• İSTANBUL
  • İMSAK
    00:00
    GÜNEŞ
    00:00
    ÖĞLE
    00:00
    İKİNDİ
    00:00
    AKŞAM
    00:00
    YATSI
    00:00
  • 0.0
  • 0.0
  • 0.0
38
Yeniakit Publisher
Dünyanın başındaki yeni bela! Kawasaki hastalığı nedir? Belirtileri nelerdir?
2020-05-15 22:22:48

Dünyanın başındaki yeni bela! Kawasaki hastalığı nedir? Belirtileri nelerdir?

İlk kez 1967 yılında Japon çocuk hastalıkları uzmanı Dr. Tomisaku Kawasaki tarafından teşhis edilen Kawasaki hastalığı, özellikle küçük yaştaki çocuklarda görülen hastalıklardan biridir. Kawasaki sendromu olarak da adlandırılan bu hastalık çocuklarda nadir görülse de önemli sonuçlar doğurabilmektedir. Tedavi edilmediğinde ciddi kalp rahatsızlıklarına yol açan Kawasaki hastalığında erken teşhis ve uygun tedavi yöntemleri ile çocuklar normal seyrinde büyüyüp gelişebilmektedir.

#1
Foto - Dünyanın başındaki yeni bela! Kawasaki hastalığı nedir? Belirtileri nelerdir?

Kawasaki Hastalığı Nedir? - Kawasaki; genel olarak kalbi besleyen koroner atardamarlar başta olmak üzere orta büyüklükteki damarlarda genişlemelere ve vaskülit olarak da bilinen damar çeperlerinde iltihaplanmalara neden olabilen bir hastalıktır.

#2
Foto - Dünyanın başındaki yeni bela! Kawasaki hastalığı nedir? Belirtileri nelerdir?

Japonya başta olmak üzere tüm dünyada yaygın olarak görülen bu hastalık çoğunlukla 5 yaşın altındaki küçük çocuklarda görülmektedir.

#3
Foto - Dünyanın başındaki yeni bela! Kawasaki hastalığı nedir? Belirtileri nelerdir?

Hastalık, nadiren de olsa 3 aydan küçük ve 5 yaşından büyük çocuklarda da ortaya çıkabilmektedir.

#4
Foto - Dünyanın başındaki yeni bela! Kawasaki hastalığı nedir? Belirtileri nelerdir?

Hastalığa yılın her döneminde rastlansa da kış ve ilk bahar döneminde daha fazla vaka bildirilmektedir.

#5
Foto - Dünyanın başındaki yeni bela! Kawasaki hastalığı nedir? Belirtileri nelerdir?

İstatistiklere göre erkek çocuklarda daha fazla görülen hastalığın nedeni ise tam olarak bilinememektedir.

#6
Foto - Dünyanın başındaki yeni bela! Kawasaki hastalığı nedir? Belirtileri nelerdir?

Enfeksiyonlara maruz kalmanın önemli neden olarak görüldüğü hastalıkta genetik yatkınlık da etkilidir. Özellikle virüs ve bakterilerin kan damarlarının iltihaplanmasında önemli bir role sahip olduğu düşünülmektedir. Bu anlamda, Kawasaki virüs ve bakteriler tarafından tetiklenebilmektedir.

#7
Foto - Dünyanın başındaki yeni bela! Kawasaki hastalığı nedir? Belirtileri nelerdir?

Nedeninin bazı faktörlerle ilişkisi bilinse de Kawasaki önlenebilir bir hastalık değildir. Belirtilen faktörlerin hastalığa neden olabileceği öngörülememektedir. Hastalık nadir de olsa tekrarlayabilir.

#8
Foto - Dünyanın başındaki yeni bela! Kawasaki hastalığı nedir? Belirtileri nelerdir?

Kawasaki Hastalığı Belirtileri - Kawasaki hastalığı hızlı ilerleyen yakınmalar ile ortalama 2 hafta içinde istemeyen sonuçlar doğurabilir. Tüm belirtileri her çocukta ortaya çıkmayabilir.

#9
Foto - Dünyanın başındaki yeni bela! Kawasaki hastalığı nedir? Belirtileri nelerdir?

Özellikle hastalığın ilerleyen aşamasında görülen kalp komplikasyonları tedavi gören çocukların çok azında ortaya çıkmaktadır. Bir yaşından küçük çocuklarda ise semptomların belli belirsiz olması nedeniyle teşhis konulması zorlaşmaktadır. Bu durumda, tanı ve tedavi gecikmekte ve kalp damarlarında genişleme (anevrizma) daha sık görülebilmektedir.

#10
Foto - Dünyanın başındaki yeni bela! Kawasaki hastalığı nedir? Belirtileri nelerdir?

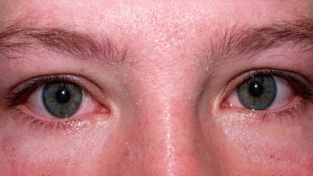
Üç aşamada ilerleyen hastalığın ilk evresi yüksek ateşle karakterizedir. İlk 3 günlük dönemde 39°C’nin üzerinde seyreden yüksek ateşin yanı sıra; Boğaz, ağız kenarında ve dudaklarda tahriş ve kızarmalar, Gözlerde kızarıklık, Gövde, kasık ve bacak derilerinde döküntü, kızarıklık ve soyulmalar, Lenf bezlerinde büyüme, Normalden daha kırmızı ve şiş dil, El ve ayaklarda kızarıklık ve şişlikler görülmektedir.

#11
Foto - Dünyanın başındaki yeni bela! Kawasaki hastalığı nedir? Belirtileri nelerdir?

Bu belirtilerin yanı sıra bebeklik döneminde verem aşısı (BCG) uygulanmış çocukların bazılarında aşı bölgesinde kızarmalar da görülmektedir.

#12
Foto - Dünyanın başındaki yeni bela! Kawasaki hastalığı nedir? Belirtileri nelerdir?

Semptomların ortaya çıktığı ilk 3-5 gün çocuklar oldukça huzursuz olur. Yüksek ateşin bu süre boyunca düşmediği çocukların tedavi altına alınması gerekmektedir.

#13
Foto - Dünyanın başındaki yeni bela! Kawasaki hastalığı nedir? Belirtileri nelerdir?

Bu dönemin ardından ise şu belirtiler gözlemlenmektedir: İshal ve kusma, Baş ve karın ağrısı, Eklem yerlerinde şişlikler ve ağrı, El ve ayak parmak uçlarında soyulmalar.

#14
Foto - Dünyanın başındaki yeni bela! Kawasaki hastalığı nedir? Belirtileri nelerdir?

Hastalığın son aşamasında ise belirtiler ortadan kalkabilmektedir. Bununla birlikte tedavi uygulanmadığı takdirde çocuklarda kalp komplikasyonları görülebilmektedir. Bu komplikasyonlar hastalığın en önemli ve ciddi semptomlarıdır. Kalpte aritmiler ve çeşitli katmanlarda iltihaplanmalar görülebilse de hastalığın yarattığı en büyük hasar kalp damarlarında genişlemedir (koroner anevrizma).

#15
Foto - Dünyanın başındaki yeni bela! Kawasaki hastalığı nedir? Belirtileri nelerdir?

Kawasaki Hastalığı ve Coronavirüs İlişkisi - Tüm dünyada karantina uygulamalarına neden olan hastalık Coronavirüs nedir sorusunu da beraberinde getirmektedir. Çin’in Wuhan kentinde 2019 Aralık ayında ortaya çıkan ve kısa sürede farklı ülkeleri de etkisi altına alan Coronavirüs, bulaşıcı bir solunum yolu hastalığıdır. Bir virüs grubu olan Coronavirüsün farklı alt tipleri bulunmaktadır. 2003 yılında ortaya çıkan SARS ve 2012 yılında görülen MERS Coronavirüs grubu içinde yer alan virüslerdir. Çin’de tüketilen egzotik hayvanlar nedeniyle oluştuğu düşünülen virüs ise Yeni Coronavirüs ya da Covid-19 olarak adlandırılmaktadır.

#16
Foto - Dünyanın başındaki yeni bela! Kawasaki hastalığı nedir? Belirtileri nelerdir?

Yeni Coronavirüs vakalarının en çok görüldüğü ülkeler arasında İtalya, İngiltere ve Amerika bulunmaktadır. Özellikle Kuzey İtalya ve İngiltere’nin bazı bölgelerinde, bu dönemde Kawasaki hastalığının bazı bulguları ile gelen çocuk hasta sayısında artış olduğu bildirilmiştir.

#17
Foto - Dünyanın başındaki yeni bela! Kawasaki hastalığı nedir? Belirtileri nelerdir?

Çocuklarda görülen bulgular arasında yüksek ateş ve koroner arter anevrizması bulunmaktadır.

#18
Foto - Dünyanın başındaki yeni bela! Kawasaki hastalığı nedir? Belirtileri nelerdir?

Özellikle 9 yaşından küçük çocuklarda bu semptomların artış göstermesi Yeni Coronavirüs ve Kawasaki hastalığı arasında bir ilişkinin olduğundan şüphelenilmesine neden olmuştur.

#19
Foto - Dünyanın başındaki yeni bela! Kawasaki hastalığı nedir? Belirtileri nelerdir?

Dünya Sağlık Örgütü (WHO) ve İngiliz Ulusal Sağlık Ajansı’nın (NHS) da gündeminde olan Kawasaki hastalığı ve Coronavirüs ilişkisine dair araştırmalar devam etmektedir.

#20
Foto - Dünyanın başındaki yeni bela! Kawasaki hastalığı nedir? Belirtileri nelerdir?

Kawasaki Hastalığı Bulaşıcı mı? - Özellikle son zamanlarda hastalığın Coronavirüs ile ilişkili olabileceğinin düşünülmesi üzerine çoğu kişi Kawasaki sendromu nedir şeklinde araştırma yapmaktadır. Hastalığın tanımı, belirtileri ve tedavi yöntemleri hakkındaki bilgiler Kawasaki bulaşıcı mıdır sorusunu da beraberinde getirmektedir.

#21
Foto - Dünyanın başındaki yeni bela! Kawasaki hastalığı nedir? Belirtileri nelerdir?

Kawasaki hastalığı bulaşıcı bir hastalık değildir. Özellikle 5 yaşından küçük çocukların toplu olarak bulunduğu ana sınıfı ya da kreş gibi kurumlarda da hastalığın yayılma olasılığı bulunmamaktadır.

#22
Foto - Dünyanın başındaki yeni bela! Kawasaki hastalığı nedir? Belirtileri nelerdir?

Kawasaki Hastalığı Nasıl Tedavi Edilir? - Kawasaki tanısı konabilmesi için çocuklarda ortaya çıkan semptomların gözlemlenmesi gerekmektedir. Tanı, yalnızca uzman doktor tarafından klinik bulgulara bağlı olarak konabilir. Özellikle hastalığın ilk aşamasında görülen bir kaç gündür devam eden yüksek ateşe eşlik eden, gözlerde kızarıklık, deride döküntü, boyun lenf bezlerinin büyümesi, ağız kenarı ve boğazda tahriş ile kol ve bacaklarda kızarıklık, şişlik ve soyulmalar tanı sırasında hekimlerin üzerinde durduğu semptomlardır. Bu beş belirtiden dördünün görüldüğü çocuklara Kawasaki hastalığı teşhisi konmaktadır.

#23
Foto - Dünyanın başındaki yeni bela! Kawasaki hastalığı nedir? Belirtileri nelerdir?

Bu klinik belirtilerin dışında hastalığı kesin olarak teşhis edecek bir test bulunmamakla birlikte, bazı testlerden yararlanılmaktadır. CRP ve sedimantasyon düzeyinin normalin üstünde seyretmesi, lökosit sayısında ve karaciğer enzim düzeyinde anormal artış, kansızlık ve trombosit sayısında yükselme gibi bulgular laboratuvar testleri ile ölçülerek tanıda hekimlere yardımcı olmaktadır.

#24
Foto - Dünyanın başındaki yeni bela! Kawasaki hastalığı nedir? Belirtileri nelerdir?

Kawasaki hastalığının tedavisi tanının ardından hemen başlatılmaktadır. Çoğu vakada semptomlar kendiliğinden düzelse de bazı hastalarda tıbbi tedaviye geçilmemesi ciddi sonuçlar doğurabilmektedir.

#25
Foto - Dünyanın başındaki yeni bela! Kawasaki hastalığı nedir? Belirtileri nelerdir?

Hızlı ilerleyen hastalıkta erken tedavi başlanmadığında kalp komplikasyonları görülebilme ihtimali yüksektir. Genellikle sağlık kurumlarında kalple ilgili sorunların görülme olasılığına karşın çocuklar gözetim ve tedavi altında tutulmaktadır.

#26
Foto - Dünyanın başındaki yeni bela! Kawasaki hastalığı nedir? Belirtileri nelerdir?

Hastalığın tedavisinde öncelikle aspirin ve yüksek dozda intravenöz immünoglobülin uygulanmaktadır.

#27
Foto - Dünyanın başındaki yeni bela! Kawasaki hastalığı nedir? Belirtileri nelerdir?

Antikor olarak da bilinen intravenöz immünoglobülin, insan kanının sıvı bölgesinden elde edilen saf plazma anlamına gelmektedir.

#28
Foto - Dünyanın başındaki yeni bela! Kawasaki hastalığı nedir? Belirtileri nelerdir?

Aspirin ve özellikle enfeksiyon tedavilerinde sıklıkla kullanılan intravenöz immünoglobülin birlikte uygulanarak iltihapların ve hastalığın hızlı ilerleme gösteren belirtilerinin azaltılması amaçlanmaktadır.

#29
Foto - Dünyanın başındaki yeni bela! Kawasaki hastalığı nedir? Belirtileri nelerdir?

Aynı zamanda, hastalığın son evresinde görülen koroner damar genişlemesinin ortaya çıkma olasılığını en aza düşürmek amacıyla da bu tedavi yöntemi uygulanmaktadır.

#30
Foto - Dünyanın başındaki yeni bela! Kawasaki hastalığı nedir? Belirtileri nelerdir?

Çoğu hasta için bu tedavinin uygulanması yeterli olmaktadır. Bununla birlikte, bazı çocukların intravenöz immünoglobülin tedavisine yanıt vermemesi nedeniyle alternatif tedavi yöntemlerine geçilmektedir. Damar içi kortikosteroid verilmesi bu yöntemlerden biridir.

#31
Foto - Dünyanın başındaki yeni bela! Kawasaki hastalığı nedir? Belirtileri nelerdir?

Özellikle koroner arter anevrizmalarında kortikosteroid sıklıkla uygulanmaktadır.

#32
Foto - Dünyanın başındaki yeni bela! Kawasaki hastalığı nedir? Belirtileri nelerdir?

Halk arasında kortizon olarak da bilinen bu tedavi yöntemi iltihapların azaltılmasına yardımcı olmaktadır.

#33
Foto - Dünyanın başındaki yeni bela! Kawasaki hastalığı nedir? Belirtileri nelerdir?

Tedavi başladıktan 24 ila 48 saat sonrasında çoğu hastada yüksek ateş gerilemektedir. Bu noktada hastalara uygulanan aspirinin dozu azaltılmaktadır.

#34
Foto - Dünyanın başındaki yeni bela! Kawasaki hastalığı nedir? Belirtileri nelerdir?

Tedavi sırasında düşük dozda da olsa aspirin verilmeye devam edilmesinin en önemli nedenlerinden biri iltihap görülen koroner arterde kan pıhtısı oluşumunun önüne geçmektir. Kalp damarlarındaki genişlemenin gerilemesi sonrası ilaç tedavisine son verilmektedir.

#35
Foto - Dünyanın başındaki yeni bela! Kawasaki hastalığı nedir? Belirtileri nelerdir?

İntravenöz immünoglobülin ve aspirin Kawasaki hastalığında etkin bir tedavi yöntemi olmasına rağmen uygulamanın bazı yan etkileri bulunmaktadır.

#36
Foto - Dünyanın başındaki yeni bela! Kawasaki hastalığı nedir? Belirtileri nelerdir?

Bazı hastalarda alerjik reaksiyonlar, baş ve kas ağrıları ile çok nadiren de olsa beyin zarı iltihabı görülebilmektedir. Aynı zamanda, intravenöz immunglobulin tedavisinin ardından çocukluk çağının rutin uygulanan aşılarının ertelenmesi gereklidir.

#37
Foto - Dünyanın başındaki yeni bela! Kawasaki hastalığı nedir? Belirtileri nelerdir?

Kawasaki Hastalığı Tekrarlar mı? - Nedeni tam olarak bilinemeyen fakat bazı faktörlere bağlı olarak ortaya çıktığı düşünülen Kawasaki hastalığı nadir de olsa tekrarlayabilmektedir. Bazı vakalarda uygun tedavi sonrası hastalık tam olarak iyileşse de ikinci bir atak görülebilmektedir.

x

WhatsApp İhbar Hattı

+90 (553) 313 94 23