• İSTANBUL
  • İMSAK
    00:00
    GÜNEŞ
    00:00
    ÖĞLE
    00:00
    İKİNDİ
    00:00
    AKŞAM
    00:00
    YATSI
    00:00
  • 0.0
  • 0.0
  • 0.0
11
Yeniakit Publisher
Diş rengi sağlık hakkında ipuçları veriyor! O zıkkımdan uzak durmalısınız! Ayrıntılara dikkat
Selma Savcı Giriş Tarihi:

Diş rengi sağlık hakkında ipuçları veriyor! O zıkkımdan uzak durmalısınız! Ayrıntılara dikkat

Diş sağlığınızı hala önemsemiyorsanız, bu haberimiz size bu kararınızdan vazgeçirecek hamleleri yapacağınızı gösterecek. Özellikle içkinin dişleri ne hale getirdiğini ise uzmanlar özellikle uyarıyor.

#1
Foto - Diş rengi sağlık hakkında ipuçları veriyor! O zıkkımdan uzak durmalısınız! Ayrıntılara dikkat

Gülüşün sağlık hakkında da ipuçları verdiğini belirten uzmanlar, dişlerdeki renklenmelerin genetikten beslenmeye, yaşam alışkanlıklarından sistemik hastalıklara kadar pek çok nedenin göstergesi olabileceğini söylüyor.

#2
Foto - Diş rengi sağlık hakkında ipuçları veriyor! O zıkkımdan uzak durmalısınız! Ayrıntılara dikkat

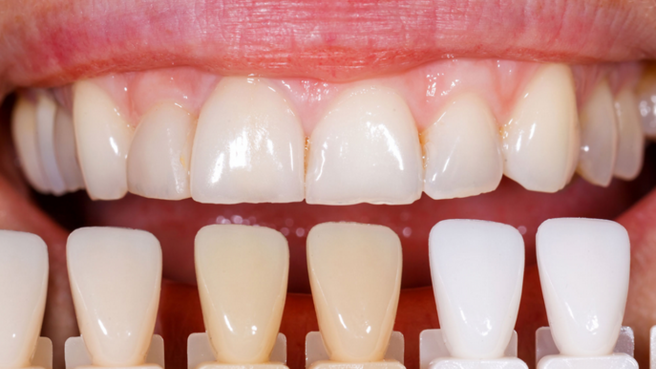
Dişlerin tamamen bembeyaz olmamasının doğal bir durum olduğuna dikkat çeken Restoratif Diş Tedavisi Anabilim Dalı Başkanı Dr. Öğr. Üyesi Özge Mimir, “Çünkü dişin alt tabakasındaki dentin sarıya çalan bir ton taşır. Dolayısıyla bembeyaz dişler tek başına ‘sağlıklıyım’ anlamına gelmez.” dedi. Dış etkenlerin zamanla sararmaya yol açarken, bazı antibiyotikler ya da metabolik hastalıkların farklı renklenmelere neden olabileceğini ifade eden Mimir, tek bir dişte gri veya siyahlaşmanın ise diş sinirinin öldüğünün habercisi olduğunu ve acil tedavi gerektirdiğini vurguladı.

#3
Foto - Diş rengi sağlık hakkında ipuçları veriyor! O zıkkımdan uzak durmalısınız! Ayrıntılara dikkat

Üsküdar Üniversitesi Diş Hekimliği Fakültesi Restoratif Diş Tedavisi Anabilim Dalı Başkanı Dr. Öğr. Üyesi Özge Mimir, diş rengindeki değişimlerin nedenleri ve bu değişimlerin hem estetik hem de sağlık açısından önemli ipuçları taşıdığını anlatıyor.

#4
Foto - Diş rengi sağlık hakkında ipuçları veriyor! O zıkkımdan uzak durmalısınız! Ayrıntılara dikkat

Gülüşün sadece estetik değil, aynı zamanda sağlık hakkında da ipuçları verdiğini aktaran Dr. Öğr. Üyesi Özge Mimir, “Diş rengindeki değişimler genetikten beslenmeye, yaşam alışkanlıklarından sistemik hastalıklara kadar pek çok nedenin göstergesi olabilir.” dedi.

#5
Foto - Diş rengi sağlık hakkında ipuçları veriyor! O zıkkımdan uzak durmalısınız! Ayrıntılara dikkat

Bembeyaz dişlerin, çoğu zaman profesyonel beyazlatma veya porsalen/kompozit laminalar gibi yapay uygulamaların sonucunda oluştuğunu aktaran Mimir, “Doğal dişler aslında hafif sarımtırak renklidir. Çünkü dişin alt tabakasındaki dentin sarıya çalan bir ton taşır. Dolayısıyla bembeyaz dişler tek başına ‘sağlıklıyım’ anlamına gelmez.” şeklinde konuştu.

#6
Foto - Diş rengi sağlık hakkında ipuçları veriyor! O zıkkımdan uzak durmalısınız! Ayrıntılara dikkat

Genetik olarak dişin en dış katmanını oluşturan mine tabakasının ince olduğu bireylerde sarı tonun daha belirgin olabileceğini ifade eden Dr. Öğr. Üyesi Özge Mimir, “Kahve, çay, içki türleri, tütün gibi dış etkenler de dişleri zamanla sarartır. Yaş ilerledikçe dentin koyulaştığı için dişler doğal olarak sararabilir.” dedi.

#7
Foto - Diş rengi sağlık hakkında ipuçları veriyor! O zıkkımdan uzak durmalısınız! Ayrıntılara dikkat

“Sigara ve tütün ürünleri en sık kahverengi leke sebebidir. Ayrıca yeterli fırçalanmayan dişlerde plak ve diş taşı birikimi de kahverengi görüntüye yol açar. Bazı ağız gargaraları (klorheksidin gibi) uzun süre kullanıldığında da kahverengi lekelenme yapabilir. Tek bir dişin gri veya siyahlaşması, genellikle o dişin sinirinin yani canlı dokusunun öldüğüne işaret eder. Çürükler de siyaha yakın renklenmeler yapabilir. Amalgam dolgular da dişe gri-siyah yansıma verebilir. Çocuklukta fazla flor alımı sonucu minede beyaz-kireç görünümlü lekeler oluşabilir (fluorozis). Yetersiz fırçalama sonucu başlayan çürüğün ilk belirtisi de beyaz mat lekeler olabilir. Nadir de olsa bazı metabolik hastalıklar dişlere farklı renkler verebilir. Safra pigmentleri yeşilimsi renk; porfirin bozuklukları kırmızı-kahverengi ton ve bazı antibiyotikler (tetrasiklin) sarı-yeşil ya da kahverengi renklenmelere neden olabilir.”

#8
Foto - Diş rengi sağlık hakkında ipuçları veriyor! O zıkkımdan uzak durmalısınız! Ayrıntılara dikkat

Düzenli fırçalama, diş ipi ve profesyonel temizliğin diş lekeleri önlemenin en etkili yolu olduğunu vurgulayan Dr. Öğr. Üyesi Özge Mimir, “Çoğunlukla bu lekelenmeler profesyonel temizliğin ardından giderilir.” dedi.

#9
Foto - Diş rengi sağlık hakkında ipuçları veriyor! O zıkkımdan uzak durmalısınız! Ayrıntılara dikkat

Ani renk değişikliklerinde, tek bir dişte koyulaşma veya alışılmadık renklerin ortaya çıkması halinde vakit kaybetmeden diş hekimine başvurmak gerektiğinin altını çizen Mimir, “Bu dişlerdeki canlı dokuların ölmesi anlamına geliyor olabilir.

#10
Foto - Diş rengi sağlık hakkında ipuçları veriyor! O zıkkımdan uzak durmalısınız! Ayrıntılara dikkat

Kanal tedavisi ya da çürük oluşumu dolayısıyla dolgu uygulamaları yapılması gerekebilir. Beyazlatma işlemleri yalnızca diş hekiminin kontrolünde yapılmalı. Aksi durumlarda dişlerde hassasiyet ve daha fazla lekelenme oluşumuna sebep olabilecek zararlara sebep olunabilir.” diyerek sözlerini tamamladı.

Haberle ilgili yorum yapmak için tıklayın.
x

WhatsApp İhbar Hattı

+90 (553) 313 94 23