• İSTANBUL
  • İMSAK
    00:00
    GÜNEŞ
    00:00
    ÖĞLE
    00:00
    İKİNDİ
    00:00
    AKŞAM
    00:00
    YATSI
    00:00
  • 0.0
  • 0.0
  • 0.0
8
Yeniakit Publisher
Akıllara durgunluk veren olay: Doktorlar tümör sanıp çıkardıkları şeyi görünce şaşırdı
2024-08-02 16:47:03

Akıllara durgunluk veren olay: Doktorlar tümör sanıp çıkardıkları şeyi görünce şaşırdı

Çin'de 2 yıldır sürekli öksüren kadın, doktora gitmeye karar verdi. Yapılan incelemelerde akciğerinde bir kitlenin olduğunu gören doktorlar, dokudan parça aldı ancak yapılan testte kötü huylu tümör sanılan kitlenin acı biber parçası olduğu anlaşıldı.

#1
Foto - Akıllara durgunluk veren olay: Doktorlar tümör sanıp çıkardıkları şeyi görünce şaşırdı

GEÇMEYEN ÖKSÜRÜĞÜ İÇİN DOKTORA BAŞVURDU -

#2
Foto - Akıllara durgunluk veren olay: Doktorlar tümör sanıp çıkardıkları şeyi görünce şaşırdı

Yerel basında çıkan haberlere göre, Çin'in doğusundaki Zhejiang eyaletinde 54 yaşındaki Xu, geçmeyen öksürüğü için ilaç kullandı.

#3
Foto - Akıllara durgunluk veren olay: Doktorlar tümör sanıp çıkardıkları şeyi görünce şaşırdı

Bitkisel tedavi yollarına başvurdu. Uyguladığı yöntemlere rağmen hiçbir iyileşme belirtisi göstermeyen Xu, şikayetinin devam etmesi üzerine hastaneye gitmeye karar verdi.

#4
Foto - Akıllara durgunluk veren olay: Doktorlar tümör sanıp çıkardıkları şeyi görünce şaşırdı

TÜMOR SANDIKLARI PARÇA ACI BİBER ÇIKTI -

#5
Foto - Akıllara durgunluk veren olay: Doktorlar tümör sanıp çıkardıkları şeyi görünce şaşırdı

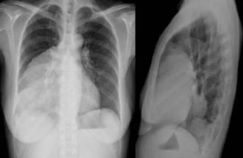
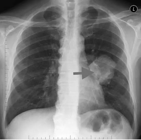
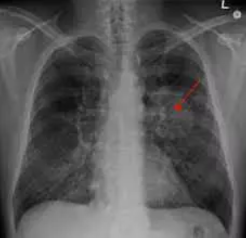
Yapılan incelemeler sonucunda, Xu'nun sağ akciğerinde yaklaşık 1 santimetrelik kitle fark eden doktorlar, bunun kötü huylu tümör olabileceği ihtimali üzerinde durdu.

#6
Foto - Akıllara durgunluk veren olay: Doktorlar tümör sanıp çıkardıkları şeyi görünce şaşırdı

Doktorlar, kanser olabileceği düşündükleri Xu'ya tam teşhis koyabilmek için akciğer dokusundan parça alarak testler yaptı. Yapılan testler sonucu, doktorların kötü huylu tümör sandığı kitlenin acı biber parçası olduğu anlaşıldı.

#7
Foto - Akıllara durgunluk veren olay: Doktorlar tümör sanıp çıkardıkları şeyi görünce şaşırdı

Biber parçasının, 2 yıl önce yemek yediği sırada boğazına kaçtığını ve şiddetli şekilde öksürdüğünü hatırlayan Xu'nun yaşadıkları Çin'deki sosyal medya platformlarında oldukça ilgi çekti.

Haberle ilgili yorum yapmak için tıklayın.

Yorumlar

Ayse

Sayin Editör, haber iceriginde sag akcigerde kitleden bahsedilmis ancak filimlerde solda kitle gozukuyor 1 cmden de buyuk gozukuyor. Haber kaynaginizda yanlislik var. Bronkoskopide yiyecek oldugu da belli olur. Bilginize
x

WhatsApp İhbar Hattı

+90 (553) 313 94 23