• İSTANBUL
  • İMSAK
    00:00
    GÜNEŞ
    00:00
    ÖĞLE
    00:00
    İKİNDİ
    00:00
    AKŞAM
    00:00
    YATSI
    00:00
  • 0.0
  • 0.0
  • 0.0
7
Yeniakit Publisher
İlk kez görüntülendi! Korona neden ağrı yapıyor
2020-12-03 13:00:29

İlk kez görüntülendi! Korona neden ağrı yapıyor

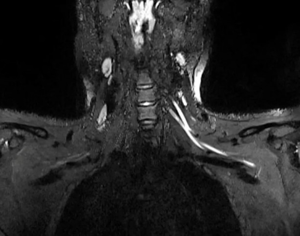
Bilim insanları yeni tip koronavirüs (Covid-19) hastalarında görülen yorgunluk ve ağrının sebebini ilk kez ortaya koydu. ABD’de yer alan Northwestern Üniversitesi’nden araştırmacılar MRI ve ultrason tekniklerini birleştirerek, geleneksel yöntemlerle tespit edilemeyen Covid-19'un sinir sisteminde yarattığı hasarı kanıtladı. Geliştirilen yeni teknolojinin doktorlara, hastaları için uygun tedavi yöntemini belirlemesini sağlayarak hayat kurtarabileceği belirtildi.

#1
Foto - İlk kez görüntülendi! Korona neden ağrı yapıyor

Yeni tip koronavirüs (Covid-19) nedeniyle ortaya çıkan semptomların sekiz hafta ya da daha uzun sürmesiyle, “uzun süreli Covid” ortaya çıkıyor. Daha önce yapılan çalışmalar, Covid-19 yakalanan her yedi kişiden biri en az dört hafta, her 20 kişiden biri en az sekiz hafta, her 45 kişiden birinin ise en az 12 hafta boyunca uzun süreli Covid-19 ile mücadele ettiğini ortaya koydu. Bununla birlikte, uzun süreli Covid-19’un etkileri kişiler arasında farklılık gösteriyor. Ancak, en yaygın görülen semptomlar arasında yorgunluk ve vücut ağrısı bulunuyor.

#2
Foto - İlk kez görüntülendi! Korona neden ağrı yapıyor

DAHA ÖNCE NEDENİ AÇIKLANAMAMIŞTI Doktorlar, daha önce hastanede tedavi edilen Covid-19 hastalarının yüz üstü yatırıldığı için kollarında, bacaklarında ya da ellerinde kronik ağrılar görülebileceğini belirtmişti ancak hastanede yatmayan Covid-19 hastalarında haftalar süren ağrının kaynağını tespit edememişti.

#3
Foto - İlk kez görüntülendi! Korona neden ağrı yapıyor

Radiology dergisinde yayımlanan çalışmanın başyazarı Doktorlar Ağrı boynunuzdaki, dirseğinizdeki veya bileğinizdeki sorunlardan kaynaklanıyor olabilir ve bunu anlamanın en iyi yolu MRI veya ultrasondur. Yaptığımız çalışmayla çok küçük sinirleri bile gösteren gelişmiş görüntüleme sunuyoruz. Bu da sorunun nerede olduğunu tespit etmemize, ciddiyetini değerlendirmemize ve buna neyin neden olabileceğini önermemize yardımcı olabilir.

#4
Foto - İlk kez görüntülendi! Korona neden ağrı yapıyor

KORONA SİNİR SİSTEMİNDE ŞİDDETLİ İLTİHAPLANMAYA NEDEN OLABİLİR Bununla birlikte Doktor Deshmukh, koronavirüsün aşırı bağışıklık tepkisini tetiklemesinden dolayı, vücut tarafından üretilen antikorların sadece enfekte hücrelere değil, sağlıklı dokulara da saldırmaya zorlayarak ciddi semptomlara neden olduğunu söyledi. Bilim insanı, olayın ardından sinir sisteminde de şiddetli iltihaplanma görülebileceğini açıkladı.

#5
Foto - İlk kez görüntülendi! Korona neden ağrı yapıyor

Ciddi Covid-19 vakalarında vücudun bağışıklık tepkisinin akciğerlere saldırmasına benzer bir şekilde, bazı hastaların bağışıklık tepkisi sinir sistemini etkileyeceğinden de bahsetti.

#6
Foto - İlk kez görüntülendi! Korona neden ağrı yapıyor

DOKTORLARIN UYGUN TEDAVİ İÇİN KARAR VERMESİNİ KOLAYLAŞTIRACAK Öte yandan, çalışmanın yazarları gelişmiş ultrason teknolojisinin kolay taşınabilir ve ucuz olduğunu, ayrıca sinir hasarını tespit etmede tomografiden daha iyi olduğunu ifade etti. Araştırmacılar, taramaların doktorların hastaları bir rehabilitasyon uzmanına mı yoksa daha ciddi durumlarda bir cerraha mı sevk edeceklerine dair karar vermelerine yardımcı olacağını aktararak, “Eğer görüntüleme enflamatuar bir tepkiye bağlı sinir hasarı bulursa, hastaya bir nöroloğa görünerek daha iyi hizmet edilebilir. Görüntüleme, hematomdan kaynaklanan sinir hasarını ortaya çıkarırsa, kan sulandırıcı ilaçların derhal ayarlanması gerekir ve hatta hastanın bir cerrahı görmesi gerekebilir” açıklamasını yaptı.

x

WhatsApp İhbar Hattı

+90 (553) 313 94 23