• İSTANBUL
  • İMSAK
    00:00
    GÜNEŞ
    00:00
    ÖĞLE
    00:00
    İKİNDİ
    00:00
    AKŞAM
    00:00
    YATSI
    00:00
  • 0.0
  • 0.0
  • 0.0
11
Yeniakit Publisher
Bir ay boyunca hamburger ekmek yerseniz bakın ne oluyor! İngiliz doktor denedi... Şok oldu
2021-12-03 15:08:13

Bir ay boyunca hamburger ekmek yerseniz bakın ne oluyor! İngiliz doktor denedi... Şok oldu

İngiliz doktor Chris van Tulleken 30 gün boyunca sabah akşam fast food yiyerek çok tehlikeli bir deneye imza attı.

#1
Foto - Bir ay boyunca hamburger ekmek yerseniz bakın ne oluyor! İngiliz doktor denedi... Şok oldu

Son yıllarda yapılan bazı anketlerde belirli gelişmiş ülkelerde çocukların aldıkları kalorilerin üçte ikisini aşırı işlenmiş gıdalardan elde ettiği tespit edildi. Bunun üzerine bir doktor, 30 gün boyunca işlenmiş gıda yiyerek bu diyetin kendi üzerindeki etkilerini ölçmüş. 30 günün sonunda doktorun başına neler geldiğini merak ediyorsanız detaylar burada...

#2
Foto - Bir ay boyunca hamburger ekmek yerseniz bakın ne oluyor! İngiliz doktor denedi... Şok oldu

Onedio'da yer alan habere göre, İngiliz doktor Chris van Tulleken 30 gün boyunca %80’i aşırı işlenmiş gıdalardan oluşan besinler tüketti.

#3
Foto - Bir ay boyunca hamburger ekmek yerseniz bakın ne oluyor! İngiliz doktor denedi... Şok oldu

Bu tür bir diyetin insan fizyolojisi üzerindeki etkilerine ilişkin araştırma eksikliği olduğunu belirleyen doktor, bizzat kendisini denek olarak kullandı. 30 günün ardından vücudunda ve beyninde bir dizi olumsuzluk meydana geldi.

#4
Foto - Bir ay boyunca hamburger ekmek yerseniz bakın ne oluyor! İngiliz doktor denedi... Şok oldu

Doktorun dediğine göre İngiltere’deki her beş kişiden biri bu şekilde besleniyor.

#5
Foto - Bir ay boyunca hamburger ekmek yerseniz bakın ne oluyor! İngiliz doktor denedi... Şok oldu

Kulağa her ne kadar uçuk bir beslenme türüymüş gibi gelse de, güne monosodyum glutmat gibi çeşitli kimyasallar içeren kızarmış tavuk yiyerek başlayan ve bütün bir ayını ‘aşırı lezzetli’ yiyecekleri tüketerek geçirenlerin sayısı hiç de az değil.

#6
Foto - Bir ay boyunca hamburger ekmek yerseniz bakın ne oluyor! İngiliz doktor denedi... Şok oldu

Doktor yediği şeylerden zevk alsa da kısa sürede vücudunun tökezlediğini fark etti. Sadece birkaç gün içinde eskiye oranla daha sık acıkmaya, hatta ‘aşermeye’ başladı. Daha da kötüsü, bir süre sonra kabız oldu ve bu konudaki düşüncelerini, tuvalete çıkma isteğini anlattığı bir video çekti.

#7
Foto - Bir ay boyunca hamburger ekmek yerseniz bakın ne oluyor! İngiliz doktor denedi... Şok oldu

30 günün sonunda üç kilosu yağ olmak üzere 6.5 kilo aldığını öğrendi. Bundan yola çıkarak da altı ay kadar bu şekilde beslenen bir insanın 38 kilo kadar alacağını hesapladı. Vücut kitle endeksi de bu bir aylık sürede iki puan arttı ve durumunun ‘aşırı kilolu’ kategorisine girdiğini gördü.

#8
Foto - Bir ay boyunca hamburger ekmek yerseniz bakın ne oluyor! İngiliz doktor denedi... Şok oldu

Bir dizi endişe verici hormon değişikliği de gerçekleşti. Örneğin, kant testinde yemek yeme isteği oluşturan ‘açlık hormonlarında’ %30’luk bir artış meydana geldiği ortaya çıkarken, beyne yememesi söyleyen ‘doygunluk hormonlarında’ ise düşüş yaşandığı görüldü.

#9
Foto - Bir ay boyunca hamburger ekmek yerseniz bakın ne oluyor! İngiliz doktor denedi... Şok oldu

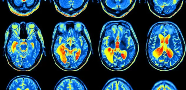
En çarpıcı ve korkutucu değişiklikler ise beyinde yaşandı. Doktorlar, Tulleken’in diyetten önceki ve sonraki beyin taramalarını karşılaştırdığında, diyet sonrasında beynin belirli bölgeleri arasında yeni fonksiyonel bağlantıların oluştuğunu gördü. Tulleken bu gelişmeyle ilgili olarak, “Diyet, beynimin ödül merkezini, tekrar eden, otomatik davranışları yönlendiren bölgelerle ilişkilendirdi. Yani bu yiyecekleri yemek, beynimin ben istemesem bile yapmamı söylediği bir şey hâline geldi” diyor.

#10
Foto - Bir ay boyunca hamburger ekmek yerseniz bakın ne oluyor! İngiliz doktor denedi... Şok oldu

Bu ürünlerin olumsuz etkileri nasıl ürettiği tam olarak anlaşılmasa da, yakın tarihli bir araştırmada çoğunlukla bu ürünleri tüketen kişilerde tüketmeyenlere kıyasla fazladan 500 kalori alma eğilim olduğu ortaya çıkarıldı. Van Tulleken, gençleri ikaz ederek böylesine tehlikeli bir beslenme biçiminden kaçınmalarını söylüyor.

x

WhatsApp İhbar Hattı

+90 (553) 313 94 23