• İSTANBUL
  • İMSAK
    00:00
    GÜNEŞ
    00:00
    ÖĞLE
    00:00
    İKİNDİ
    00:00
    AKŞAM
    00:00
    YATSI
    00:00
  • 0.0
  • 0.0
  • 0.0
11
Yeniakit Publisher
Uzmanlardan önemli uyarı: Kanal tedavisi ihmali kistlere yol açabilir

Haber Merkezi Giriş Tarihi:
Uzmanlardan önemli uyarı: Kanal tedavisi ihmali kistlere yol açabilir

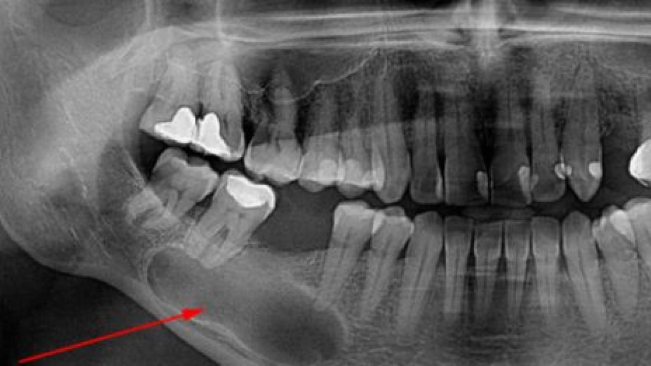
Endodonti Uzmanı Dr. Öğr. Üyesi Meryem Çoban Sezer, kanal tedavisindeki gecikmenin dişin kök ucunda oluşan enfeksiyonu büyüterek kistleşmeye, büyük kemik kayıplarına ve doku hasarına neden olabileceğini vurguladı. Kanal tedavisinin sadece dişi çekilmekten kurtarmadığını, aynı zamanda enfeksiyonun kalp hastalıkları ve diyabet gibi sistemik durumları kötü etkileme riskini de ortadan kaldırdığını belirtti. Uzman, zonklayıcı ağrı, gece uykudan uyandıran sızı ve yüzde şişlik gibi durumların tedavi gerekliliğini gösterdiğini ifade etti.

#1
Foto - Uzmanlardan önemli uyarı: Kanal tedavisi ihmali kistlere yol açabilir

Dişin canlılığını kaybetmeye başladığı veya geri dönüşümsüz bir iltihabın oluştuğu durumlarda uygulanan kanal tedavisinin (Endodontik tedavi) önemini vurgulayan İstinye Dental Hospital’dan Endodonti Uzmanı Dr. Öğr. Üyesi Meryem Çoban Sezer, tedavinin ihmal edilmesinin yaratabileceği ciddi sonuçlar hakkında bilgilendirmede bulundu. Dr. Öğr. Üyesi Sezer, tedavi edilmeyen enfeksiyonun ilerleyerek kök ucunda kistlere sebep olabileceğini ve bunun da büyük kemik kayıplarına yol açabileceğini aktardı.

#2
Foto - Uzmanlardan önemli uyarı: Kanal tedavisi ihmali kistlere yol açabilir

Dr. Öğr. Üyesi Sezer, "Dişin kök kanallarındaki sinir ve damar dokusu temizlenir, kanal duvarları arındırılır ve uygun materyallerle doldurularak diş restore edilir. Geçmeyen zonklayıcı ağrılar, gece uykudan uyandıran şiddetli ağrı, yüzde şişlik oluşturan apse, yemek yerken sıcakla veya dişe bastırınca oluşan hassasiyet gibi durumlar kanal tedavisi gerekliliğini düşündürür" diye konuştu.

#3
Foto - Uzmanlardan önemli uyarı: Kanal tedavisi ihmali kistlere yol açabilir

“AĞIZ SAĞLIĞI, KALP HASTALIKLARI VE DİYABET GİBİ HASTALIKLARLA İLİŞKİLİ” Kanal tedavisinin amacından bahseden Dr. Öğr. Üyesi Sezer, şu bilgileri paylaştı: "Kanal tedavisinin temel amacı, dişte ağrıya ve hassasiyete neden olan enfekte dokuları ortadan kaldırmaktır. Dişin etrafında lezyon dediğimiz kemik kaybını ve enfekte alanları iyileştirebilmek için, dişin içindeki bakteriyel yük ve ölü dokular temizlenir. Böylece diş, ağız içinde sağlıklı bir şekilde fonksiyon görmeye devam eder ve çekilmeden korunmuş olur. Bu tedavi aslında sadece dişi kurtarmakla kalmaz, genel sağlık açısından da önem taşır. Ağız sağlığı, kalp hastalıkları veya diyabet gibi durumlarla da ilişkilidir; dişteki zararlı bakteriler vücudun genel direncini olumsuz etkileyebilir. Bu yüzden kanal tedavisi, dişin fonksiyonunu geri kazandırarak hem beslenmeyi kolaylaştırır hem de genel sağlığı destekler."

#4
Foto - Uzmanlardan önemli uyarı: Kanal tedavisi ihmali kistlere yol açabilir

“TEDAVİ YAPILMAZSA DOKU HASARINA YOL AÇABİLİR” Kanal tedavisi yapılmazsa dişte veya vücutta hangi sorunlar görülebileceğine değinen Dr. Öğr. Üyesi Sezer, "Kanal tedavisi yapılmadığında kök ucunda oluşan lezyonlar büyüyerek kistleşebilir, büyük kemik kayıplarına ve doku hasarına yol açabilir. Dişte sürekli hassasiyet ve spontan ağrılar oluşabilir. Kronikleşmiş enfeksiyonlar bazen akut şekilde ani yüz şişliklerine dönüşebilir yahut ağrı vermese bile zaman içinde ilerleyebilir. Ağız içindeki bu enfeksiyon odakları diyabet, kalp hastalıkları gibi sistemik durumları kötü etkileyebilir. Dişlerin tedavi edilmeyip durumları kötüleştiğinde çekilmek zorunda kalınması, çiğneme fonksiyonunda bozulmaları ve bununla beraber bağışıklık sisteminin zayıflamasını da beraberinde getirir" dedi.

#5
Foto - Uzmanlardan önemli uyarı: Kanal tedavisi ihmali kistlere yol açabilir

“TEDAVİ SÜRECİ” Kanal tedavisi genellikle tek seansta tamamlanabilen bir işlem olduğunu anlatan Dr. Öğr. Sezer, "Ancak tedavinin durumuna göre bu süreci birden fazla seansa bölmemiz de gerekebilir. Bazen enfeksiyon yükü fazla olan yahut yüzde şişlik ile gelen hastalarımızda kanal içerisine ilaç uygulaması yapıp ilacın 1 hafta kadar dişin içerisinde durup etkinliğini göstermesini bekliyoruz. Bazı dişlerde ise ilaç uygulamadan, kanal içini temizleyip duvarları tamamen arındırdıktan sonra hemen dolguya geçebiliyoruz. Bu tamamen dişin durumuna ve iltihabın kontrol altına alınıp alınmadığına bağlıdır. Özetle, dişin genel durumu bizi yönlendiriyor ve bazen tek, bazen birden fazla seansla tedaviyi tamamlıyoruz. En sonunda dişe kalıcı restorasyonu yaparak süreci bitiriyoruz" diye konuştu.

#6
Foto - Uzmanlardan önemli uyarı: Kanal tedavisi ihmali kistlere yol açabilir

“GÜNCEL TEDAVİ YÖNTEMLERİ” Kanal tedavisinde kullanılan güncel yöntemlere dikkat çeken Dr. Öğr. Üyesi Sezer, şunları söyledi: "Güncel tedavilerde, biyoseramik patlar önemli bir yer edinmiştir. Bu biyo uyumlu materyaller dişin daha dayanıklı bir şekilde kanal tedavisinin tamamlanmasına katkı sunmasının yanı sıra eğri ve ulaşılması zor kanallarda daha etkili dolum yapmayı sağlar. Ultrasonik ve lazer aktivasyonla dişin temizliğinde kullanılan solüsyonlar daha verimli hale getirilir. Günümüzde dental mikroskop ve loupe kullanımı yaygınlaşmıştır; büyütme ile yapılan işlemlerde daha verimli işlem yapılabilir ve kırık aletlerin çıkarılması kolaylaşır. Büyütme araçları, hekim için hem detayların daha iyi görülmesini hem de ergonomik çalışma pozisyonunda çalışma imkanı sağlar. Son olarak, ülkemize yeni kullanılmaya başlanan yeni nesil kanal dezenfeksiyon teknolojisi de kanal tedavilerinde çığır açmaktadır. ABD’de kullanıma giren bu yöntem, dişin içindeki tüm kanalları ve dallanmaları uzun şekillendirme işlemlerine gerek kalmadan, sadece özel yıkama solüsyonlarıyla etkin bir şekilde temizleyip doldurmayı sağlamaktadır. Bu sayede kanal tedavileri artık daha kısa sürede, daha kapsamlı ve başarılı bir şekilde tamamlanabilmektedir."

#7
Foto - Uzmanlardan önemli uyarı: Kanal tedavisi ihmali kistlere yol açabilir

“AĞRI VE HASSASİYET NORMAL” Kanal tedavisi sonrasında bir miktar hassasiyet ve ağrı olmasının son derece normal olduğunu kaydeden Dr. Öğr. Üyesi Sezer, "Çünkü tedavi sırasında kullanılan aletler ve işlem süreci dişte geçici bir hassasiyet hissedilebilir. Bu hassasiyet genelde birkaç gün içinde azalır ve diş zamanla iyileşir. Özellikle apseli dişlerde, iltihabın boşalmasıyla hastalar genellikle büyük bir rahatlama hisseder ve primer ağrıları azalır. Ancak bazen daha önce ağrısız olan kronik enfeksiyonlu dişler, kanal tedavisi sonrasında akut hale gelerek geçici bir ağrı oluşturabilir. Bu süreçte hastaların endişelenmesine gerek yoktur; genellikle birkaç gün içinde ağrı azalır ve iyileşme başlar. Hastalar bu dönemde hekimlerinin önerdiği ağrı kesicileri kullanabilirler. Eğer ağrı çok şiddetli ve ağrı kesicilerle kontrol edilemiyorsa veya yüzde şişlik oluşursa, hastaların mutlaka tekrar hekimlerine başvurmasını öneriyoruz" dedi.

#8
Foto - Uzmanlardan önemli uyarı: Kanal tedavisi ihmali kistlere yol açabilir

“TEDAVİİYİ ERTELMENİN RİSKLERİ” Tedaviyi ertelemenin diş sağlığına etkilerinden bahseden Dr. Öğr. Üyesi Sezer, "Tedavinin ertelenmesi enfeksiyonun ilerlemesine, daha büyük lezyonların oluşmasına, ağrıların artmasına ve dişin çekilme riskine yol açar. Ayrıca enfeksiyonun sistemik hastalıklarla etkileşme ihtimali artar. Erken müdahale hem dişi korur hem de komplikasyon riskini azaltır" açıklamasında bulundu.

#9
Foto - Uzmanlardan önemli uyarı: Kanal tedavisi ihmali kistlere yol açabilir

“EN SIK YANLIŞ BİLİNEN DURUMLAR” Kanal tedavisi ile ilgili en sık yanlış bilinen durumlardan bahseden Dr. Öğr. Üyesi Sezer, "Kanal tedavisi konusunda yaygın yanlışlardan biri, dişte yüzde şişlik varsa tedavi yapılamaz diye düşünülmesidir. Aslında bu doğru değildir. Eğer hastanın ağız açıklığı yeterliyse ve kanal tedavisine başlayabiliyorsak, yüzde şişlik olsa bile kanal içinden drenaj sağlayarak iltihabı lokal olarak boşaltmak mümkün ve hatta faydalıdır."

#10
Foto - Uzmanlardan önemli uyarı: Kanal tedavisi ihmali kistlere yol açabilir

" Böylece iltihabın kaynağına doğrudan müdahale edilmiş olur. Bir diğer yanlış inanış da kanal tedavisine başlamadan önce mutlaka antibiyotik kullanılması gerektiğidir. Oysa antibiyotikler sistemik ilaçlardır ve lokal bir çözüm sağlamaz. Genellikle antibiyotik kullanımı, yalnızca sistemik bir enfeksiyon riski varsa veya hastanın genel sağlığını korumak için doktorun özel bir önerisi olduğunda düşünülür. Yani kanal tedavisinde esas olan, iltihaplı dokunun dişten uzaklaştırılması ve lokal tedavinin yapılmasıdır, antibiyotikler bu sürecin rutini değildir" dedi.

Haberle ilgili yorum yapmak için tıklayın.
x

WhatsApp İhbar Hattı

+90 (553) 313 94 23