• İSTANBUL
  • İMSAK
    00:00
    GÜNEŞ
    00:00
    ÖĞLE
    00:00
    İKİNDİ
    00:00
    AKŞAM
    00:00
    YATSI
    00:00
  • 0.0
  • 0.0
  • 0.0
5
Yeniakit Publisher
Riski arttırıyor! Koronavirüsün en çok faydalandığı hastalık…
2021-04-26 16:05:09

Riski arttırıyor! Koronavirüsün en çok faydalandığı hastalık…

Kanada'da yer alan McGill Üniversitesi'ndeki araştırmacılar, yaygın bir hastalık olan diş eti iltihabı (periodontitis) ve şiddetli Covid-19 arasında güçlü bir bağlantı bulduklarını açıkladı. Uzmanlar diş eti iltihabı olan kişilerin Covid-19'dan ölme olasılığının 8,8 kat daha fazla olduğunu ifade ederek, ağız hijyeninin riski azaltabileceğini söyledi.

#1
Foto - Riski arttırıyor! Koronavirüsün en çok faydalandığı hastalık…

Bununla birlikte diş eti iltihabından muzdarip bireylerin Covid-19 nedeniyle hastaneye kaldırılma olasılıklarının 3,5 kat ve ventilatöre ihtiyaç duyma olasılıklarının ise 4,5 kat daha fazla olduğu belirtildi. McGill Diş Hekimliği Fakültesi'nden Profesör Belinda Nicolau, "Çalışmamızın sonuçlarına bakıldığında, Covid-19 komplikasyonlarının önlenmesi ve yönetiminde iyi ağız sağlığının önemini ortaya çıkıyor. Periodontitis ile hastalık sonucu arasında çok güçlü bir ilişki var" dedi.

#2
Foto - Riski arttırıyor! Koronavirüsün en çok faydalandığı hastalık…

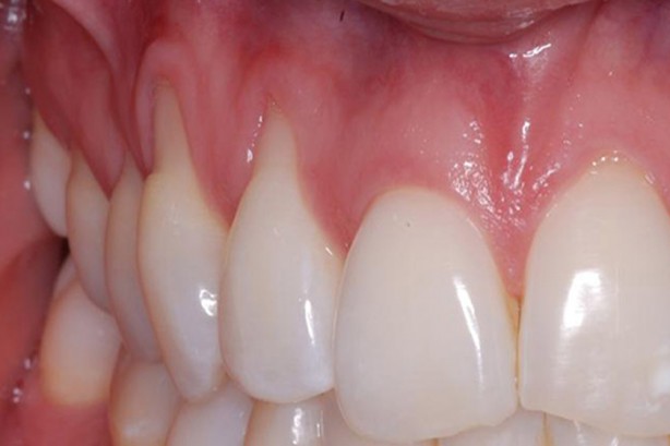
Diş eti iltihabı (periodontitis), dişler ve diş etleri arasında bakteri birikimine bağlı olarak ciddi bir enfeksiyon olarak ortay açılıyor. Tedavi edilmezse ağrılı apselere ve diş kaybına neden oluyor. İlerleyen vakalarda ise alt çene kemiğine zarar veriyor. Bilim insanları, dişleri günlük olarak iki kez fırçalama, diş ipi kullanma ve düzenli muayeneyi içeren iyi bir ağız hijyeni ile diş eti iltihabının önüne geçilebileceğini söylüyor. Çalışmanın ortak yazarı Wenji Cai, "Periodontitis, hem ağızdan hem de sistemik birçok hastalık için bir risk faktörü olarak kabul edildi. Eğer tedavi edilmezse bu iltihap vücuda yayılabilir. Bilim insanları, ayrıca durum ile kalp hastalığı, diyabet ve solunum hastalıkları arasında bağlantılar buldular. Diş eti iltihabı ile düşük ve artmış gebelik komplikasyonları riski arasında da ilişki vardır" dedi.

#3
Foto - Riski arttırıyor! Koronavirüsün en çok faydalandığı hastalık…

Araştırmacılar, yapılan çalışma kapsamında Katar'daki dokuz hastaneyi içeren Hamad Medical Corporation'ın verilerini kullandı. Bu kapsamda 568 hastanın tıp kayıtları incelendi. Cai, "Katar'da tıbbi ve dişçilik kayıtları dijital hale getirildi, bu da veri toplamayı ve bu araştırmayı hızlı bir şekilde yapmayı mümkün kıldı. Araştırmada aynı zamanda "demografik, tıbbi veya ruh sağlığı faktörleri gibi çeşitli faktörler dikkate alındı" değerlendirmesini yaptı. Diğer taraftan çalışma, iltihabı gösteren biyobelirteçlerin, aynı zamanda diş eti iltihabı olan Covid -19 hastalarının kanında önemli ölçüde daha yüksek seviyelerde mevcut olduğunu buldu.

#4
Foto - Riski arttırıyor! Koronavirüsün en çok faydalandığı hastalık…

Cai, "Şiddetli Covid-19 hastalarında, corona virüs entübe edilme ve hatta ölüm gibi komplikasyonlara yol açabilen enflamatuar bir tepkiye neden oluyor. Araştırmamız periodontitisin bunu şiddetlendirebileceğini gösteriyor" dedi. Çalışmanın kıdemli yazarı Dr. Faleh Tamimi ise, "Diş eti iltihabı hastaları vücutlarında zaten yüksek düzeyde iltihap ile Covid-19'a yakalanıyor.Covid-19 hastalığı ayrıca vücutta hiperinflamasyona neden olduğu için bu durum onları dezavantajlı duruma düşürüyor ve onları hastalığın ağır sonuçlarına daha duyarlı hale getiriyor" değerlendirmesini yaptı.

x

WhatsApp İhbar Hattı

+90 (553) 313 94 23