• İSTANBUL
  • İMSAK
    00:00
    GÜNEŞ
    00:00
    ÖĞLE
    00:00
    İKİNDİ
    00:00
    AKŞAM
    00:00
    YATSI
    00:00
  • 0.0
  • 0.0
  • 0.0
7
Yeniakit Publisher
Kimse farkında değil! Eksik dişler sağlığımızı nasıl etkiler
2022-08-22 17:40:55

Kimse farkında değil! Eksik dişler sağlığımızı nasıl etkiler

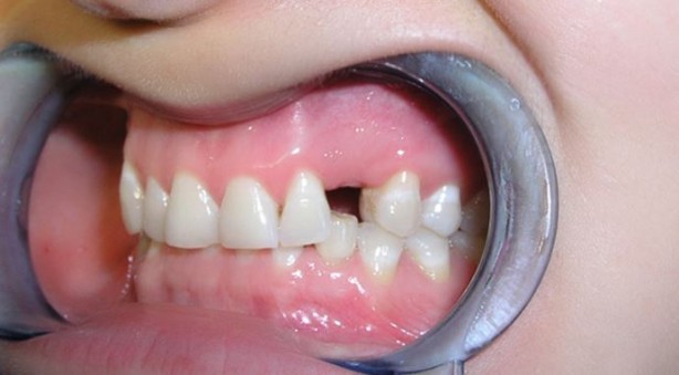
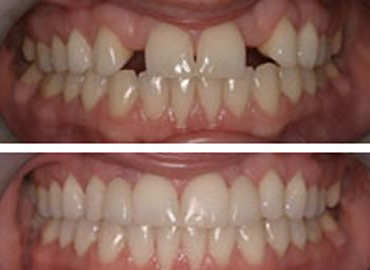
Eksik dişlerle hayata devam etmek hem genel hem de ağız sağlığını olumsuz etkiler. Uzmanlar böylesi durumların ihmal edilmemesi gerektiğini ve en kısa sürede diş hekimi randevusu alarak tedaviye başlanması gerektiğini tavsiye ediyor. Eksik dişlerin önemsenmemesi durumunda hangi olumsuz etkilerle karşı karşıya kalınacağını Diş Hekimi Pertev Kökdemir 4 madde de açıkladı.

#1
Foto - Kimse farkında değil! Eksik dişler sağlığımızı nasıl etkiler

1-Çiğneme verimliliğinde azalma Dişler yemeğin ağızda öğütülmesine yardımcı olur. Ağızda bir veya daha fazla diş kaybedildiğine verimli bir şekilde yiyecekler çiğnenemez ve sindirimin başlaması zorlaşır. Yiyecekler iyi ezilmediğinde gastointestinal sorunları tetikleyebilir.

#2
Foto - Kimse farkında değil! Eksik dişler sağlığımızı nasıl etkiler

2-Kalan dişlere aşırı yüklenme Diş kaybetmenin bir diğer sonucu da çiğneme sırasında kalan dişlere daha fazla yük binmesidir. Özellikle eksik dişler aynı tarafta olduğunda diğer taraf ile çiğneme tercih edilir. Bu durum da bir tarafta diğerinden daha fazla diş aşınmasına sebep olabilir.

#3
Foto - Kimse farkında değil! Eksik dişler sağlığımızı nasıl etkiler

3-Konuşma Zorluğu Dudaklar ve dil ile birlikte dişler de belirli harfleri söylemek için çalışır. Yani ön dişlerden biri eksikse olduğunda bazı kelimeleri telaffuz etmek zor olacaktır.

#4
Foto - Kimse farkında değil! Eksik dişler sağlığımızı nasıl etkiler

4-Dudak Formunun Bozulması Ön altı dişimiz alt ve üst dudağın desteklenmesine büyük katkıda bulunur. Bu nedenle insanlar ön dişlerini kaybetmeye başladığında dudaklarda kırışıklar ve incelme görülebilir. Tüm bunların sonucu olarak da yüzde daha yaşlı bir ifade oluşacaktır. (İLKHA)

#5
Foto - Kimse farkında değil! Eksik dişler sağlığımızı nasıl etkiler

#6
Foto - Kimse farkında değil! Eksik dişler sağlığımızı nasıl etkiler

x

WhatsApp İhbar Hattı

+90 (553) 313 94 23