• İSTANBUL
  • İMSAK
    00:00
    GÜNEŞ
    00:00
    ÖĞLE
    00:00
    İKİNDİ
    00:00
    AKŞAM
    00:00
    YATSI
    00:00
  • 0.0
  • 0.0
  • 0.0
7
Yeniakit Publisher
'Uluslararası Kanser Dergisi' yazdı! Ölümcül beyin tümörlerine karşı müthiş buluş
2024-01-27 19:37:43

'Uluslararası Kanser Dergisi' yazdı! Ölümcül beyin tümörlerine karşı müthiş buluş

Uluslararası Kanser Dergisi'nde yayımlanan araştırma sonucuna göre, Ölümcül beyin tümörlerine kan testiyle teşhis edilebilecek.

#1
Foto - 'Uluslararası Kanser Dergisi' yazdı! Ölümcül beyin tümörlerine karşı müthiş buluş

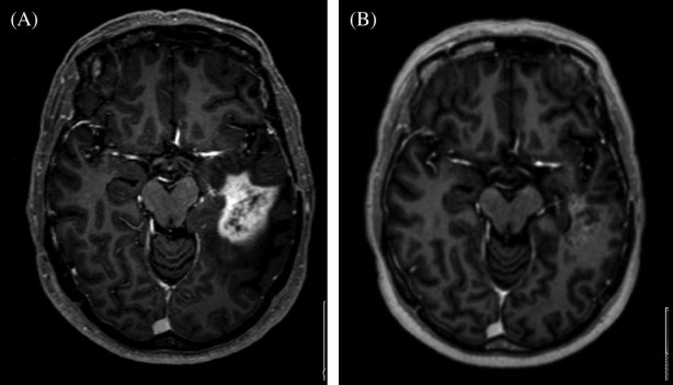
İngiltere merkezli Imperial College London'ın bir parçası olan Beyin Tümörü Araştırma Mükemmeliyet Merkezi tarafından yapılan araştırmalar, standart kan örnekleriyle hastalığın izlerini tespit edebildiklerini ortaya çıkardı.

#2
Foto - 'Uluslararası Kanser Dergisi' yazdı! Ölümcül beyin tümörlerine karşı müthiş buluş

Uzmanlar, bu yöntemin, çoğu beyin tümörünü teşhis etmek için kullanılan riskli cerrahi ihtiyacını azaltırken teşhis ve tedaviyi hızlandırabileceğini söylüyor.

#3
Foto - 'Uluslararası Kanser Dergisi' yazdı! Ölümcül beyin tümörlerine karşı müthiş buluş

Kullanılan "sıvı biyopsi"nin özellikle erişilemeyen beyin tümörleri olan hastalar için faydalı olacağını, böylece tedaviye mümkün olan en kısa sürede başlayabileceklerini söylediler.

#4
Foto - 'Uluslararası Kanser Dergisi' yazdı! Ölümcül beyin tümörlerine karşı müthiş buluş

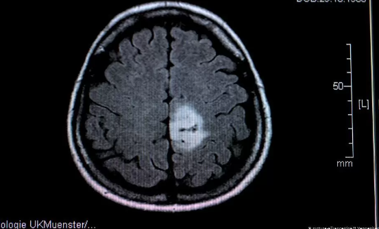
20 ay önce glioblastoma olarak bilinen agresif bir beyin tümörü teşhisi konan 37 yaşındaki Antiques Roadshow sunucusu Theo Burrell, testin hastalar için "hayat değiştirme" potansiyeline sahip olduğunu söyledi.

#5
Foto - 'Uluslararası Kanser Dergisi' yazdı! Ölümcül beyin tümörlerine karşı müthiş buluş

Altı ay boyunca, yorgunluktan ve ağrı kesicilerin işe yaramadığı dayanılmaz baş ağrılarından şikayetçiydi ve birçok kez doktora gitti ancak kendisine acil servise gidip ilgili taramalardan geçtikten sonra teşhis konuldu.

#6
Foto - 'Uluslararası Kanser Dergisi' yazdı! Ölümcül beyin tümörlerine karşı müthiş buluş

Uluslararası Kanser Dergisi'nde yayınlanan bulguların önemli olduğunu söyleyen araştırmacılar, glioblastomalı hastaların yüzde 1'inden azının on yıldan fazla yaşadığını ve erken teşhisin önemli olduğunu kaydettiler.

x

WhatsApp İhbar Hattı

+90 (553) 313 94 23