• İSTANBUL
  • İMSAK
    00:00
    GÜNEŞ
    00:00
    ÖĞLE
    00:00
    İKİNDİ
    00:00
    AKŞAM
    00:00
    YATSI
    00:00
  • 0.0
  • 0.0
  • 0.0
11
Yeniakit Publisher
Hiç hesapta olmayan bu ağrıyı anjiyografik yöntem ile yok edin! Uzmanlar şiddetle tavsiye ediyor...
Haber Merkezi Giriş Tarihi:

Hiç hesapta olmayan bu ağrıyı anjiyografik yöntem ile yok edin! Uzmanlar şiddetle tavsiye ediyor...

Hiç hesapta olmayan bu ağrıyı anjiyografik yöntem ile yok edebilirsiniz.

#1
Foto - Hiç hesapta olmayan bu ağrıyı anjiyografik yöntem ile yok edin! Uzmanlar şiddetle tavsiye ediyor...

Medipol Bahçelievler Üniversite Hastanesi Girişimsel Radyoloji Uzmanı Prof. Dr. Tümay Bekci, kronik topuk dikeni hastalarında uygulanan anjiyografik yöntemle iltihabın doğrudan hedef alınarak ağrının belirgin şekilde azaltıldığını belirtti.

#2
Foto - Hiç hesapta olmayan bu ağrıyı anjiyografik yöntem ile yok edin! Uzmanlar şiddetle tavsiye ediyor...

Hastaneden yapılan açıklamaya göre, topuk ağrısı, özellikle uzun süre ayakta kalan kişilerde yaşam kalitesini ciddi şekilde düşüren yaygın sorunlardan biri olarak öne çıkıyor. İstirahat, tabanlık, iğne ve fizik tedavi gibi yöntemlere rağmen geçmeyen topuk dikeni vakalarında yeni bir tedavi yaklaşımı hastalara umut oluyor.

#3
Foto - Hiç hesapta olmayan bu ağrıyı anjiyografik yöntem ile yok edin! Uzmanlar şiddetle tavsiye ediyor...

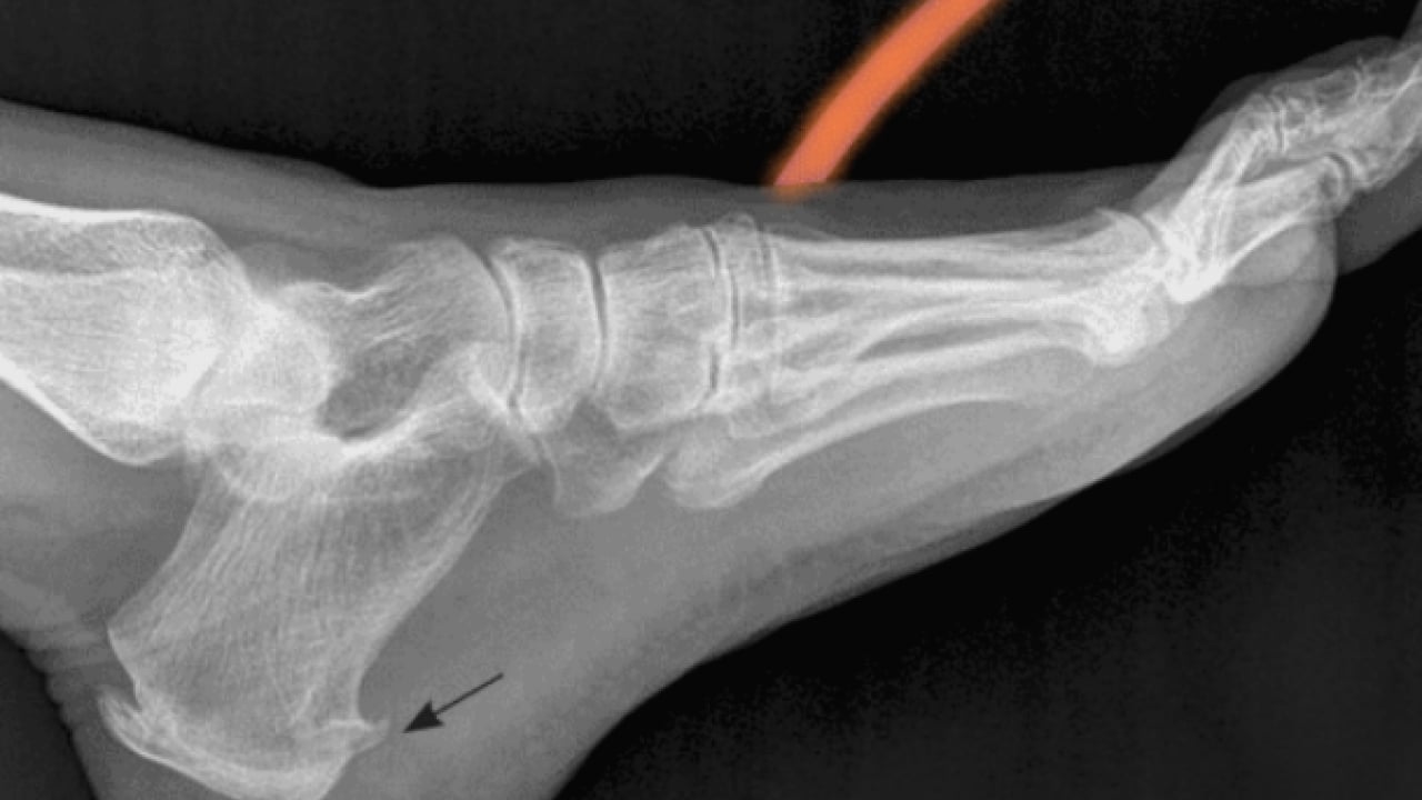
Açıklamada görüşlerine yer verilen Prof. Dr. Tümay Bekci, topuk dikeninin, ayak tabanında yer alan ve topuk kemiğine yapışan bağ dokusunun iltihaplanmasıyla ortaya çıktığını aktardı.

#4
Foto - Hiç hesapta olmayan bu ağrıyı anjiyografik yöntem ile yok edin! Uzmanlar şiddetle tavsiye ediyor...

Travma, aşırı yüklenme ve uzun süre ayakta kalma gibi faktörlerin süreci tetiklediğine değinen Bekci, tedavi edilmediğinde ise hastalığın kronikleşebildiğini ifade etti.

#5
Foto - Hiç hesapta olmayan bu ağrıyı anjiyografik yöntem ile yok edin! Uzmanlar şiddetle tavsiye ediyor...

Kronikleşen vakalarda kortizon enjeksiyonları, iğne tedavileri ve radyofrekans gibi yöntemlerin zamanla etkisini kaybedebileceğini belirten Bekci, şunları kaydetti:

#6
Foto - Hiç hesapta olmayan bu ağrıyı anjiyografik yöntem ile yok edin! Uzmanlar şiddetle tavsiye ediyor...

"Bu hasta grubunda farklı bir yaklaşım geliştirdik. Yeni yöntem, özellikle uzun süredir ağrı çeken ve bilinen tedavilere yanıt vermeyen hastalar için önemli bir seçenek sunuyor. Tedavinin uygulanabileceği doğru hasta seçimiyle yüksek başarı elde ediyoruz."

#7
Foto - Hiç hesapta olmayan bu ağrıyı anjiyografik yöntem ile yok edin! Uzmanlar şiddetle tavsiye ediyor...

Bekci, kronik topuk dikeninin uzun süre tedavi edilmediğinde hayat kalitesini ciddi şekilde düşürebileceğine işaret ederek, şu değerlendirmelerde bulundu:

#8
Foto - Hiç hesapta olmayan bu ağrıyı anjiyografik yöntem ile yok edin! Uzmanlar şiddetle tavsiye ediyor...

"Bu noktada, iltihabın doğrudan hedef alındığı anjiyografik bir yöntem geliştirdik. Bacak atardamarından ilerleyerek topuk bölgesindeki hedef damarlara ulaşıyor ve iltihap kurutucu ilacı doğrudan sorunlu alana veriyoruz.

#9
Foto - Hiç hesapta olmayan bu ağrıyı anjiyografik yöntem ile yok edin! Uzmanlar şiddetle tavsiye ediyor...

İşlem öncesi MR ve anjiyografiyle iltihabı net şekilde görebiliyoruz.

#10
Foto - Hiç hesapta olmayan bu ağrıyı anjiyografik yöntem ile yok edin! Uzmanlar şiddetle tavsiye ediyor...

Tedavi sonrası hastalarımızda ağrı düzeyinin 7-8'lerden 1-2 seviyelerine düştüğünü gözlemledik ve takiplerimizde nüksle karşılaşmadık. Topuk ağrısı hafife alınmaması gerekir. Ağrı uzun süre devam ediyorsa mutlaka uzman değerlendirmesi yapılmalı. Kişiye uygun tedavi planı belirlenmesini öneriyoruz."

Haberle ilgili yorum yapmak için tıklayın.

Yorumlar

Mehmet

Oda dert mi israil için hemen turanp denen alçak İSLAM düşmanına bana para gönder turanp ta suudı kraına bir telefonla paraya ihtiyacım var der. Oda bizim ümreciler ve Hacılarım paraaısdan oraya aktarma yapar.
x

WhatsApp İhbar Hattı

+90 (553) 313 94 23