• İSTANBUL
  • İMSAK
    00:00
    GÜNEŞ
    00:00
    ÖĞLE
    00:00
    İKİNDİ
    00:00
    AKŞAM
    00:00
    YATSI
    00:00
  • 0.0
  • 0.0
  • 0.0
24
Yeniakit Publisher
Ayağınızdaki ağrının sebebi topuk dikeni olabilir!
2017-05-16 11:23:37

Ayağınızdaki ağrının sebebi topuk dikeni olabilir!

Bütün gün ayakta duruyorsanız ve tabanı sert bir ayakkabı kullanıyorsanız topuk dikeni sorunuyla karşı karşıya kalabilirsiniz.

#1
Foto - Ayağınızdaki ağrının sebebi topuk dikeni olabilir!

Bir ayağınızda ya da her iki ayağınızda kronik bir ağrı hissediyorsanız bunun sebebi de topuk dikeni olabilir.

#2
Foto - Ayağınızdaki ağrının sebebi topuk dikeni olabilir!

Dr. Donald DeFabio, ayakta acı hissetmenin hem sinir bozucu hem de can yakıcı olduğunu söylüyor.

#3
Foto - Ayağınızdaki ağrının sebebi topuk dikeni olabilir!

Dr. Donald DeFabio, topuk dikeninden kurtulmanın kolay olduğunu şu şekilde belirterek sıralıyor:

#4
Foto - Ayağınızdaki ağrının sebebi topuk dikeni olabilir!

Topuk dikeninin ayağı aşırı bir şekilde acıtıyor, kendiliğinden geçmesi bir yılı sürüyor.

#5
Foto - Ayağınızdaki ağrının sebebi topuk dikeni olabilir!

Topuk dikeninden en çok etkilenenler atletler gibi aktif spor yapanlar ya da topuklu ayakkabı giyenler. Topuk dikenine sahip olan kişilerin yaşadığı acı, birilerinin ayaklarına neşter batırması gibi tarif ediyorlar.

#6
Foto - Ayağınızdaki ağrının sebebi topuk dikeni olabilir!

Uzun süre aynı yerde oturduktan sonra ya da sabahları kalktığınızda topuk dikenin acısını daha fazla hissedersiniz.

#7
Foto - Ayağınızdaki ağrının sebebi topuk dikeni olabilir!

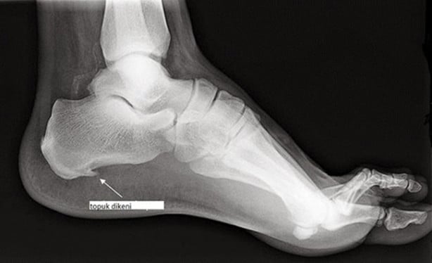
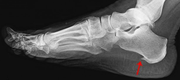
Topuk dikeni, aslında topuk kemiğinin alt kısmında diken benzeri çıntıya verilen bir isimdir.

#8
Foto - Ayağınızdaki ağrının sebebi topuk dikeni olabilir!

Dr. Donald DeFabio, topuk dikeninden kurtulmak için etkili olduğunu söylediği bir tekniği şu şekilde gösteriyor:

#9
Foto - Ayağınızdaki ağrının sebebi topuk dikeni olabilir!

- Dr. Donald, önce ağrıyan bölgeyi belirliyor.

#10
Foto - Ayağınızdaki ağrının sebebi topuk dikeni olabilir!

- Daha sonra ağrıyan bölgeye eliyle baskı yapıyor topuk bölgesini sıkıyor.

#11
Foto - Ayağınızdaki ağrının sebebi topuk dikeni olabilir!

- Ağrı kesici jeli topuğa ve topuğun üst kısmındaki bacağa sürüyor.

#12
Foto - Ayağınızdaki ağrının sebebi topuk dikeni olabilir!

- Sürdüğü jeli kalın bir metal aletle aşağı yukarı hareket ettirerek çekiyor.

#13
Foto - Ayağınızdaki ağrının sebebi topuk dikeni olabilir!

- Jeli iyice yedirene kadar bu işlemi birkaç defa yapıyor.

#14
Foto - Ayağınızdaki ağrının sebebi topuk dikeni olabilir!

- Aynı işlemi bacak tarafına aşağı yukarı şekilde hareket ettirerek jeli cilde yediriyor.

#15
Foto - Ayağınızdaki ağrının sebebi topuk dikeni olabilir!

- Bu işlemi birkaç defa hem topuğun ortasına hem de bacak tarafına uyguluyor.

#16
Foto - Ayağınızdaki ağrının sebebi topuk dikeni olabilir!

- Bir havluyla ayağını temizledikten sonra bir bandaj yardımı kullanıyor.

#17
Foto - Ayağınızdaki ağrının sebebi topuk dikeni olabilir!

- Bandajı topuk kısmından aşağı doğru resimdeki gibi sıkı bir şekilde indiriyor.

#18
Foto - Ayağınızdaki ağrının sebebi topuk dikeni olabilir!

- Resimdeki gibi bandaj tamamen bu şekilde olacak.

#19
Foto - Ayağınızdaki ağrının sebebi topuk dikeni olabilir!

- Bandajın üzerine yeniden bir bandaj kullanıyor.

#20
Foto - Ayağınızdaki ağrının sebebi topuk dikeni olabilir!

- Bandajla aynı şekilde topuğun etrafını sarıyor.

#21
Foto - Ayağınızdaki ağrının sebebi topuk dikeni olabilir!

- İkinci bandajı da iyice topuğa yapıştırıyor.

#22
Foto - Ayağınızdaki ağrının sebebi topuk dikeni olabilir!

Dr. Donald bu yöntemin amacının acıyı hafifletmek olduğunu söylüyor.

#23
Foto - Ayağınızdaki ağrının sebebi topuk dikeni olabilir!

Topuk dikeni egzersizlerinden de faydalanabilirsiniz... Kaynak:newsner

x

WhatsApp İhbar Hattı

+90 (553) 313 94 23