• İSTANBUL
  • İMSAK
    00:00
    GÜNEŞ
    00:00
    ÖĞLE
    00:00
    İKİNDİ
    00:00
    AKŞAM
    00:00
    YATSI
    00:00
  • 0.0
  • 0.0
  • 0.0
9
Yeniakit Publisher
Vücudundan 287 tane taş çıkarıldı, doktorlar bile şaştı kaldı
Yücel Kaya Giriş Tarihi:

Vücudundan 287 tane taş çıkarıldı, doktorlar bile şaştı kaldı

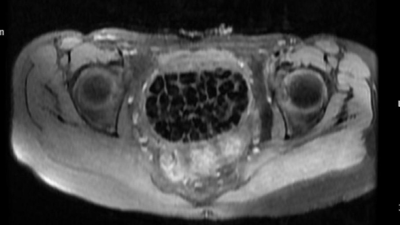
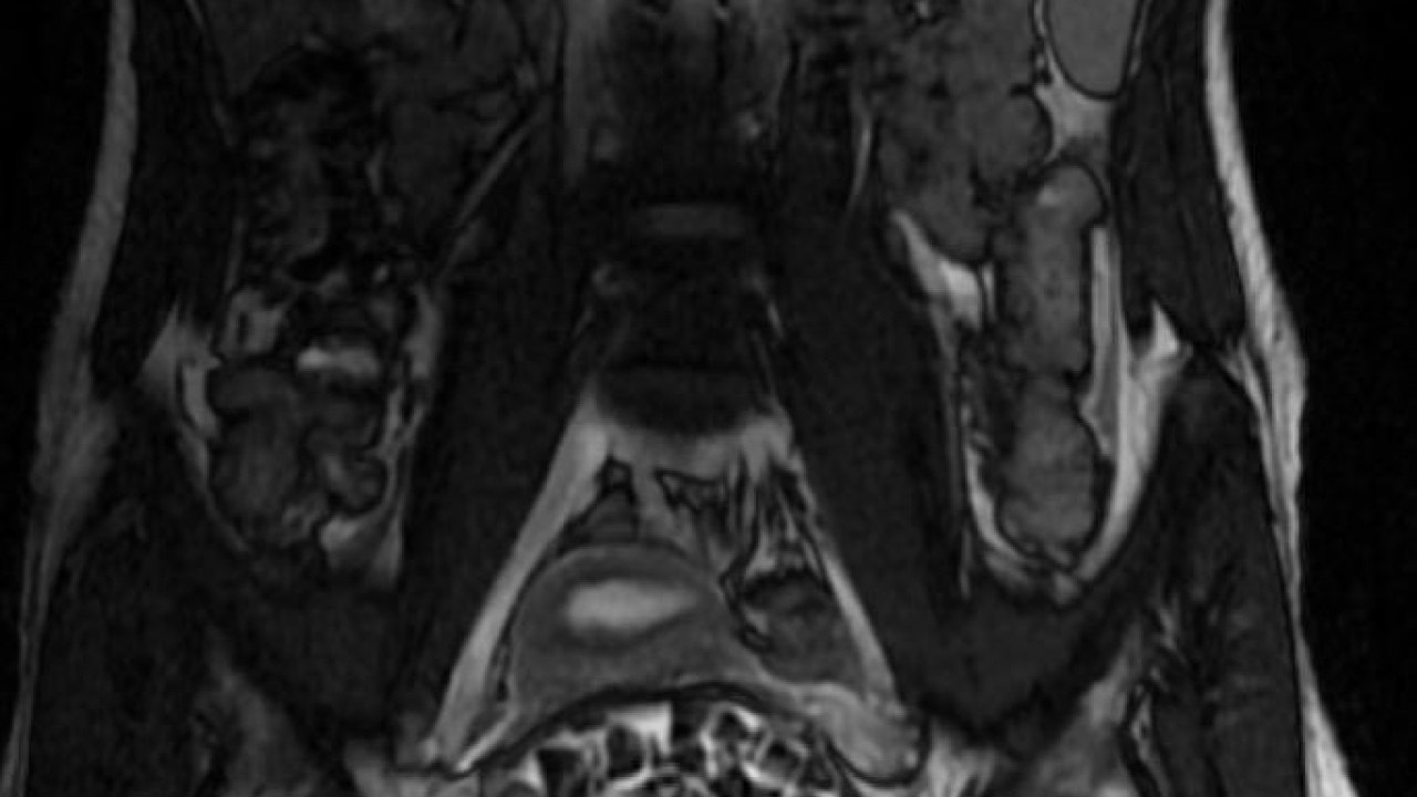
Doğumsal ürolojik hastalıkla dünyaya gelen 21 yaşındaki Fatma Nur Öztürk, şiddetli karın ağrısı şikayetiyle hastaneye gitti, yapılan operasyonla vücudundan 287 adet taş çıkarıldı. Taşlar hem sağlık ekibini hem hasta ve ailesini şok ederken uzmanlar, "Mesaneden vajene geçtiğimiz esnada tüm vajenin taşlarla dolu olduğunu gördük. Biz de o kadar taş beklemiyorduk, çok şaşırdık, en büyüğü 2,5 santim boyutlarında olan irili ufaklı 287 taş. Literatürde çok nadir görülen bir olay" derken hasta Öztürk, "Ağlatacak dereceye getiren ağrılardı. 287 taş denince çok şaşırdık, çakıl taşı resmen. Şu an kendimi çok iyi hissediyorum" dedi.

#1
Foto - Vücudundan 287 tane taş çıkarıldı, doktorlar bile şaştı kaldı

Karabük’te yaşayan 21 yaşındaki Fatma Nur Öztürk, uzmanların idrar kesesinin ön yüzünün ve karın ön duvarının kapanmaması sonucu mesanenin direkt dışarı açılması olarak belirttiği nadir ve ciddi ürolojik doğumsal bir problem olan ekstrofi vezika ve eşlik eden epispadias sorunu nedeniyle geçmiş yıllarda çeşitli operasyonlar geçirdi. Yaklaşık 6 ay önceyse genç kız, ciddi karın ağrıları hissetmeye başladı. Bu süreçte çeşitli merkezlere giderken sonrasında İstanbul Eğitim ve Araştırma Hastanesi hekimlerine ulaştı. Burada Üroloji Uzmanı Doç. Dr. Erkan Erkan ile Jinekolojik Onkoloji Uzmanı Op. Dr. Emin Erhan Dönmez ve ekipleri tarafından hastanın durumuna ilişkin detaylı incelemeler yapıldı. 2 bölümün iş birliğinde titizlikle yapılan tetkiklerde uzmanlar, vajen isimli noktada taşlar olduğunu tespit etti, Öztürk'ün hemen yatışı yapıldı.

#2
Foto - Vücudundan 287 tane taş çıkarıldı, doktorlar bile şaştı kaldı

287 taş hem doktorları hem hasta ve ailesini şok etti Genç kızın ameliyat işlemleri başlatılırken 11 Eylül’deki operasyon sırasında doktorlar da şaşkınlık yaşadı. Öztürk’ün vücudundan 287 adet çeşitli ölçülerde taş çıkarılırken üroloji ve jinekolojik onkoloji ekibi operasyonu başarıyla tamamladı. Taşların sayısını duyan genç kız ve ailesi şok olurken operasyonun ardından karın ağrıları dinen Öztürk, rahat bir nefes aldı. Tedavisi sonrası taburcu edilen genç kız yaşadıklarını anlatırken, operasyonu gerçekleştiren Üroloji Uzmanı Doç. Dr. Erkan Erkan ile Jinekolojik Onkoloji Uzmanı Op. Dr. Emin Erhan Dönmez de nadir olduğunu ifade ettikleri vakaları hakkında bilgi verdi, önemli uyarılarda bulundu. Öte yandan, genç kızın vücudundaki 287 taşın tetkiklerdeki görüntüsü dikkat çekerken taşlar üzerine de incelemeler yapılacak.

#3
Foto - Vücudundan 287 tane taş çıkarıldı, doktorlar bile şaştı kaldı

"Bu kadar taş beklemiyorduk, resmen çakıl taşı" Hastalık sürecini aktaran 21 yaşındaki Fatma Nur Öztürk, "Doğuştan ekstrofi vezika hastasıyım. İdrarımı tutamıyorum, bu yüzden de bez kullanmak zorundayım. Bu da tabi ki hayatımı biraz zorluyor. Son dönemde sol kasığımda büyük bir ağrı oldu, ağlatacak dereceye getiren ağrılardı. Bu kadar taş beklemiyorduk, bu kadar sertlikte de beklemiyorduk, bildiğimiz çakıl taşı resmen. 80-100 tane falandır diyorduk, bize sayısını söylediler, 287 tane deyince gerçekten çok şaşırdık. Şu an kendimi çok iyi hissediyorum, doktorlarıma da teşekkür ediyorum. Oturduğumda bile çok ağrıyordu, kötü hissediyordum. Doktora gidiyorduk, iğne vuruyorlardı, etkisiyle birazcık geçiyordu ama sonra yine başlıyordu" diye konuştu.

#4
Foto - Vücudundan 287 tane taş çıkarıldı, doktorlar bile şaştı kaldı

"287 adet taş çıkardık, literatürde çok nadir görülen bir olay" Hastasının durumuna yönelik konuşan Üroloji Uzmanı Doç. Dr. Erkan Erkan, "Hastamızın 2004 yılında doğduğunu ardından doğar doğmaz ekstrofi vezika dediğimiz 50 binde bir görülen bir anomaliden dolayı art arda ameliyatlar geçirdiğini öğrendik. 10 yaşında yine bir ameliyat geçirmişti, gerekli görüntüleme ve tetkiklerimizi yaptırdık. Normalde mesanesinin olması gereken yerin hemen arka kısmında taşlarla dolu bir kese olduğunu gördük, bunun üzerine ek görüntülemeler; MR çektirdik. Hastamız çelişkili açıklamalar almıştı, kendi radyolojik kliniğimiz ve edindiğimiz konsültasyonlarda taşların mesanede değil vajinal boşlukta oluştuğunu düşündük, bir planlama yaptık. Kadın doğum hocamızın da çabasıyla taşları tamamen temizledik ardından ileride normal bir hayat sürmesi bakımından oraya plastik cerrahi yaptık. 287 adet taş çıkardık, pratikte gerçekten görünce çok şaşırdık çünkü bu aynı zamanda literatürde çok nadir görülen bir olay. Biz ameliyata hazırlanırken de teorik olarak biraz araştırdık. Literatürde gördüğümüz kadarıyla buna benzer bu tanıma uyan bir vaka vardı. Literatürde sanırım yayınlanmış 2’nci vaka olacak. Farkındalık çok önemli, bilinçli bir hastamız vardı. Doğumsal anomaliyle doğan çocuklarımızda ileride bunlara bağlı bazı sıkıntılar çıkabileceğinin öngörülmesi lazım. İlgili tedavilerini alsalar bile düzenli takiplere gelmeleri gerekiyor. İleride eğer dikkat etmezse ki zannetmiyorum, tekrarlayabilir. Bu rahatsızlık ekstrofi vezikal epispadias durumu çok nadir bir durum" dedi.

#5
Foto - Vücudundan 287 tane taş çıkarıldı, doktorlar bile şaştı kaldı

"Tüm vajenin taşlarla dolu olduğunu gördük" Genç kızın uzun süredir devam eden karın ağrısı olduğunu söyleyerek sözlerine başlayan Jinekolojik Onkoloji Uzmanı Op. Dr. Emin Erhan Dönmez, "Mesane taşları olduğu düşünülerek daha büyük bir hastaneye refere edilmiş. Aramızda mini bir konsey yaparak muayene ettik. Vajen bir hazne görevi görerek orada durağan bir idrar, uzun süre beklediği için idrar içindeki minerallerde çökerek taşlar oluşmuş. Mesanedeki idrarın vajene akmış olabileceği ve vajende göllenen idrar nedeniyle taşların burada oluşacağını düşündük, ameliyatımızı planladık. Ameliyata tanı amaçlı girmiştik, sistoskopi (Mesane gibi idrar yollarını kapsayan kısımlardaki rahatsızlıkların teşhis ve tedavisinde kullanılan endoskopik bir yöntem) dediğimiz ameliyatı Erkan Hocam ile birlikte gerçekleştirdik. Önce mesaneyi bir görüntüledik, mesane tabanına yaklaşık 2-3 cm’lik bir alandan vajene fistülize olduğunu gördük. Mesaneden vajene geçtiğimiz esnada tüm vajenin taşlarla dolu olduğunu gördük.

#6
Foto - Vücudundan 287 tane taş çıkarıldı, doktorlar bile şaştı kaldı

Tanı amacıyla girdiğimiz ameliyatta her şey de olağan gittiği için tedaviye geçtik. Taşların çıkabileceği kadar bir genişlik sağladık. Daha sonra yaklaşık en büyüğü 2,5 cm boyutlarında olan, irili ufaklı 287 tane taşı ameliyat esnasında çıkarmış olduk. Taşların tekrarlamaması için idrarın göllenmemesi, en azından dışarıya rahatça boşalabilmesi için vajinal rekonstrüksiyonu sağladık. Ameliyatta da herhangi bir problem yaşamadık. Literatürü Erkan Hocam ile birlikte değerlendirmiştik. Primer olarak vajende birikmiş olan bu kadar çok sayıda taşla ilgili bir makale görmedik, rastlamadık" dedi.

#7
Foto - Vücudundan 287 tane taş çıkarıldı, doktorlar bile şaştı kaldı

"Maksimum 100-110 kadar bir taş vardır diye düşüncemiz vardı" Hastalık ve tanı sürecine ilişkin bilgi veren Op. Dr. Dönmez sözlerine şöyle devam etti: "Konjental anomali, bunu gebelik esnasında yapmış olduğumuz ultrasongrafi muayenelerinde saptayabiliyoruz. Normalde mesanede idrar birikmesi gerekirken biz ultrasonda bu bebeklerin mesanesinde birikmediğini görüyoruz. Oradan tanıya gidebiliyoruz. Önemli olan burada tanıyı koyduktan sonra bu hastaların 3’üncü düzey, multidisipliner bir hastanede doğum yapmasını sağlamak. Doğumdan sonra en kısa sürede mesane rekonstrüksiyonunun multidisipliner ekiplerle gerçekleştirilmesini sağlamak çünkü mesane direkt karın dışına açıldığı için enfeksiyona açık bir ortam oluşuyor. Bebeğin hayatını tehdit edecek ciddi enfeksiyonlar gelişebiliyor.

#8
Foto - Vücudundan 287 tane taş çıkarıldı, doktorlar bile şaştı kaldı

Anomalilerin durumuna göre bu hastalar bir sıra ameliyat geçirerek sağlıklı bir şekilde hayatlarına devam edebiliyor. Hastamızı muayenelerine, kontrollerine çağıracağız. Biz de o kadar taş beklemiyorduk, maksimum 100-110 kadar bir taş vardır diye bir düşüncemiz vardı, sayalım dedik. 287 taş da bizi ameliyat esnasında heyecanlandırmıştı. Saydıktan sonra bu bilgiyi hastamız ve ailesiyle paylaştık. Onlar da şaşkınlık halindeydi, böbrek taşını düşüren bir kişiyle konuştuğunuz zaman bir taşın bile ne kadar zor bir şekilde düştüğünü size tarif edecektir. Taşların uzun yıllar boyunca yavaş yavaş oluştuğunu düşünüyoruz."

Haberle ilgili yorum yapmak için tıklayın.
x

WhatsApp İhbar Hattı

+90 (553) 313 94 23