• İSTANBUL
  • İMSAK
    00:00
    GÜNEŞ
    00:00
    ÖĞLE
    00:00
    İKİNDİ
    00:00
    AKŞAM
    00:00
    YATSI
    00:00
  • 0.0
  • 0.0
  • 0.0
8
Yeniakit Publisher
Büyük tehlike! Yavaşça ortaya çıkıyor, dayanılmaz ağrılar ve ölüm...
2021-09-09 12:21:42

Büyük tehlike! Yavaşça ortaya çıkıyor, dayanılmaz ağrılar ve ölüm...

Vücudunuzdaki taşlar bazı ağrılı sağlık sorunlarının nedeni olabilir. Vücudunuzdaki taşlar, tanımı biraz garip gelebilir. Ama yine de bazı ağrılı sağlık sorunlarına neden olabilecek en az yedi farklı taş türü vardır. En yaygın taş türlerinden biri, diş taşı veya sertleşmiş diş plağının bir şekli olan tartardır. Ancak bademcik taşı ve safra taşı gibi altı taş türü daha vardır. İşte vücudunuzda sahip olabileceğiniz tüm olası 'taşların' listesi!

#1
Foto - Büyük tehlike! Yavaşça ortaya çıkıyor, dayanılmaz ağrılar ve ölüm...

Taşlar Bu koşulların büyük bir kısmı, sağlıklı bir yaşam tarzına sahip olmak ve diyetinizde yeterli çeşitliliğe sahip olmakla önlenebilir. Vücudunuzdaki bazı taşların zor yanı, sağlık sorunlarının genellikle küçük başlamasıdır, bu da her zaman neler olup bittiğini anlamadığınız anlamına gelir. Tedavi edilmediği takdirde, bu sorunlar sağlığınız için ciddi sonuçlar doğurabilir. Bu yedi farklı taş türünü erkenden tanımak önemlidir.

#2
Foto - Büyük tehlike! Yavaşça ortaya çıkıyor, dayanılmaz ağrılar ve ölüm...

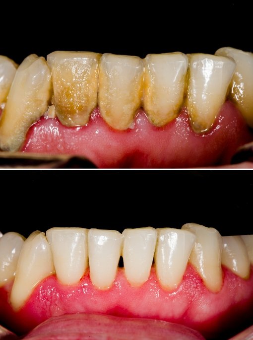
TARTAR (DİŞ PLAĞI) Bunu zaten belirtmiştik. Bu sertleşmiş ve rengi bozulmuş diş plağı, tedavi edilmezse çok rahatsız edici hale gelebilir. Diş taşı genellikle yemek artıkları, tükürük ve ağzınızda bulunan bakterilerden kaynaklanır. Diş plağı günlük olarak alınmadığında kireçlenmeye başlayabilir ve diş taşına dönüşebilir. Bir diş hekimi diş taşlarını dişlerinizden çok kolay bir şekilde çıkarabilir. Dişçi ziyaretini erteliyor musunuz? O zaman diş taşınız iltihaplı diş etlerine ve çürüklere yol açabilir.

#3
Foto - Büyük tehlike! Yavaşça ortaya çıkıyor, dayanılmaz ağrılar ve ölüm...

BÖBREK TAŞI Böbreklerimiz, kanımızdan atıkları uzaklaştıran ve bunu idrar şeklinde mesaneye yönlendiren bir tür filtre görevi görür. Bu atık birikmeye başlarsa kristalleşmeye başlayabilir ve bu şekilde böbrek taşları oluşur. Bilmeden, herhangi bir semptom yaşamaya başlamadan önce yıllarca böbrek taşı ile dolaşıyor olabilirsiniz. Böbrek taşı kendini yerinden oynatır ve üretrayı tıkarsa ağrılı kramplar yaşayabilirsiniz. Böbrek taşlarının diğer belirtileri mide bulantısı, kan kaybı ve kötü kokulu idrardır. Çoğu durumda, çok su içmek, sonunda böbrek taşını idrarla atmanızı sağlar. Ancak bazı durumlarda bu işe yaramaz ve doktorunuzla iletişime geçmeniz daha iyi olur.

#4
Foto - Büyük tehlike! Yavaşça ortaya çıkıyor, dayanılmaz ağrılar ve ölüm...

BADEMCiK TAŞLARI Hala bademciklerin var mı? O zaman bir noktada bademcik taşlarından muzdarip olabilirsiniz. Bu taşlar, bademciklerin kuytu ve çatlaklarında geride bırakılabilen bakteri, ölü hücreler ve yiyecek artıklarından gelişir. Bu taşlar nedeniyle yoğun bir sağlık sorunu yaşamayacaksınız, ancak yemek yerken veya yutkunduğunuzda ağız kokusu veya ağrılı bir his yaşayabilirsiniz. Dişlerinizi düzenli olarak fırçalayarak ve/veya ağzınızı çalkalayarak veya tuzlu su ile gargara yaparak semptomları hafifletebilirsiniz. Sağlık uzmanına danışarak bu taşların çıkarılmasını sağlayabilirsiniz.

#5
Foto - Büyük tehlike! Yavaşça ortaya çıkıyor, dayanılmaz ağrılar ve ölüm...

MESANE TAŞLARI Mesanelerinde yara dokusu veya başka düzensizlikler olan kişilerde mesane taşları görülebilir. Mesane taşları, tuvalete gittikten sonra idrarın mesanede kalmasıyla ortaya çıkar. Ayrıca mesaneye taşınmış bir böbrek taşı da olabilir. Mesane taşlarının ana semptomu, idrar yaparken ağrılı ve yanma hissidir. Bu taşların çıkarılması önemlidir çünkü aksi takdirde enfeksiyonlara veya başka komplikasyonlara yol açabilirler. Hastanedeki bir ürolog, taşı üretra yoluyla çıkarabilir. Karın ameliyatı ile daha büyük taşların çıkarılması gerekebilir.

#6
Foto - Büyük tehlike! Yavaşça ortaya çıkıyor, dayanılmaz ağrılar ve ölüm...

TÜKÜRÜK TAŞLARI Tükürüğünüz üç farklı bez tarafından oluşturulur. Küçük tüpler aracılığıyla bu bezlerden salgılanır ve bu tüpler tıkandığında tükürük taşları ortaya çıkarır. Çoğu durumda, bu tükürük taşları kalsiyumdan oluşur. Taşlar, kulakta ve alt çenede ağrı oluşturur. Bu tip bir ağrı yaşıyorsanız, kulak burun boğaz uzmanına danışarak bu taşların çok kısa bir sürede aldırabilir ve sağlıklı bir biçimde yaşamınıza devam edebilirsiniz.

#7
Foto - Büyük tehlike! Yavaşça ortaya çıkıyor, dayanılmaz ağrılar ve ölüm...

BEZOAR TAŞLARI Bezoar, gastrointestinal sistemde ortaya çıkan bir taş türüdür. Çoğu zaman kıllar, bitki kalıntıları, süt tozu/bebek maması ve yutulan küçük taşlar gibi sindirimi güç maddelerin bir sonucudur. Bezoar genellikle oldukça küçüktür, bu nedenle muhtemelen ciddi sağlık sorunları yaşamayacaksınız. Yine de büyük bir bezoar yaşamı tehdit edebilir. Midenizde yüksek bir yanma hissi, mide bulantısı, yutma sorunları ve tokluk hissi ile büyük bir bezoarı fark edebilirsiniz.

x

WhatsApp İhbar Hattı

+90 (553) 313 94 23