• İSTANBUL
  • İMSAK
    00:00
    GÜNEŞ
    00:00
    ÖĞLE
    00:00
    İKİNDİ
    00:00
    AKŞAM
    00:00
    YATSI
    00:00
  • 0.0
  • 0.0
  • 0.0
5
Yeniakit Publisher
Doktorlar bile inanamadı! Bacağından çıkan şey tam 5 kilo 668 gram
DHA Giriş Tarihi:

Doktorlar bile inanamadı! Bacağından çıkan şey tam 5 kilo 668 gram

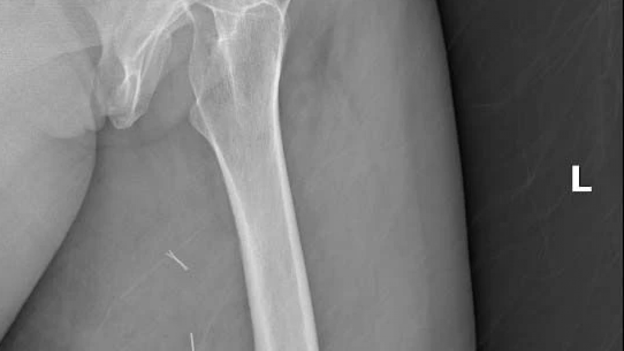
Diyarbakır Dicle Üniversitesi Hastanesi’nde, Mardin’den gelen H.T. isimli kadının bacağından 5 kilo 668 gramlık bir kitle çıkartıldı. Ameliyatı gerçekleştiren Prof. Dr. Emin Özkul meslek hayatındaki çıkarttığı en büyük kitle olduğunu söyledi.

#1
Foto - Doktorlar bile inanamadı! Bacağından çıkan şey tam 5 kilo 668 gram

Mardin’de yaşayan H.T. (42), 3 yıl önce sağ baldırının arka kısmında oluşan ve başlangıçta yumurta büyüklüğünde olan kitlenin zamanla büyümesi üzerine Dicle Üniversitesi Tıp Fakültesi Hastanesi Ortopedi ve Travmatoloji Bölümü’ne başvurdu. Muayenede yumuşak doku kitlesi olduğu değerlendirilen şişliğin alınması için Ortopedi ve Travmatoloji Anabilim Dalı Öğretim Üyesi Prof. Dr. Emin Özkul ve ekibi tarafından ameliyat kararı verildi. Yaklaşık 2 saat süren operasyonla kitlenin çıkarıldığı, kitlenin 5 kilo 668 gram geldiği belirtildi.

#2
Foto - Doktorlar bile inanamadı! Bacağından çıkan şey tam 5 kilo 668 gram

Prof. Dr. Emin Özkul, vücutta görülen kitlelere büyümeden müdahale edilmesi gerektiğini ifade ederek, şu bilgileri paylaştı: “Hastamız 42 yaşında bir kadın. Komşu şehir Mardin’den geldi. Bölge hastanesi olduğumuz için bu tür hastalar Mardin’den, Şırnak’tan ve diğer illerden çok geliyor. Bu hastalara önerimiz; ‘küçük bir kitle, ağrısız bir kitlem var, ele gelen bir şişliğim var ama bunda ağrı olmadığı için herhangi bir şey olmaz’ dememeli. En yakın sağlık kuruluşuna başvurup en azından kitlenin bir öneminin olup olmadığını teyit edilmesi, bir uzman tarafından bunun doğrulanmasını istiyoruz."

#3
Foto - Doktorlar bile inanamadı! Bacağından çıkan şey tam 5 kilo 668 gram

"Bu hasta da 3 yıl önce fark edilmiş küçük bir kitle, zamanla çok büyük boyutlara, yaklaşık 6 kiloya varan boyutlara varmıştı. Neredeyse bütün bacak boyu yayılan bir kitlesi mevcuttu. Bu kadar büyümenin şöyle sıkıntıları oluyor, kişinin bacağında, kolunda fonksiyon kaybına, yeri geliyor ekstremite kaybına, yani bacağını kaybetmesine yol açabilecek sıkıntılara yol açıyor."

#4
Foto - Doktorlar bile inanamadı! Bacağından çıkan şey tam 5 kilo 668 gram

"Küçükken bunlarla baş etmek daha kolay. Kişinin ekstremitesinde, bacağında, kolunda bir sıkıntı yaratmadan bunları telafi etmek, bunları alıp çıkartmak, ameliyatla bunları tedavi etmek daha kolayken bu boyutlara vardığında kişinin bacağında, kolunda fonksiyon kaybı, sakatlık riski çok yüksek oluyor. Bu sebeple küçükken önleminin alınmasında yarar var.” “Hastamızda yaklaşık olarak 3 yıl önce şikayetleri başlamış. Sonra zaman içerisinde hızla büyüyen bir kitleye sahipti. Şanslıydı ki herhangi bir sinirine zarar vermemişti. Hayatına fonksiyon bozukluğu olmadan devam edebilecek. Bölgemize yaşayan ve ülkemizde yaşayan herkese şunu söylüyoruz. Küçük de olsa yumuşak doku kitlelerini önemsemeleri ve uzman görüşü almalarını öneriyorum. Bu hastadan 5 kilo 668 gramlık bir kitle çıkarttık. Bu benim mesleki yaşamım boyunca çıkarttığım en büyük kitlelerden bir tanesiydi. Biraz daha büyük boyutlara varmış olsa kişinin bacağını kurtarma şansınız olmuyor. Bu sebeple bunlara dikkat etmek gerekiyor. Hızlı büyüyen bir kitleniz var ise, ağrısız da olsa mutlaka ve mutlaka tedavi için en yakın sağlık kuruluşuna veya bizim üniversitemizin polikliniklerine başvurabilirsiniz.”

Haberle ilgili yorum yapmak için tıklayın.
x

WhatsApp İhbar Hattı

+90 (553) 313 94 23