• İSTANBUL
  • İMSAK
    00:00
    GÜNEŞ
    00:00
    ÖĞLE
    00:00
    İKİNDİ
    00:00
    AKŞAM
    00:00
    YATSI
    00:00
  • 0.0
  • 0.0
  • 0.0
10
Yeniakit Publisher
Bu belirtiler varsa… Akciğer kanserinin 8 sinyali
2022-10-31 14:25:21

Bu belirtiler varsa… Akciğer kanserinin 8 sinyali

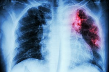
Akciğer kanseri dünyada kanser türleri arasında en sık görülen ve yine en sık ölüme neden olan kanser türü olarak ilk sırada yer alıyor. Öyle ki tüm kanser ölümlerinin yaklaşık 3’te birinden akciğer kanseri sorumlu oluyor. Dünyada her yıl yaklaşık 2,2 milyon kişi sigaranın en önemli risk faktörü olduğu akciğer kanserine yakalanıyor ve 1,6 milyon kişi de bu hastalık nedeniyle hayatını kaybediyor.

#1
Foto - Bu belirtiler varsa… Akciğer kanserinin 8 sinyali

Yeni Akit/Ankara Ülkemizde de akciğer kanseri oldukça yaygın görülüyor. 2020 yılında 40 binin üzerinde yeni akciğer tanısı konulduğu belirtiliyor. Akciğer kanseri, genellikle erken dönemlerinde fazla belirti vermemesi veya en tipik belirtisi olan öksürük geliştiğinde sigara içen kişilerin ‘sigara öksürtüyor’ düşüncesiyle hekime geç başvurmaları nedeniyle sıklıkla ileri evrede teşhis ediliyor. Tedavinin gecikmesi de hastanın hayatını kaybetmesine yol açıyor. Acıbadem Ataşehir Hastanesi Göğüs Cerrahisi Uzmanı Prof. Dr. Erdal Okur, oysa gerek cerrahi tedavide gerekse diğer tedavi yöntemlerinde yaşanan önemli gelişmeler sayesinde özellikle erken tanı konabilen ve cerrahi olarak tedavi edilebilen akciğer kanserinden tamamen kurtulmanın mümkün olabileceğini belirterek, “Hastalığın erken döneminde tanı konabilmesi için yüksek riskli olarak belirlenmiş, yoğun sigara içen veya geçmişte içmiş olan 50 yaş üzeri kişilere her yıl düşük radyasyon dozlu bilgisayarlı akciğer tomografi çekimi yapılması öneriliyor. Bu sayede henüz hiçbir belirti vermemiş erken evre akciğer kanserinin yakalanması mümkün olabiliyor” diyor. Peki hangi belirtiler akciğer kanserine işaret ediyor, ne zaman hekime başvurmak gerekiyor? Göğüs Cerrahisi Uzmanı Prof. Dr. Erdal Okur, “1-30 Kasım Dünya Akciğer Kanseri Farkındalık Ayı” kapsamında akciğer kanserinin belirtilerini anlattı; önemli uyarılarda bulundu!

#2
Foto - Bu belirtiler varsa… Akciğer kanserinin 8 sinyali

Öksürük Akciğer kanserinin ilk belirtisi genellikle öksürük oluyor. Göğüs Cerrahisi Uzmanı Prof. Dr. Erdal Okur, öksürüğün tümörün havayolunu irrite etmesi veya tıkanıklıklar yapması sonucu geliştiğini belirterek, “Kronik sigara içenlerde özellikle sabahları, bir miktar balgamın eşlik ettiği, kronik öksürük yaşanabiliyor. Ancak önceden de var olan öksürükte artma veya öksürüğün karakterinde bir değişiklik hissedildiğinde hekime başvurmak yaşamsal önem taşıyor” diyor.

#3
Foto - Bu belirtiler varsa… Akciğer kanserinin 8 sinyali

Kanlı balgam Kanlı balgam akciğer kanserinin en özgül bulgularından biridir. Akciğer kanserinde ağızdan gelen kanama; derinden öksürükle gelen ve genelde balgamla birlikte, balgam içinde bir damla veya çizgi şeklinde oluyor. “Balgamda kan görülmesi hemen hekime başvurma gerekliliğinin işaretidir” uyarısında bulunan Prof. Dr. Erdal Okur, “Bazen burun ve dişetlerinde de kanama olup ağızdan veya balgamla karışık gelebiliyor. Bu nedenle her ağızdan kan gelmesi mutlaka akciğer kanseri demek değildir. Ancak özellikle orta yaş ve üstü sigara içen kişilerin bu konuda şüpheci olmalarında yarar vardır” diyor.

#4
Foto - Bu belirtiler varsa… Akciğer kanserinin 8 sinyali

Nefes darlığı Akciğer tümörünün havayolunu tıkaması veya akciğerlerde tümöre bağlı su toplanması nedeniyle nefes darlığı gelişebiliyor. Kronik sigara içenlerde, kronik obstrüktif akciğer hastalığı (KOAH) sık görülüyor ve bu hastalar nefes darlığı sorunu yaşayabiliyor. KOAH hastalarında akciğer kanseri de geliştiği zaman nefes kapasitelerinde bir miktar daha bozulma yaşanabiliyor. Kişi daha az efor sarf ettiğinde, örneğin merdiven çıkarken veya daha kısa mesafe yürüse bile hemen yorulduğunu hissediyor. Daha önce nefes darlığı yaşamayan kişilerde de fiziksel aktiviteyle nefes darlığı sorunu başlayabiliyor. Tüm bu bulgular hekime danışmayı gerektiren akciğer kanserinin sinyali olabiliyor.

#5
Foto - Bu belirtiler varsa… Akciğer kanserinin 8 sinyali

Sık akciğer enfeksiyonu geçirmek Tümör akciğerde havayolunda tıkanıklık yapabiliyor ve bu tıkanıklığın arkasında kalan akciğer kısmında enfeksiyon gelişebiliyor. Antibiyotik ile tedavi edilip düzelse de akciğer enfeksiyonu bir süre sonra tekrarlıyor. Prof. Dr. Erdal Okur, “Dolayısıyla art arda akciğer enfeksiyonu geçiren kişi bu durumda akciğerlerinde havayolunu tıkayan bir sorun olabileceği ihtimalini düşünmeli ve mutlaka hekimine başvurmalıdır.” diyor.

#6
Foto - Bu belirtiler varsa… Akciğer kanserinin 8 sinyali

Ses kısıklığı Ses tellerine giden sinirlerden özellikle sol tarafta olanı akciğerin yakınından geçiyor ve bu sinire akciğer tümörünün kendisi veya onun neden olduğu lenf bezi büyümesi bası yaptığı zaman hastanın sesinde tamamen veya kısmi kısılma başlayabiliyor. Ses kısıklığının başka nedenleri olsa da, özellikle akciğer kanseri için risk grubundaki kişilerin bu konuda dikkatli olmaları büyük önem taşıyor.

#7
Foto - Bu belirtiler varsa… Akciğer kanserinin 8 sinyali

Göğüs, omuz ve kol ağrısı Göğüs bölgesinde ağrı akciğer tümörünün göğüs duvarına ulaşması durumunda görülüyor. Devamlı künt ve hiç kaybolmayan bir ağrı şeklinde gelişiyor. Göğüs Cerrahisi Uzmanı Prof. Dr. Erdal Okur, “Akciğerlerin en üst tepe kısımlarında gelişen tümörler ise omuz ve kol ağrısına yol açabiliyor. Dolayısıyla başka neden olmadan ve 1-2 hafta içinde düzelme göstermeyen göğüs bölgesindeki ağrı akciğer kanserinin habercisi olabiliyor.” uyarısında bulunuyor.

#8
Foto - Bu belirtiler varsa… Akciğer kanserinin 8 sinyali

Kilo kaybı, halsizlik Çoğu kanser gibi akciğer kanserinde de vücutta yıkım artıyor, hastada kansızlık (anemi) gelişiyor. Hasta yavaş yavaş kilo kaybediyor ve kendini halsiz, bitkin hissedebiliyor. Bazen iştahı azalmamış olsa da ve iyi beslense de kilo kaybı devam edebiliyor. Dolayısıyla istemsiz ve diyet yapmadan oluşan kilo kaybı vücutta herhangi bir yerde gelişen kötü huylu tümörden kaynaklanabiliyor.

#9
Foto - Bu belirtiler varsa… Akciğer kanserinin 8 sinyali

Nadir görülen diğer belirtileri Boyun bölgesinde beze büyümeleri, yutma zorluğu, kol ve bacaklarda devamlı geçmeyen ağrılar ve hırıltılı solunum gibi diğer belirtiler de aslında ileri evre akciğer kanserinden kaynaklansalar da bazen ilk sinyali olabiliyor.

x

WhatsApp İhbar Hattı

+90 (553) 313 94 23