ÖĞLE
    00:00
    İKİNDİ
    00:00
    AKŞAM
    00:00
    YATSI
    00:00
  • 0.0
  • 0.0
  • 0.0
8
Yeniakit Publisher
Yeni yöntemi belli oldu: Kronik ağrıların tedavisinde radyofrekans dönemi
IHA Giriş Tarihi:

Yeni yöntemi belli oldu: Kronik ağrıların tedavisinde radyofrekans dönemi

Prof. Dr. İrfan Koca: "Doğru hastada uygulandığında ameliyatsız güçlü bir alternatif" yorumunda bulundu...

#1
Foto - Yeni yöntemi belli oldu: Kronik ağrıların tedavisinde radyofrekans dönemi

Fizik Tedavi ve Rehabilitasyon Uzmanı Prof. Dr. İrfan Koca, radyofrekans tedavisine ilişkin önemli değerlendirmelerde bulundu.

#2
Foto - Yeni yöntemi belli oldu: Kronik ağrıların tedavisinde radyofrekans dönemi

Son yıllarda bu tür ağrıların tedavisinde öne çıkan radyofrekans yöntemi, özellikle cerrahi dışı seçenek arayan hastalar için dikkat çekiyor.

#3
Foto - Yeni yöntemi belli oldu: Kronik ağrıların tedavisinde radyofrekans dönemi

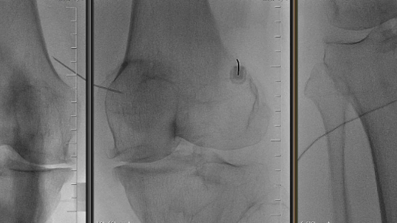
Radyofrekans tedavisinin, ağrıya neden olan sinirlerin kontrollü şekilde tedavi edilmesi esasına dayandığını belirten Prof. Dr. İrfan Koca, "Bu yöntemde özel iğneler aracılığıyla hedef sinir dokusuna ulaşılır ve radyo dalgaları kullanılarak ağrı iletimi azaltılır. Minimal invaziv bir işlem olup genellikle kısa sürede tamamlanır" dedi.

#4
Foto - Yeni yöntemi belli oldu: Kronik ağrıların tedavisinde radyofrekans dönemi

Tedavinin özellikle uygun hasta grubunda etkili sonuçlar verdiğini vurgulayan Koca, "Radyofrekans tedavisi; fizik tedavi, manuel terapi, kuru iğneleme, nöral terapi, proloterapi gibi konservatif ve girişimsel tedavi yöntemlerine rağmen yeterli yanıt alınamayan ve ağrıları devam eden hastalar açısından önemli bir tedavi seçeneğidir. Bununla birlikte, şikayetlerinin kaynağı cerrahi gerektiren bir patolojiye dayanmayan ya da kendisine cerrahi tedavi önerilmiş olmasına rağmen ameliyatı tercih etmeyen hastalar için de etkili ve güvenilir bir alternatif tedavi seçeneği olarak karşımıza çıkmaktadır" ifadelerini kullandı.

#5
Foto - Yeni yöntemi belli oldu: Kronik ağrıların tedavisinde radyofrekans dönemi

Uygun hasta seçiminin tedavi başarısındaki en önemli faktörlerden biri olduğuna dikkat çeken Koca, "Her ağrıya uygulanabilecek bir yöntem değildir. Doğru endikasyonla uygulandığında hastaların yaşam kalitesinde belirgin iyileşme sağlanabilir" şeklinde konuştu.

#6
Foto - Yeni yöntemi belli oldu: Kronik ağrıların tedavisinde radyofrekans dönemi

İşlem sonrası sürecin konforlu olduğunu belirten Koca, "Radyofrekans tedavisinin en önemli avantajlarından biri ameliyatsız bir yöntem olmasıdır. İşlem sonrasında hastalar genellikle saatler içinde günlük yaşamlarına dönebilmektedir" dedi.

#7
Foto - Yeni yöntemi belli oldu: Kronik ağrıların tedavisinde radyofrekans dönemi

Yan etkilerin genellikle sınırlı olduğunu ve işlemin deneyimli hekimler tarafından yapılması gerektiğini belirten Koca, "Uygun teknik ve doğru hasta seçimi ile komplikasyon riski oldukça düşüktür" şeklinde konuştu. Uzmanlar, kronik ağrı tedavisinde radyofrekans yönteminin özellikle diğer tedavilere yanıt vermeyen ve cerrahi dışı çözüm arayan hastalar için etkili ve güvenilir bir seçenek sunduğunu belirtiyor.

Haberle ilgili yorum yapmak için tıklayın.
x

WhatsApp İhbar Hattı

+90 (553) 313 94 23