• İSTANBUL
  • İMSAK
    00:00
    GÜNEŞ
    00:00
    ÖĞLE
    00:00
    İKİNDİ
    00:00
    AKŞAM
    00:00
    YATSI
    00:00
  • 0.0
  • 0.0
  • 0.0
16
Yeniakit Publisher
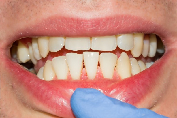
Diş eti sorunlarını ihmal etmeyin! Daha ciddi problemlerin habercisi olabilir
2022-10-27 19:58:02

Diş eti sorunlarını ihmal etmeyin! Daha ciddi problemlerin habercisi olabilir

Diş eti sorunu normalde sadece diş hastalıklarının belirtisi olarak düşünülür ancak birçok farklı hastalığın belirtisi olabilir.

#1
Foto - Diş eti sorunlarını ihmal etmeyin! Daha ciddi problemlerin habercisi olabilir

Diş eti hastalıkları, dünya çapında insanların yüzde 20 ila 50'sini etkileyen en yaygın kronik sağlık sorunlarından biridir. Plak ve tartar birikimi nedeniyle diş etleri iltihaplanabilir ve bunun en büyk belirtilerinden biri fırçalarken kanamadır.

#2
Foto - Diş eti sorunlarını ihmal etmeyin! Daha ciddi problemlerin habercisi olabilir

Erken evrelerde bu durum genellikle kolayca tersine çevrilebilir, ancak bazı insanlar, tedavisi zor ve sıklıkla diş kaybına yol açabilen kronik, yıkıcı bir diş eti hastalığı formu geliştirir.

#3
Foto - Diş eti sorunlarını ihmal etmeyin! Daha ciddi problemlerin habercisi olabilir

Diş eti hastalıklarının farklı ciddi sağlık sorunlarını geliştirme riskini artırabileceğine dair artan kanıtlar vardır.

#4
Foto - Diş eti sorunlarını ihmal etmeyin! Daha ciddi problemlerin habercisi olabilir

Alzheimer hastalığı Araştırmalar, orta ila şiddetli diş eti hastalığı ile zihinsel gerileme ile demans arasında bir ilişki olabileceği sonucuna varmıştır.

#5
Foto - Diş eti sorunlarını ihmal etmeyin! Daha ciddi problemlerin habercisi olabilir

Çeşitli çalışmalar, 10 yıl boyunca kronik diş eti hastalığı yaşayan kişilerin, sağlıklı diş etlerine sahip kişilere kıyasla Alzheimer hastalığına yakalanma riskinin yüzde 70 daha fazla olduğunu göstermiştir.

#6
Foto - Diş eti sorunlarını ihmal etmeyin! Daha ciddi problemlerin habercisi olabilir

Araştırmalar, diş eti hastalığının Alzheimer hastalığına eşlik edebilecek uzun vadede bilişsel gerileme oranını 6 kat artırabileceği sonucuna varmıştır.

#7
Foto - Diş eti sorunlarını ihmal etmeyin! Daha ciddi problemlerin habercisi olabilir

Alzheimer hastalığından ölen bir hastanın beyninde sıklıkla diş eti hastalığını tetikleyen bir bakteri olan Porphyromonas gingivalis'in tanımlanmasından sonra, bakterilerin bundan doğrudan sorumlu olduğuna inanılıyordu.

#8
Foto - Diş eti sorunlarını ihmal etmeyin! Daha ciddi problemlerin habercisi olabilir

Ayrıca diş eti iltihabını da teşvik edebilen toksik enzimler (gingipain adı verilen) bulunmuştur.

#9
Foto - Diş eti sorunlarını ihmal etmeyin! Daha ciddi problemlerin habercisi olabilir

Bu nedenle, yalnızca tek bir bakterinin değil, ağız hijyeninin tamamının zihinsel bozulmanın derecesini etkilediği düşünülüyor.

#10
Foto - Diş eti sorunlarını ihmal etmeyin! Daha ciddi problemlerin habercisi olabilir

Kalp ve damar hastalıkları Bazı kalp ve damar hastalıkları da diş eti hastalıklarıyla bağlantılıdır. 1600'den fazla kişiyle yapılan kapsamlı bir araştırma, kronik diş eti hastalığının kalp krizi riskini neredeyse yüzde 30 artırabildiğini bulmuştur.

#11
Foto - Diş eti sorunlarını ihmal etmeyin! Daha ciddi problemlerin habercisi olabilir

Bu ilişki, araştırmacıların kalp krizi riskini artırdığı bilinen diğer hastalıkları (diyabet ve astım gibi) veya yaşam tarzı faktörlerini (sigara, eğitim, ilişki durumu ve sağlık hizmetlerine erişim gibi) ekarte ettikten sonra bile gözlemlenmiştir.

#12
Foto - Diş eti sorunlarını ihmal etmeyin! Daha ciddi problemlerin habercisi olabilir

Tip 2 diyabet Diş eti hastalıkları, tip 2 diyabetin bilinen bir komplikasyonudur, ancak daha az insan, kronik diş eti hastalığının kendisinin diyabet geliştirme riskini artırabileceğini biliyor.

#13
Foto - Diş eti sorunlarını ihmal etmeyin! Daha ciddi problemlerin habercisi olabilir

İki hastalığı birbirine bağlayan süreçler birçok araştırma tarafından incelenmiştir ve her iki hastalığın da vücutta iltihaplanmaya neden olması muhtemeldir. Bu da diğerinin gelişimini etkileyebilir. Örneğin, tip 2 diyabetin diş eti iltihabını artırarak diş eti hastalığı riskini arttırdığı bulunmuştur. Bununla birlikte, diş eti hastalığının, bozulmuş insülin salınımı ve insülin direncinin gelişmesine katkıda bulunduğu gösterilmiştir. Her ikisi de tip 2 diyabeti kötüleştirebilir. Ek olarak, birkaç klinik çalışma yoğun diş temizliğinin şeker hastalarında kan şekeri seviyelerini birkaç ay boyunca iyileştirebileceğini göstermiştir. Bu aynı zamanda iki hastalık arasındaki bağlantıyı da kanıtlıyor.

#14
Foto - Diş eti sorunlarını ihmal etmeyin! Daha ciddi problemlerin habercisi olabilir

Tümörler Diş eti hastalıklarının belirli tümörlerin gelişimine de katkıda bulunduğu görülmektedir. Diş eti hastalığı öyküsü olan hastaların özofagus kanseri geliştirme riskinin yüzde 43 ve mide kanseri geliştirme riskinin yüzde 52 daha fazla olduğunu bulmuşlardır.

#15
Foto - Diş eti sorunlarını ihmal etmeyin! Daha ciddi problemlerin habercisi olabilir

Diğer araştırmalar, ayrıca kronik diş eti hastalığı olan kişilerin herhangi bir kanser türüne yakalanma riskinin yüzde 14 ila 20 daha yüksek olduğunu bildirmiştir. Aynı çalışma, düzenli olarak diş eti hastalığı ile mücadele edenlerde pankreas kanseri riskinin yüzde 54 daha yüksek olduğunu da göstermiştir.

x

WhatsApp İhbar Hattı

+90 (553) 313 94 23