• İSTANBUL
  • İMSAK
    00:00
    GÜNEŞ
    00:00
    ÖĞLE
    00:00
    İKİNDİ
    00:00
    AKŞAM
    00:00
    YATSI
    00:00
  • 0.0
  • 0.0
  • 0.0
10
Yeniakit Publisher
Diş eti kanamalarına son: Doğal ilacı çıktı! Diş etlerine bal sürmek dişçiden kurtarıyor...
Selma Savcı Giriş Tarihi:

Diş eti kanamalarına son: Doğal ilacı çıktı! Diş etlerine bal sürmek dişçiden kurtarıyor...

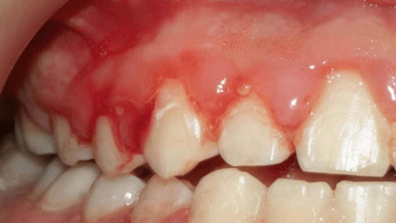
Diş eti rahatsızlıkları her daim ailemizin fertlerinde oluşabilen rahatsızlıklardan biridir.

#1
Foto - Diş eti kanamalarına son: Doğal ilacı çıktı! Diş etlerine bal sürmek dişçiden kurtarıyor...

Diş ve diş eti sorunlarına doğal bir çözüm olarak öne çıkan bal, yara ve ağrıyı iyileştirmede etkili oluyor. Bal, antibakteriyel özelliği sayesinde evde çözüme yardımcı olabiliyor.

#2
Foto - Diş eti kanamalarına son: Doğal ilacı çıktı! Diş etlerine bal sürmek dişçiden kurtarıyor...

Özellikle diş eti kanamaları, hassasiyet, şişlik ve ağız içi yaralar günlük yaşam kalitesini ciddi şekilde etkileyebiliyor.

#3
Foto - Diş eti kanamalarına son: Doğal ilacı çıktı! Diş etlerine bal sürmek dişçiden kurtarıyor...

Pek çok kişi bu tür sorunlarda ilk olarak diş hekimine başvursa da, bazı hafif şikayetlerde evde uygulanabilecek destekleyici yöntemler de merak ediliyor.

#4
Foto - Diş eti kanamalarına son: Doğal ilacı çıktı! Diş etlerine bal sürmek dişçiden kurtarıyor...

Diş etlerinde oluşan küçük yaralar ve bakteriyel kaynaklı hassasiyetler için doğal içeriklerin koruyucu ve rahatlatıcı etkisi olduğu biliniyor.

#5
Foto - Diş eti kanamalarına son: Doğal ilacı çıktı! Diş etlerine bal sürmek dişçiden kurtarıyor...

Antibakteriyel ve iyileştirici özellikleriyle öne çıkan bal da bu yöntemler arasında dikkat çekiyor.

#6
Foto - Diş eti kanamalarına son: Doğal ilacı çıktı! Diş etlerine bal sürmek dişçiden kurtarıyor...

Bal, doğal antibakteriyel özelliklere sahiptir. Ağız içinde bakteri oluşumunu azaltmaya yardımcı olabilir ve diş eti enfeksiyonlarının hafiflemesine destek sağlayabilir.

#7
Foto - Diş eti kanamalarına son: Doğal ilacı çıktı! Diş etlerine bal sürmek dişçiden kurtarıyor...

Ağız içinde oluşan küçük yaralar, aftlar veya tahrişlerde balın iyileştirici etkisi bulunur. Dokunun daha hızlı toparlanmasına katkı sunabilir.

#8
Foto - Diş eti kanamalarına son: Doğal ilacı çıktı! Diş etlerine bal sürmek dişçiden kurtarıyor...

Balın anti-inflamatuar (iltihap karşıtı) özellikleri sayesinde diş etlerindeki şişlik ve kızarıklığın azalmasına yardımcı olabileceği düşünülmektedir.

#9
Foto - Diş eti kanamalarına son: Doğal ilacı çıktı! Diş etlerine bal sürmek dişçiden kurtarıyor...

Diş eti hassasiyetinde ve hafif ağrılarda yatıştırıcı bir etki gösterebilir. Özellikle tahriş kaynaklı sızlamalarda rahatlama sağlayabilir.

Haberle ilgili yorum yapmak için tıklayın.
x

WhatsApp İhbar Hattı

+90 (553) 313 94 23