Karın ağrısı şikayetiyle gittiği hastanede, apar topar ameliyata alınan Hintli gencin karın boşluğunda parazit ikiz kardeşini taşıdığı ortaya çıktı.
Hindistan'ın Allahabad şehrinde yaşayan 18 yaşındaki Narendra Kumar, karın ağrısı sebebiyle gittiği hastanede yapılan tetkikler sonucunda, karın boşluğunda parazit ikiz kardeşini taşıdığı belirlendi.
DOKTORLAR HAYRETLER İÇİNDE KALDI
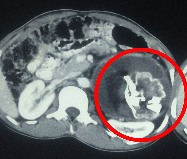
Gencin karnında 2.5 kg ağırlığında kemik, saç ve dişlerden oluşan kütle bulan doktorlar hayretler içinde kaldı. Parazit ikizin, 18 yıl boyunca göbek bağı sayesinde Narendra'nın vücudundan beslendiği ortaya çıktı. Narendra'ya, dünyada şu ana kadar 200 hastada tespit edilmiş 'cenin içinde cenin' teşhisi kondu.
GÖBEK BAĞINDAN GİRMİŞ
Bu olay, ikiz hamileliğin erken dönemlerinde, bir fetüsün göbek bağı yoluyla diğer fetüse girmesi olarak açıklanmakta. Bu tarz vakalarda parazit fetüs, kardeşinin bedeninden beslenerek hayatta kalmakta.
AMELİYATTA ORTAYA ÇIKTI
Hindistan'ın kuzeyindeki Uttar Pradesh eyaletinde bulunan Swaroop Narayan Hastanesi doktorlarından Rajeev Singh yaptığı açıklamada; "Genç hastanın kusma nöbetleri ve kilo kaybı şikayetleri vardı. Ailesinin, Narendra'nın rahatsızlığı hakkında hiçbir fikri yoktu. Cerrahlarımız pazartesi günü hastayı ameliyat ettiklerinde, gencin şikayetlerinin arkasındaki sebebi keşfettiler." dedi.
"BU ŞEYTAN YILLARDIR OĞLUMA İŞKENCE EDİYORDU"
Narendra Kumar'ın çiftçi olan babası Prem Chandra, oğlunun en nihayetinde tamamen sağlığına kavuşmasına sevindiğini belirterek, "Bu şeytan yıllardır oğluma işkence ediyordu. Şimdi ondan kurtulduk, rahatladım. Oğlum da artık rahatça okuluna gidebilir ve sağlıklı bir hayat yaşayabilir." dedi.
Geçtiğimiz ekim ayında benzer bir vaka, yine Hindistan'ın Bengal eyaletinin Batı Midnapore bölgesinde görülmüş, 4 yaşındaki oğlan çocuğunun karın boşluğunda ölü cenin bulunmuştu.



