• İSTANBUL
  • İMSAK
    00:00
    GÜNEŞ
    00:00
    ÖĞLE
    00:00
    İKİNDİ
    00:00
    AKŞAM
    00:00
    YATSI
    00:00
  • 0.0
  • 0.0
  • 0.0
7
Yeniakit Publisher
Bu ameliyat Türkiye'de yapıldı! Tıp literatüründe ender görülen olay
2023-06-13 15:39:42

Bu ameliyat Türkiye'de yapıldı! Tıp literatüründe ender görülen olay

Ölümün kıyısına gelen hasta, başarılı bir ameliyatın ardından yaşadıklarını anlattı.

#1
Foto - Bu ameliyat Türkiye'de yapıldı! Tıp literatüründe ender görülen olay

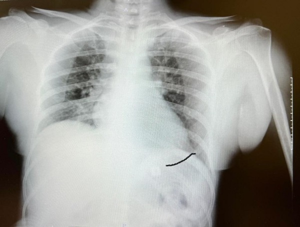
Kahramanmaraş'ta yaşayan ev hanımı Sultan Tıraş (40), sekiz ay önce kolunun sık sık uyuşması nedeniyle bir sağlık kuruluşuna başvurduğunda, boyun fıtığı teşhisi konulduğu ve yapılan ameliyatla boyun omurlarına metal disk yerleştirildi. Operasyon sonrası iyileşen ancak ameliyattan iki ay sonra gırtlağında batmalar hisseden kadının ağrıları her geçen gün daha da arttı. Tekrar hastaneye başvuran kadına, sürecin normal olduğu ve şiddetli bir ağrısı yoksa normal yaşantısına devam edebileceği söylendi. Şubat ayında yaşanan deprem felaketi sonrası Bursa’ya giden kadın, burada başvurduğu hastanede, boyun omuruna takılan metal diskin gırtlağını delme ihtimali olduğunu öğrendi. Büyük şok yaşayan kadın, Kahramanmaraş’a döndüğünde acilen ameliyat olması gerektiğini öğrendi.

#2
Foto - Bu ameliyat Türkiye'de yapıldı! Tıp literatüründe ender görülen olay

Gaziantep'teki özel bir hastanede ameliyat olan Sultan Tıraş'ın boynundaki disk ameliyatla alınırken, diğerinin yemek borusunu delip mideye indiği ve ciddi sorunla karşı karşıya olduğu belirtildi. Acilen bu konuda deneyimli olan SANKO Üniversitesi Hastanesi’nde Prof. Dr. Levent Elbeyli’ye yönlendirilen kadın, bilinci kapalı olarak Sanko Üniversitesi yoğun bakım ünitesine alındı. Yaşadıklarını anlatan Tıraş, "Ertesi gün ameliyata alındım ve ardından on gün hastanede kaldım. Çok iyi bakım tedavi ve yapıldı, şükür sağlığıma kavuştum. Çok iyiyim, ölümün kıyısından döndüm. Herkese önerim, ameliyat olacağınız hastaneyi ve doktoru iyi araştırın. Beni sağlığıma kavuşturan hocamıza, ekibe ve SANKO Üniversitesi Hastanesi’ne teşekkür ederim.”

#3
Foto - Bu ameliyat Türkiye'de yapıldı! Tıp literatüründe ender görülen olay

SANKO Üniversitesi Tıp Fakültesi Göğüs Cerrahisi Ana Bilim Dalı Başkanı Prof. Dr. Elbeyli, bilinci kapalı olarak hastaneye getirilen Sultan Tıraş’ın, ciddi ve hayatını kaybetme riski çok yüksek bir olay yaşadığını vurguladı. Sultan Tıraş’ın Gaziantep’te başka özel hastanede yapılan radyolojik tetkikler ve değerlendirmeler sonucu daha önce başka bir merkezde boyun omurlarına yerleştirilen metal disklerin yerinden oynadığının belirlendiğini hatırlatan Prof. Dr. Elbeyli, sözlerini şöyle sürdürdü: “O hastanede beyin ve sinir cerrahisi uzmanı tarafından ameliyata alınan Sultan Tıraş’ın boyun omuruna konulan iki aparattan biri çıkarılmış, ancak diğerinin yemek borusunu delip mideye indiği belirlenmiş. İlgili hekim bana ulaşarak bilgilendirmeyi yaptı ve hastayı hastanemize sevk etti. Yoğun bakıma alınan hastaya yaptığımız detaylı tetkikler ve klinik değerlendirme sonucu mediyastenit (ciddi göğüs enfeksiyonu) belirlendi. Bu ciddi bir sorun olup, hayati riski yüksektir. En hızlı şekilde tıbbi tedaviye başladık, gastroenteroloji bölümümüzde endoskopi yapıldı. Yemek borusunda oluşan delik ve delikten mideye inen metalik cerrahi aparat görüldü. Göğüs kafesi içinde ciddi bir iltihap ve hava birikimi vardı. Hasta yakınları durum ile ilgili bilgilendirildi, riskler kendileri ile paylaşılarak hastamıza tıbbi müdahale edebilmemiz gerekli onayları alındı.”

#4
Foto - Bu ameliyat Türkiye'de yapıldı! Tıp literatüründe ender görülen olay

“Yaklaşık 6 saat süren bir ameliyat oldu. Hastamıza ilk endoskopik yol ile göğüs orta bölümdeki (mediasten ki bu bölgeye insan hayatının makine dairesi deriz) cerahat boşaltılıp tahliye edildi. Daha sonra boyun bölgesindeki biriken iltihap temizlendi. Yemek borundaki 2 cm’lik perforasyon (delik) tespiti ve tamiri yapıldı” diyen Prof. Dr. Elbeyli, şu bilgileri paylaştı: “Hastamız ameliyat sonrası bir süre yoğun bakımda, daha sonra serviste izlendi ve tedavi sonrası şifa ile taburcu edildi. Hastamızın yaşadığı bu durum, tıp literatüründe ender görülen bir olay olup ciddi ve yüksek hayati riski içerir. Sultan Hanımın sağlığına kavuşmasında emeği geçen herkesi kutluyorum.” Prof. Dr. Elbeyli, “Bu şehre ve dolayısıyla bölgeye böyle bir hastane kazandırdıkları için SANKO Ailesine teşekkür ederim. Ülkemizin sınıf atladığı alanlardan biri de sağlıktır. Bölgenin gözbebeği olan hastanemiz, kurucusundan hekimlerine, yönetiminden idari çalışanlarına kadar en iyisini sunmak için azami çaba gösteriyoruz” diyerek sözlerini tamamladı.

#5
Foto - Bu ameliyat Türkiye'de yapıldı! Tıp literatüründe ender görülen olay

SANKO Üniversitesi Tıp Fakültesi İç Hastalıkları Ana Bilim Dalı Gastroenteroloji Bölümü Öğr. Üyesi Doç. Dr. Nimet Yılmaz, hastanın yutma güçlüğü ve nefes alamama şikayetleri nedeniyle SANKO Üniversitesi Hastanesi Göğüs Cerrahisi Bölümü’nden yönlendirildiğini bildirdi. Hastanın şikayetleri üzerine endoskopi (cerrahi müdahale olmaksızın sindirim sistemini incelemek amacıyla hastanın ağızdan girilmesi şeklinde yapılan işlem) yaptıklarını anlatan Doç. Dr. Yılmaz, şu bilgileri aktardı: “Endoskopi sırasında hastanın midesinde metalik bir oluşuma benzer yabancı cisim ile yemek borusunda ülser görünümü izledik. Lezyon bölgesi belirlendikten sonra hastamızın tedavisi için Göğüs Cerrahisi Bölümümüze durumu ilettik. Prof. Dr. Levent Elbeyli Hocamız hastamızın sağlığına kavuşması için gerekli tedaviyi planlayarak, başarılı bir operasyonla sonuca ulaştı. Emeği geçen herkese teşekkür ediyorum. Hastamızı sağlıklı bir ömür diliyorum.”

#6
Foto - Bu ameliyat Türkiye'de yapıldı! Tıp literatüründe ender görülen olay

SANKO Üniversitesi Tıp Fakültesi Anesteziyoloji ve Reanimasyon Ana Bilim Öğr. Üyesi Doç. Dr. Betül Şimşek ise süreçle ilgili şunları kaydetti: “Yoğun bakım sürecinde hastane olarak çok şanslıyız. Her türlü teçhizatın bulunduğu nadir yoğun bakımlardan birine sahip olduğumuz için hastalarımıza çok hızlı müdahale edebiliyoruz. Hastamızı da başta hocalarım ve gerekli teçhizatlarla birlikte bugüne getirmiş olduk. Emeği geçen herkese teşekkür ederim.” Basın toplantısına SANKO Hastanesi Genel Müdür Yardımcısı Rabia Ağar ve Mesul Müdür Dr. Suat Özerbaş da katıldı.

x

WhatsApp İhbar Hattı

+90 (553) 313 94 23