• İSTANBUL
  • İMSAK
    00:00
    GÜNEŞ
    00:00
    ÖĞLE
    00:00
    İKİNDİ
    00:00
    AKŞAM
    00:00
    YATSI
    00:00
  • 0.0
  • 0.0
  • 0.0
13
Yeniakit Publisher
Tümör belasının önüne geçecek koruyucu cerrahi: Kemik tümörlerinde yeni dönem
Haber Merkezi Giriş Tarihi:

Tümör belasının önüne geçecek koruyucu cerrahi: Kemik tümörlerinde yeni dönem

Tümör belasının önüne geçecek yöntemleri Doç. Dr. Muhammet Salih Ayas en ince ayrıntısına kadar açıkladı.

#1
Foto - Tümör belasının önüne geçecek koruyucu cerrahi: Kemik tümörlerinde yeni dönem

KTÜ Farabi Hastanesi Ortopedi ve Travmatoloji Bölümü’nden Doç. Dr. Muhammet Salih Ayas, kemik tümörlerinin tedavisinde erken teşhis ve doğru cerrahi planlama sayesinde günümüzde birçok hastada uzuv kaybının önlenebildiğini söyledi.

#2
Foto - Tümör belasının önüne geçecek koruyucu cerrahi: Kemik tümörlerinde yeni dönem

Kemik tümörü cerrahisinde önemli bir dönüşüm yaşandığını belirten Ayas, bu gelişmenin hem cerrahi tekniklerdeki ilerlemeler hem de tanı yöntemlerindeki hassasiyet artışıyla mümkün hale geldiğini ifade etti.

#3
Foto - Tümör belasının önüne geçecek koruyucu cerrahi: Kemik tümörlerinde yeni dönem

Kemik tümörlerinin tedavisinde "ekstremite koruyucu cerrahi" yöntemlerinin giderek daha fazla tercih edildiğini vurgulayan Doç. Dr. Ayas, "Günümüzde hedef sadece tümörü vücuttan uzaklaştırmak değil aynı zamanda hastanın hareket kabiliyetini, günlük yaşam fonksiyonlarını ve genel yaşam kalitesini en üst düzeyde korumaktır" dedi.

#4
Foto - Tümör belasının önüne geçecek koruyucu cerrahi: Kemik tümörlerinde yeni dönem

Bu yaklaşımın, hastaların sosyal hayata daha hızlı ve sağlıklı şekilde dönmesine önemli katkı sağladığını belirtti.

#5
Foto - Tümör belasının önüne geçecek koruyucu cerrahi: Kemik tümörlerinde yeni dönem

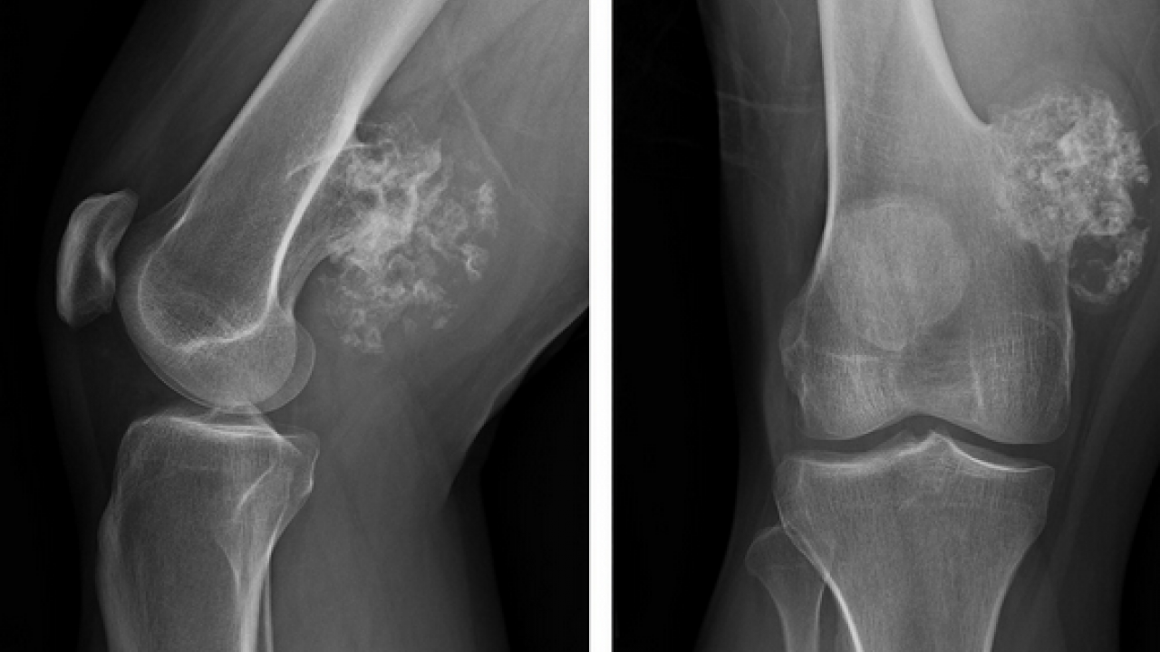
Tedavi sürecinin tümörün biyolojik yapısına, yerleşimine ve yayılım durumuna göre şekillendiğini kaydeden Doç. Dr. Ayas, iyi huylu tümörlerde genellikle daha sınırlı ve koruyucu cerrahi müdahalelerin yeterli olabildiğini söyledi. Kötü huylu tümörlerde ise tümörün yalnızca görünen kısmının değil, çevresindeki potansiyel riskli dokularla birlikte çıkarılmasının hayati önem taşıdığını ifade etti. Bu yaklaşımın, hastalığın tekrar etme riskini azaltarak uzun dönem tedavi başarısını artırdığını dile getirdi.

#6
Foto - Tümör belasının önüne geçecek koruyucu cerrahi: Kemik tümörlerinde yeni dönem

Cerrahi tedavinin, hastalığın türü, hastalığın evresi ve hastaya özgü klinik özelliklere göre kemoterapi ve radyoterapi ile desteklenebildiğini aktaran Doç. Dr. Muhammet Salih Ayas, tanı sürecinde ileri görüntüleme teknikleri ve biyopsi uygulamalarının büyük bir titizlikle yürütüldüğünü belirtti.

#7
Foto - Tümör belasının önüne geçecek koruyucu cerrahi: Kemik tümörlerinde yeni dönem

Doğru tanının, tedavi planlamasının en kritik aşamalarından biri olduğuna dikkat çekti.

#8
Foto - Tümör belasının önüne geçecek koruyucu cerrahi: Kemik tümörlerinde yeni dönem

Ameliyat sonrası oluşan kemik ve doku kayıplarının modern rekonstrüksiyon yöntemleriyle başarıyla giderilebildiğini ifade eden Ayas, "Biyolojik teknikler, hastaya özel geliştirilen protezler ve kemik transferleri sayesinde hem anatomik bütünlüğü yeniden sağlıyor hem de hastalarımızın fonksiyonlarını en iyi şekilde korumayı hedefliyoruz" diye konuştu.

#9
Foto - Tümör belasının önüne geçecek koruyucu cerrahi: Kemik tümörlerinde yeni dönem

Ortopedi ve travmatoloji başta olmak üzere radyoloji, patoloji ve onkoloji birimlerinin koordineli şekilde çalıştığını vurgulayan Ayas, multidisipliner yaklaşımın tedavi başarısını artıran en önemli unsurlardan biri olduğunu belirtti.

#10
Foto - Tümör belasının önüne geçecek koruyucu cerrahi: Kemik tümörlerinde yeni dönem

Her hastanın durumunun ayrı ayrı değerlendirildiğini ve kişiye özel tedavi planlarının oluşturulduğunu ifade etti.

#11
Foto - Tümör belasının önüne geçecek koruyucu cerrahi: Kemik tümörlerinde yeni dönem

Kemik tümörlerinin hem fiziksel hem de psikolojik açıdan zorlu bir süreç olabileceğine dikkat çeken Ayas, "Erken teşhis, doğru ve bilimsel tedavi yaklaşımı ile sabırlı bir rehabilitasyon süreci sayesinde hastalarımızın yeniden sağlıklı ve aktif bir yaşama kavuşması mümkündür" dedi.

#12
Foto - Tümör belasının önüne geçecek koruyucu cerrahi: Kemik tümörlerinde yeni dönem

Hasta-hekim iş birliğinin sürecin başarısında kritik rol oynadığını sözlerine ekledi.

Haberle ilgili yorum yapmak için tıklayın.
x

WhatsApp İhbar Hattı

+90 (553) 313 94 23