• İSTANBUL
  • İMSAK
    00:00
    GÜNEŞ
    00:00
    ÖĞLE
    00:00
    İKİNDİ
    00:00
    AKŞAM
    00:00
    YATSI
    00:00
  • 0.0
  • 0.0
  • 0.0
51
Yeniakit Publisher
Röntgen sonrası çıkanlar doktorları bile şok etti! İşte açıklanamayan o görüntüler
2020-12-03 07:48:14

Röntgen sonrası çıkanlar doktorları bile şok etti! İşte açıklanamayan o görüntüler

Röntgen filminde çıkanlar, görenleri adeta şok etti. Görenlerin ağzını açık bırakan röntgen filmleri sosyal medyada da çok sayıda paylaşım aldı. İşte o görüntüler... Yapışık ikizlerin röntgeni.

#1
Foto - Röntgen sonrası çıkanlar doktorları bile şok etti! İşte açıklanamayan o görüntüler

Hamile bir kedi ve onun röntgen filmi.

#2
Foto - Röntgen sonrası çıkanlar doktorları bile şok etti! İşte açıklanamayan o görüntüler

Hamile bir kaplumbağanın röntgen filmi.

#3
Foto - Röntgen sonrası çıkanlar doktorları bile şok etti! İşte açıklanamayan o görüntüler

Yemek yedikten hemen sonra röntgen filmi çekilen yılan.

#4
Foto - Röntgen sonrası çıkanlar doktorları bile şok etti! İşte açıklanamayan o görüntüler

13 aylık bir bebeğin yuttuğu piller.

#5
Foto - Röntgen sonrası çıkanlar doktorları bile şok etti! İşte açıklanamayan o görüntüler

Hollanda'da 52 yaşında bir kadın 78 tane gümüş kaşık yuttu.

#6
Foto - Röntgen sonrası çıkanlar doktorları bile şok etti! İşte açıklanamayan o görüntüler

18 yaşında bir kız bir kızın midesinden çıkarılan 4.5 kg ağırlığındaki bir yün topağı.

#7
Foto - Röntgen sonrası çıkanlar doktorları bile şok etti! İşte açıklanamayan o görüntüler

Makas yutan bir adam.

#8
Foto - Röntgen sonrası çıkanlar doktorları bile şok etti! İşte açıklanamayan o görüntüler

Ayakkabı yutmuş bir yılan.

#9
Foto - Röntgen sonrası çıkanlar doktorları bile şok etti! İşte açıklanamayan o görüntüler

Çengelli iğne.

#10
Foto - Röntgen sonrası çıkanlar doktorları bile şok etti! İşte açıklanamayan o görüntüler

Kaçakçılık yapmak için yutulan uyuşturucular.

#11
Foto - Röntgen sonrası çıkanlar doktorları bile şok etti! İşte açıklanamayan o görüntüler

Çivi yutan bir adam

#12
Foto - Röntgen sonrası çıkanlar doktorları bile şok etti! İşte açıklanamayan o görüntüler

Çin'de bir kadın 20 parça taş yuttu.

#13
Foto - Röntgen sonrası çıkanlar doktorları bile şok etti! İşte açıklanamayan o görüntüler

Hamilelilik sürecinde anne adayları zorunlu olmadıkça röntgen filmi çektirmekten sakınıyor. Ancak bazı durumlarda çeşitli hastalık şüphesiyle röntgen alınabiliyor. Hamilelik sürecinde çekilen o şaşırtan görüntüler... İşte ilk olarak hamile bir kadın

#14
Foto - Röntgen sonrası çıkanlar doktorları bile şok etti! İşte açıklanamayan o görüntüler

Hamile at

#15
Foto - Röntgen sonrası çıkanlar doktorları bile şok etti! İşte açıklanamayan o görüntüler

Hamile kedi

#16
Foto - Röntgen sonrası çıkanlar doktorları bile şok etti! İşte açıklanamayan o görüntüler

Hamile bir kedi daha

#17
Foto - Röntgen sonrası çıkanlar doktorları bile şok etti! İşte açıklanamayan o görüntüler

Hamile köpekbalığı

#18
Foto - Röntgen sonrası çıkanlar doktorları bile şok etti! İşte açıklanamayan o görüntüler

Hamile yarasa

#19
Foto - Röntgen sonrası çıkanlar doktorları bile şok etti! İşte açıklanamayan o görüntüler

Hamile gine domuzu

#20
Foto - Röntgen sonrası çıkanlar doktorları bile şok etti! İşte açıklanamayan o görüntüler

Bir timsahın röntgeni.

#21
Foto - Röntgen sonrası çıkanlar doktorları bile şok etti! İşte açıklanamayan o görüntüler

Hamile maymun

#22
Foto - Röntgen sonrası çıkanlar doktorları bile şok etti! İşte açıklanamayan o görüntüler

Hamile rakun

#23
Foto - Röntgen sonrası çıkanlar doktorları bile şok etti! İşte açıklanamayan o görüntüler

Hamile çinçilla

#24
Foto - Röntgen sonrası çıkanlar doktorları bile şok etti! İşte açıklanamayan o görüntüler

Hamile yılan

#25
Foto - Röntgen sonrası çıkanlar doktorları bile şok etti! İşte açıklanamayan o görüntüler

Hamile kaplumbağa

#26
Foto - Röntgen sonrası çıkanlar doktorları bile şok etti! İşte açıklanamayan o görüntüler

Hindistan'da nehir kenarında arkadaşlarıyla oynayan 12 yaşındaki Anil Barela isimli çocuk, 9 santimetre büyüklüğünde bir balık yuttu.

#27
Foto - Röntgen sonrası çıkanlar doktorları bile şok etti! İşte açıklanamayan o görüntüler

Balığın sürekli hareket etmesi nedeniyle nefes almakta güçlük yaşamaya başlayan çocuğun kanındaki oksijen oranının da ciddi oranda düşüş göstermesi sonucunda çocuk x-ray cihazından geçirildi. Çekimlerde ciğerlerinde dolaşan balık tespit edilince çocuk hemen ameliyata alındı. Yaklaşık 45 dakikalık operasyonun ardından balık, canlı olarak çıkarıldı.Göğüs hastalıkları uzmanı Doktor Pramod Jhawar, 20 yıllık doktorluk hayatı süresince ilk kez böyle bir durumla karşılaştığını kaydetti.

#28
Foto - Röntgen sonrası çıkanlar doktorları bile şok etti! İşte açıklanamayan o görüntüler

Terriyer cinsi köpek, beş kediyi midesine indirince başına neler geldi...

#29
Foto - Röntgen sonrası çıkanlar doktorları bile şok etti! İşte açıklanamayan o görüntüler

İngiltere'de terriyer cinsi köpek, beş kediyi midesine indirince hastanelik oldu...

#30
Foto - Röntgen sonrası çıkanlar doktorları bile şok etti! İşte açıklanamayan o görüntüler

10 yaşındaki Husky cinsi bu köpek oynarken yuttuğu çatal yüzünden büyük bir tehlike atlattı. Midesi delinen köpek ameliyat edilerek kurtarıldı.

#31
Foto - Röntgen sonrası çıkanlar doktorları bile şok etti! İşte açıklanamayan o görüntüler

Londra'da başına bıçak saplanan 16 yaşındaki bu çocuk bir mucize eseri kurtuldu.

#32
Foto - Röntgen sonrası çıkanlar doktorları bile şok etti! İşte açıklanamayan o görüntüler

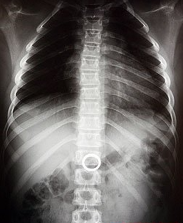
Yemek borusuna metal para sıkışmış bir çocuğun röntgeni...

#33
Foto - Röntgen sonrası çıkanlar doktorları bile şok etti! İşte açıklanamayan o görüntüler

İngiltere'de gümrükte çekilen bu röntgen filminde labrador cinsi bir köpeğin midesine yerleştirilmiş kokain paketleri gözüküyor

#34
Foto - Röntgen sonrası çıkanlar doktorları bile şok etti! İşte açıklanamayan o görüntüler

İki buçuk metre piton yılanın içinde ölü taklidi yapan bir yılan avcısı...

#35
Foto - Röntgen sonrası çıkanlar doktorları bile şok etti! İşte açıklanamayan o görüntüler

Bu röntgen filmi ise İngiltere'de bir bisküvi fabrikasında çalışan Anne Kellow'a ait. Kellow'un iş yerinde geçirdiği talihsiz kaza parmaklarının kırılmasıyla sonuçlandı.

#36
Foto - Röntgen sonrası çıkanlar doktorları bile şok etti! İşte açıklanamayan o görüntüler

Annesinin evlilik yüzüğünü yutan ufak kız çocuğunun röntgen filmi.

#37
Foto - Röntgen sonrası çıkanlar doktorları bile şok etti! İşte açıklanamayan o görüntüler

Doberman cinsi bu köpeğin röntgeninde ise midesinde altı tane golf topu var.

#38
Foto - Röntgen sonrası çıkanlar doktorları bile şok etti! İşte açıklanamayan o görüntüler

Londra'da yaşayan bu yavuru kedinin röntgeninde ise bacağına takılan platin gözüküyor.

#39
Foto - Röntgen sonrası çıkanlar doktorları bile şok etti! İşte açıklanamayan o görüntüler

Amerika Arizona'da yaşayan meraklı kaplan televizyon antenini midesine indirdi. Çekilen röntgen filmiyle gerçeği öğrenen veterinerler başarılı bir ameliyatla anteni mideden çıkardı.

#40
Foto - Röntgen sonrası çıkanlar doktorları bile şok etti! İşte açıklanamayan o görüntüler

Bu karede ise Salvadoran Hapishanesi'nde yapılan aramada mahkumların vücutlarına gizledikleri cep telefonu gözüküyor.

#41
Foto - Röntgen sonrası çıkanlar doktorları bile şok etti! İşte açıklanamayan o görüntüler

Su sporlarıyla uğraşan David Wilson geçirdiği kazanın ardından sağlığına kavuşabilmek için uzun bir süre dizindeki vidalarla yaşamak zorunda.

#42
Foto - Röntgen sonrası çıkanlar doktorları bile şok etti! İşte açıklanamayan o görüntüler

Hayvanat bahçesinde yaşayan bu Penguen'in midesinde ise yutmuş olduğu çengel görünüyor.

#43
Foto - Röntgen sonrası çıkanlar doktorları bile şok etti! İşte açıklanamayan o görüntüler

İsidro Mejia adlı Los Angeles'ta yaşayan bir inşaat işçisi geçirdiği kazayla ölümden döndü. Bir anlık dikkatsizlik sonucu makinadan fırlayan tam altı çivi kafatası ve boynuna saplandı.

#44
Foto - Röntgen sonrası çıkanlar doktorları bile şok etti! İşte açıklanamayan o görüntüler

Hastanın midesinde unutulan bir makas...

#45
Foto - Röntgen sonrası çıkanlar doktorları bile şok etti! İşte açıklanamayan o görüntüler

Avusturalya'da yaşayan bu sevimli Koalo'ya araba çarptı ama kurtuldu. Melbourne Hayvan Merkezi'ne götürülen Koalo'nun çekilen röntgen filminde kolunun kırıldığı farkedildi.

#46
Foto - Röntgen sonrası çıkanlar doktorları bile şok etti! İşte açıklanamayan o görüntüler

Avusturalya'da yakalanan yaklaşık bir metre uzunluğundaki bu yılan ise yumurta sandığı golf toplarını yuttu.

#47
Foto - Röntgen sonrası çıkanlar doktorları bile şok etti! İşte açıklanamayan o görüntüler

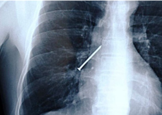
Ağzına çivi saplanan hastanın ameliyata alınmadan önce çekilen röntgen filmi...

#48
Foto - Röntgen sonrası çıkanlar doktorları bile şok etti! İşte açıklanamayan o görüntüler

Omzu kırılan bir kişinin koluna yapılan müdahalenin görüntüsü...

#49
Foto - Röntgen sonrası çıkanlar doktorları bile şok etti! İşte açıklanamayan o görüntüler

Bu baykuş yetkililer tarafından farkedilineceye kadar uzun bir süre kanadında toplu iğnelerle yaşamak zorunda kaldı.

#50
Foto - Röntgen sonrası çıkanlar doktorları bile şok etti! İşte açıklanamayan o görüntüler

Güvenlik cihazından geçen bir çantanın içinden gözükenler...

x

WhatsApp İhbar Hattı

+90 (553) 313 94 23